Dược sĩ Đại học có nhiều năm kinh nghiệm trong việc tư vấn Dược phẩm và hỗ trợ giải đáp thắc mắc về Bệnh học. Hiện đang là giảng viên cho Dược sĩ tại Nhà thuốc Long Châu.
Hải Yến
03/05/2024
Mặc định
Lớn hơn
Răng sâu có thể bọc sứ được, vậy quy trình bọc răng sứ cho răng sâu diễn ra như nào? Có giống với khi bọc răng sứ bình thường không? Cùng tìm hiểu trong bài viết này.
Nhiều khách hàng băn khoăn, không biết răng sâu có bọc sứ được không. Quy trình bọc răng sứ cho răng sâu thực hiện như nào? Có những lưu ý đặc biệt gì sau khi bọc răng sứ không? Cùng Nhà thuốc Long Châu tìm hiểu trong bài viết dưới đây.
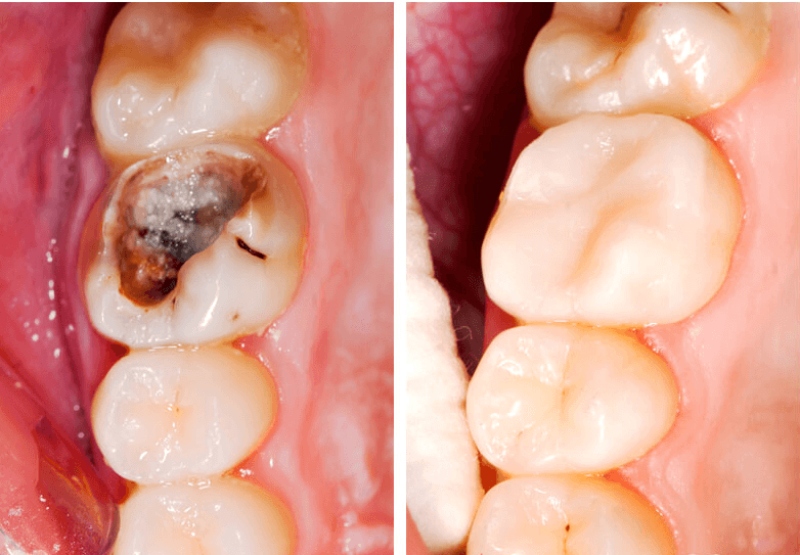
Răng bị sâu khiến tình trạng răng bị xấu, khó khăn trong việc ăn uống. Ngoài ra, khiến nhiều tình huống khó xử xảy ra. Dưới đây là một biểu hiện khi răng bị sâu, để có phương pháp khắc phục kịp thời:
Răng sâu hoàn toàn có thể bọc sứ, đây cũng là phương pháp làm đẹp được nhiều khách hàng sử dụng. Dưới đây là một vài ưu điểm mà bọc răng sứ mang lại:

Quy trình bọc răng sứ cho răng sâu bao gồm các bước sau:

Tương tự với các phương pháp làm đẹp khác, bọc răng sứ cũng cần có những lưu ý riêng để bảo vệ răng sứ và răng thật của mình. Dưới đây là một vài lưu ý bạn cần biết:

Trên đây là toàn bộ thông tin về quy trình bọc răng sứ cho răng sâu và những lưu ý sau khi thực hiện. Nếu bạn đang gặp tình trạng sâu răng và không biết phương pháp bọc sứ này có phù hợp với mình không. Hãy đến gặp nha sĩ để được kiểm tra và nhận tư vấn các phương pháp phù hợp.
Xem thêm:
Dược sĩ Đại họcNguyễn Mỹ Huyền
Dược sĩ Đại học có nhiều năm kinh nghiệm trong việc tư vấn Dược phẩm và hỗ trợ giải đáp thắc mắc về Bệnh học. Hiện đang là giảng viên cho Dược sĩ tại Nhà thuốc Long Châu.