Tốt nghiệp Đại Học Dược Hà Nội - chuyên môn Dược lâm sàng. Hiện đang là giảng viên cho Dược sĩ tại Nhà thuốc Long Châu.
21/06/2023
Mặc định
Lớn hơn
Răng mẻ là tình trạng khá phổ biến do nhiều nguyên nhân gây nên khiến bạn cảm thấy ê buốt, đau nhức ở răng, thậm chí dẫn đến sâu răng và mất răng. Vậy răng bị mẻ có mọc lại được không sau khi bị mất răng?
Để xác định răng bị mẻ có mọc lại được không phải xem xét yếu tố độ tuổi và răng bị mẻ là loại răng nào. Hãy tham khảo bài viết sau để tìm lời giải đáp cho vấn đề này nhé.
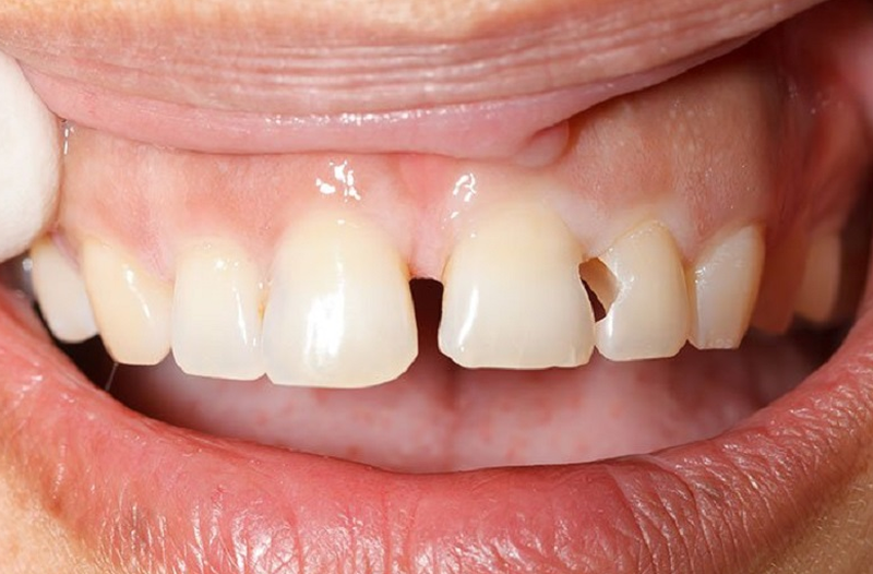
Răng bị mẻ có mọc lại được không là thắc mắc thường gặp của những người bị mẻ răngVì sao răng bị mẻ và răng bị mẻ có mọc lại được không? là những thắc mắc thường gặp khi bạn gặp tình trạng này. Những lý do phổ biến gây tình trạng mẻ răng gồm:
Do va đập mạnh
Răng khá chắc chắn nhưng cũng rất dễ bị mẻ khi bị va đập mạnh vào những vật cứng. Thậm chí cú va đập đó đủ lực sẽ khiến chiếc răng có thể bị gãy luôn. Còn nếu lực nhẹ hơn răng sẽ mẻ theo từng dạng khác nhau tùy vào vị trí răng.
Do cắn vật cứng
Răng sẽ bị ảnh hưởng khi bạn dùng răng khui một hộp cứng, bóc hạt macca, quả óc chó... Đây là thói quen gây hậu quả nghiêm trọng cho răng. Thay vào đó hãy sử dụng dụng cụ chuyên dụng để mở nắp hoặc lấy nhân quả bên trong.
Do nhai phải vật cứng
Tình trạng này rất thường gặp khi bạn ăn. Khi nhai bằng lực quá mạnh thì rất dễ gây ra tình trạng mẻ răng. Nếu mẻ răng do nhai phải vật cứng thì chắc chắn răng sẽ không mọc lại.
Do răng đã có tuổi
Răng cũng có hạn sử dụng. Khi con người ngày càng lớn tuổi thì răng cũng dễ mẻ hơn. Vì vậy người cao tuổi nên ưu tiên những thực phẩm mềm dễ ăn.
Thiếu dinh dưỡng
Bên cạnh các thói quen xấu trên, việc thiếu dinh dưỡng và thường xuyên sử dụng các thực phẩm chứa axit cao khiến răng bị mài mòn như đường, nước có ga, cafe, rượu… cũng gây mẻ răng.
Do bệnh lý
Răng mẻ và đau cũng có thể do các bệnh lý về răng như bệnh viêm nha chu, viêm tủy, sâu răng…
Trẻ đang thay răng dễ bị tình trạng mẻ răngHai đối tượng sau dễ bị tình trạng mẻ răng gồm:
Người lớn tuổi
Những người ở độ tuổi từ 45 - 50 sẽ bị tình trạng những chiếc răng trở nên yếu hơn. Vì vậy những tác động nhỏ bên ngoài cũng sẽ làm chiếc răng dễ bị mẻ hơn so với lúc còn trẻ.
Trẻ cấp 1 đang thay răng
Thường trong giai đoạn này các bé thích ăn đồ ngọt, nhiều nhất là kẹo. Khi các bé ăn quá nhiều kẹo, răng yếu đi hoặc răng bị đen dần. Những chiếc răng sữa yếu ớt sẽ rất dễ bị mẻ. Khi tình trạng này kéo dài, chiếc răng sữa chưa thay sẽ bị mẻ dần còn mỗi gốc của chiếc răng mẻ mà thôi.
Răng mẻ không chỉ gây mất thẩm mỹ cho hàm răng mà còn gây đau nhức, ê buốt triền miên, đặc biệt ảnh hưởng trực tiếp tới khả năng ăn nhai. Do đó, nhiều người quan tâm đến vấn đề răng bị mẻ có mọc lại được không nếu bị mất răng do nhổ răng.
Sau khi nhổ răng, răng mẻ có mọc lại không còn tùy thuộc vào vị trí mà răng được nhổ. Nếu vị trí bị nhổ răng là răng số 6 hoặc là răng vĩnh viễn thì răng sẽ không thể tự mọc lại được. Nếu vị trí răng mẻ không phải răng số 6 hay là chưa thay răng thì có thể răng sẽ mọc lại được sau khi nhổ bỏ.
Tuy nhiên, đối với trường hợp răng vĩnh viễn bị mẻ, bạn cũng không cần nhổ bỏ răng hoàn toàn để phục hình mà chỉ cần sử dụng phương pháp bọc răng sứ để phục hồi khả năng ăn nhai và đảm bảo tính thẩm mỹ.
Khoảng mẻ ở răng ngày càng lớn sẽ ảnh hưởng đến ngà răng, tủy răng, dẫn đến răng bị hư hỏng hoàn toàn kèm theo các cơn đau nhức gây khó chịu, khiến ăn nhai khó khăn.
Không điều trị sớm các răng bị mẻ sẽ hình thành nhiều bệnh lý do thức ăn nhét vào, do viêm nhiễm vi khuẩn…, ảnh hưởng đến các răng kế cận và sức khỏe răng hiện tại.
Răng bị mẻ kèm theo lung lay có thể gây đau đớn, ê buốt nếu không xử lý sớm. Với các răng có chức năng ăn nhai, mẻ răng có thể làm bạn cắn nhai trở nên khó khăn.
Nếu răng cửa bị mẻ sẽ ảnh hưởng lớn đến tính thẩm mỹ.
Để khắc phục tình trạng mẻ răng hiệu quả, bạn cần xác định rõ tình trạng mẻ răng ở mức độ nặng hay nhẹ, có ảnh hưởng nhiều đến phần trụ chân răng hay không? Nếu trường hợp răng mẻ ít, phần trụ chân răng không bị ảnh hưởng quá nhiều, bạn có thể bọc răng sứ hoặc trám răng để phục hình, tuy nhiên trám răng thì độ bền không cao. Trong trường hợp răng bị mẻ quá nhiều, ảnh hưởng lớn tới phần chân răng thì bắt buộc phải trồng răng.
Trường hợp răng bị mẻ nhẹ, chưa ảnh hưởng nhiều đến phần cùi răng, tốt nhất bạn nên bọc răng sứ. Đây là giải pháp khắc phục tình trạng răng bị mẻ, mang lại tính thẩm mỹ cho hàm răng cũng như cải thiện khả năng ăn nhai mà không ảnh hưởng nhiều tới cấu trúc của răng, không cần nhổ răng.
Khi bọc răng sứ, bạn sẽ cần mài bớt phần cùi răng thật để tạo thành một trụ chân răng chắc chắn giúp cố định lại răng sứ được bọc. Đặc tính trong mờ và độ chịu lực rất tốt của răng sứ có khả năng phục hồi tính thẩm mỹ của hàm răng, giúp ăn nhai dễ dàng, đặc biệt khắc phục tình trạng đau nhức kéo dài tại răng mẻ.
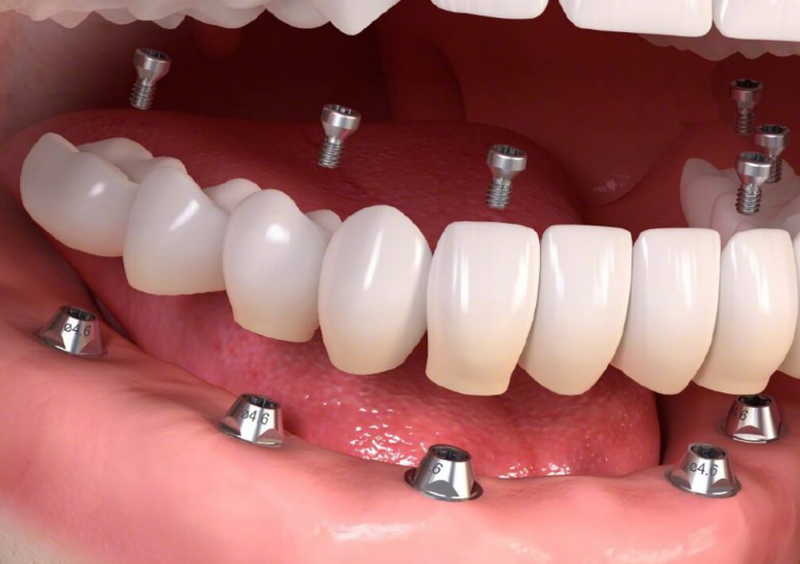
Với trường hợp răng bị mẻ nặng, cách tốt nhất là trồng răng implantVới trường hợp răng bị mẻ nghiêm trọng, tổn thương sâu vào trong phần thân răng, bạn không thể bọc răng sứ được mà cần phải trồng răng implant để thay thế toàn bộ vị trí răng này. Do chân răng không còn đủ khỏe mạnh để làm trụ nâng đỡ cho răng sứ nên cần thay cả phần trụ chân răng.
Với phương pháp trám răng thẩm mỹ: Tùy vào vị trí răng mẻ mà chi phí trám răng có thể dao động từ 150.000 đến 500.000 đồng.
Với phương pháp bọc răng sứ: Chi phí bọc răng sứ có thể dao động từ 1,8 triệu đến 8,5 triệu đồng (chưa bao gồm phí điều trị bệnh lý nếu có và vệ sinh răng).
Ngoài ra các loại sứ bán quý, sứ quý kim cũng được sử dụng phổ biến với mức giá dao động từ 11 triệu đến 45 triệu đồng/1 răng sứ.
Tóm lại, bạn đã có được câu trả lời cho thắc mắc "Răng bị mẻ có mọc lại được không?" sau khi đọc bài viết trên. Phần lớn răng bị mẻ nghiêm trọng, phải nhổ bỏ đều không thể mọc lại. Tuy nhiên, cũng tùy vị trí răng và tình trạng răng mẻ nhẹ, vẫn có trường hợp răng bị mẻ mọc lại được.
Quỳnh Trang
Nguồn tham khảo: Tổng hợp
:format(webp)/KF_1b_LIQ_Tx_J_Pb27_Vsh90_QN_6b_Xz_OB_Jo_U_f0e2294e2e.png)
Dược sĩ Đại họcNguyễn Chí Chương
Tốt nghiệp Đại Học Dược Hà Nội - chuyên môn Dược lâm sàng. Hiện đang là giảng viên cho Dược sĩ tại Nhà thuốc Long Châu.