Tốt nghiệp Khoa Dược trường Đại học Nam Cần Thơ. Có nhiều năm kinh nghiệm công tác trong lĩnh vực Dược phẩm. Hiện đang giảng viên cho Dược sĩ tại Nhà thuốc Long Châu.
Bảo Hân
13/10/2024
Mặc định
Lớn hơn
Viêm lợi ở trẻ không phải là căn bệnh hiếm gặp. Tuy nhiên, nếu không điều trị kịp thời có thể dẫn đến những biến chứng gây ảnh hưởng nghiêm trọng đến sức khỏe răng miệng của bé. Hãy cùng các chuyên gia xem qua những hình ảnh viêm lợi ở trẻ em, tìm hiểu nguyên nhân và cách khắc phục cũng như biện pháp phòng ngừa ở bài viết sau nhé!
Viêm lợi hay viêm nướu răng là một trong những bệnh răng miệng phổ biến, có thể xảy ra ở mọi lứa tuổi, đối tượng và đặc biệt là thường thấy ở trẻ em dưới 2 tuổi. Viêm lợi gây đau đớn ảnh hưởng đến sinh hoạt thường ngày của trẻ. Bệnh do nhiều nguyên nhân gây nên, vì vậy ba mẹ hãy thường xuyên quan sát hình ảnh viêm lợi ở trẻ em để có thể phát hiện sớm và điều trị kịp thời.
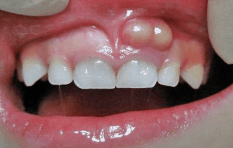
Viêm lợi là tình trạng các mô xung quanh răng bị nhiễm trùng, sưng đỏ. Ở trạng thái bình thường, các mô quanh răng này có nhiệm vụ hỗ trợ, nâng đỡ răng. Nhưng khi bị viêm bởi nguyên nhân nào đó thì các mô sẽ xuất hiện tình trạng sưng đỏ, có thể xuất hiện mủ, vết loét gây khó chịu, đau hoặc ngứa.
Viêm lợi có thể xuất hiện ở nhiều cấp độ từ nhẹ đến nặng, làm cho trẻ cảm thấy bứt rứt, khó chịu, biếng ăn, quấy khóc,... Nếu không được phát hiện và điều trị kịp thời, viêm lợi có thể gây ra những biến chứng nặng hơn như viêm nha chu, viêm tủy răng,…

Qua các hình ảnh viêm lợi ở trẻ em mà phụ huynh có thể sớm nhận ra, nhằm đưa trẻ đến bác sĩ để được điều trị kịp thời. Các dấu hiệu phổ biến của viêm lợi bao gồm:
Vậy nguyên nhân do đâu dẫn đến tình trạng viêm lợi ở trẻ? Có rất nhiều nguyên nhân gây nên tình trạng viêm lợi ở trẻ, thường do tác động từ bên ngoài như:
Ngoài ra, một vài bệnh lý có thể làm tăng nguy cơ viêm lợi ở trẻ như giảm bạch cầu trung tính,... Lúc này, bố mẹ có thể quan sát thấy hình ảnh lợi của trẻ sơ sinh bị viêm và thương tổn nặng. Bố mẹ cần nhanh chóng đưa trẻ đến bệnh viện để được xử trí kịp thời.

Viêm lợi ở trẻ không quá nguy hiểm nhưng gây ra nhiều vấn đề khác gây ảnh hưởng kéo theo:
Khi quan sát hình ảnh viêm lợi ở trẻ em, các bậc phụ huynh hãy chú ý theo dõi tình trạng sức khỏe răng miệng của bé, bất kỳ bất thường nào hãy đến ngay cơ sở khám chữa bệnh về nha khoa để được bác sĩ thăm khám, chẩn đoán mức độ mà chỉ định phương pháp điều trị
Tuỳ vào tình trạng răng, tình trạng viêm lợi, số lượng các mảng bám và độ dày của cao răng mà bác sĩ sẽ chỉ định. Ba mẹ có thể đưa trẻ đến các phòng khám nha khoa hoặc bệnh viện để khám và lấy cao răng. Sau khi loại bỏ cao răng và mảng bám thì định kỳ 3 - 6 tháng, ba mẹ hãy dắt trẻ đi khám và lấy cao răng định kỳ. Bên cạnh đó cần hướng dẫn bé chải răng đúng cách và sử dụng chỉ nha khoa thay vì tăm.

Trường hợp trẻ bị viêm lợi có mủ và chảy máu thì bác sĩ sẽ sử dụng phương pháp dùng thuốc kháng sinh. Thuốc kháng sinh có khả năng tiêu diệt vi khuẩn, hạn chế tối đa nguy cơ nhiễm trùng.
Lưu ý: Không được tự ý điều trị, việc điều trị bằng thuốc cần có sự hướng dẫn và theo dõi của bác sĩ.
Phương pháp điều trị tại nhà thường là tình trạng viêm lợi mức độ nhẹ, có thể cải thiện tình trạng viêm bằng các cách sau:
Việc viêm lợi ở trẻ đa số là do những thói quen không tốt từ răng miệng vì vậy cha mẹ có thể tập cho trẻ những thói quen để tránh khỏi những nguy cơ gây viêm lợi:

Trẻ bị viêm lợi nếu được phát hiện sớm, có thể giúp điều trị nhanh chóng, dễ dàng, ngăn chặn nguy cơ tiến triển thành các biến chứng nguy hiểm. Do đó, cha mẹ quan sát các hình ảnh viêm lợi ở trẻ, theo dõi tình trạng sức khỏe răng miệng của bé thường xuyên để có hướng xử lý đúng kịp thời, tránh những tác động xấu ảnh hưởng sức khỏe của trẻ nhỏ.
Xem thêm: Viêm lợi khi niềng răng: Nguyên nhân và cách điều trị
Dược sĩ Đại họcNguyễn Thị Thảo Nguyên
Tốt nghiệp Khoa Dược trường Đại học Nam Cần Thơ. Có nhiều năm kinh nghiệm công tác trong lĩnh vực Dược phẩm. Hiện đang giảng viên cho Dược sĩ tại Nhà thuốc Long Châu.