Từng làm ở Viện ISDS, nhiều năm cộng tác với CDC Thái Nguyên triển khai dự án phòng chống HIV/AIDS, 2 năm cộng tác với WHO.
Kim Toàn
03/03/2026
Mặc định
Lớn hơn
Răng cửa bị đổi màu thường khiến người gặp phải mất tự tin trong giao tiếp và sinh hoạt hằng ngày, đặc biệt khi răng chuyển sang các màu sậm rõ rệt. Trong bài viết này, chúng ta sẽ cùng tìm hiểu các nguyên nhân gây đổi màu răng và những biện pháp cải thiện hiệu quả.
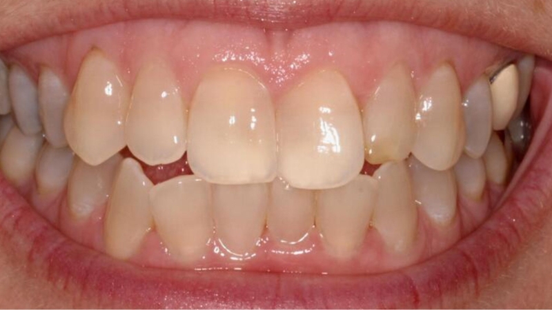
Răng cửa bị đổi màu là hiện tượng khá phổ biến, có thể gặp ở cả trẻ em lẫn người trưởng thành. Dù đôi khi chỉ do thói quen sinh hoạt hằng ngày, nhưng trong một số trường hợp, đổi màu răng còn liên quan đến bệnh lý răng miệng cần được quan tâm sớm.
Răng cửa bị đổi màu là tình trạng răng bị nhiễm sắc tố khác với màu tự nhiên ban đầu do các chất tạo màu thâm nhập vào men hoặc ngà răng. Những sắc tố này không thể ngăn ngừa hay loại bỏ bằng các biện pháp thông thường như chải răng hoặc đánh bóng.

Có rất nhiều yếu tố khiến răng cửa bị đổi màu hoặc nhiễm màu. Tùy vào vị trí sắc tố xâm nhập mà hiện tượng này được chia thành hai nhóm: Nhiễm màu ngoại sinh và nhiễm màu nội sinh. Trong đó, nhiễm màu ở men răng (lớp ngoài cùng của răng) được gọi là nhiễm màu ngoại sinh, còn nhiễm màu xuất phát từ ngà răng (lớp nằm bên dưới men) được xếp vào nhóm nhiễm màu nội sinh.
Thông thường, nhiễm màu ngoại sinh liên quan đến chế độ ăn uống, thói quen sinh hoạt và vệ sinh răng miệng chưa đúng cách, hút thuốc lá hoặc quá trình lão hóa tự nhiên. Ngược lại, nhiễm màu nội sinh chủ yếu bắt nguồn từ các yếu tố bên trong cơ thể như tác động của hóa chất (điển hình là kháng sinh tetracycline), rối loạn nội tiết (bilirubin), hoặc một số bệnh lý toàn thân.
Thực phẩm và đồ uống là nguyên nhân phổ biến nhất khiến răng bị xỉn màu, đặc biệt là những loại có màu sẫm. Các thức uống như cà phê, trà, nước ngọt có màu, cùng với bánh kẹo và thực phẩm nhiều đường dễ để lại sắc tố bám trên men răng. Khi sử dụng thường xuyên trong thời gian dài, các chất tạo màu này sẽ khiến răng ngả vàng và kém sáng, nhất là khi việc vệ sinh răng miệng không được chú trọng.
Nicotine và hắc ín trong thuốc lá có khả năng làm răng ố vàng rất nhanh. Thời gian hút thuốc càng kéo dài, mức độ đổi màu răng càng nghiêm trọng. Không chỉ ảnh hưởng đến thẩm mỹ, hút thuốc còn làm tăng mảng bám vi khuẩn, cản trở quá trình lành thương trong khoang miệng và khiến các bệnh lý như viêm nướu, nha chu hay sâu răng tiến triển nặng hơn.

Chăm sóc răng miệng kém có thể dẫn đến nhiều vấn đề như sâu răng, cao răng, viêm nướu và răng nhiễm màu. Việc chải răng, dùng chỉ nha khoa và súc miệng đúng cách giúp hỗ trợ tái khoáng men răng, kiểm soát vi khuẩn, hạn chế mảng bám và giảm nguy cơ răng bị đổi màu do thức ăn hay đồ uống.
Theo thời gian, men răng sẽ dần mỏng đi do quá trình ăn nhai và lão hóa tự nhiên. Khi lớp men bị mài mòn, ngà răng bên trong lộ rõ hơn, khiến răng có xu hướng ngả vàng và kém sáng.
Răng sâu không được điều trị kịp thời có thể dẫn đến viêm tủy hoặc hoại tử tủy. Khi tủy răng chết, nguồn nuôi dưỡng bị mất đi khiến răng trở nên giòn, dễ gãy và dần chuyển sang màu xám, tím nhạt hoặc đen. Nếu không xử lý, tình trạng này có thể gây viêm quanh chóp, áp xe hoặc mất răng. Thông thường, bác sĩ sẽ chỉ định điều trị tủy kết hợp các giải pháp thẩm mỹ như tẩy trắng răng chết tủy hoặc bọc răng sứ.

Ngoài những yếu tố trên, răng đổi màu còn có thể xuất phát từ:
Hiện nay, có không ít mẹo làm trắng răng được truyền tai nhau như chải răng bằng than tre, baking soda, súc miệng với nước chanh, nước vo gạo hay chà răng bằng vỏ chuối… Tuy nhiên, đa phần những phương pháp này hiệu quả không cao, thậm chí còn có nguy cơ làm mòn men răng, gây ảnh hưởng tiêu cực đến sức khỏe răng miệng nếu áp dụng lâu dài.
Trong nha khoa hiện đại, ba phương pháp được sử dụng phổ biến và có cơ sở khoa học rõ ràng để cải thiện màu răng bao gồm: Tẩy trắng răng, dán sứ Veneer và bọc răng sứ. Mỗi phương pháp đều có ưu - nhược điểm riêng và phù hợp với từng tình trạng răng khác nhau.
Tẩy trắng răng bằng thuốc là giải pháp cải thiện màu răng được áp dụng rộng rãi nhờ đơn giản, không xâm lấn và dễ thực hiện. Thuốc tẩy trắng chứa hoạt chất peroxide có khả năng thấm sâu vào men răng, phá vỡ các phân tử sắc tố gây sẫm màu, từ đó giúp răng sáng hơn. Hiện nay có hai hình thức tẩy trắng phổ biến:

Dán sứ Veneer là phương pháp phục hình thẩm mỹ răng ít xâm lấn nhưng mang lại hiệu quả cao. Các miếng sứ mỏng (độ dày khoảng 0,2-0,5 mm) được dán lên bề mặt ngoài của răng nhằm che phủ khuyết điểm như:
Quy trình dán Veneer thường diễn ra trong hai buổi. Ở buổi đầu, bác sĩ thăm khám, mài nhẹ men răng và lấy dấu để chế tác Veneer. Buổi tiếp theo, Veneer được gắn cố định lên răng.
Bọc răng sứ là phương pháp phục hình sử dụng mão răng bằng sứ (hoặc sứ kết hợp kim loại) để che phủ toàn bộ răng thật hoặc gắn lên trụ implant. Phương pháp này thường được chỉ định cho các trường hợp:
Bọc răng sứ thường là giải pháp cuối cùng khi các phương pháp khác không còn hiệu quả, bởi kỹ thuật này yêu cầu mài nhiều mô răng và không bảo tồn được cấu trúc răng tự nhiên như tẩy trắng hay dán Veneer.
Để hạn chế răng bị xỉn màu và ố vàng, bạn có thể áp dụng một số biện pháp chăm sóc răng miệng hiệu quả sau đây:

Răng cửa bị đổi màu không chỉ ảnh hưởng đến thẩm mỹ mà còn có thể phản ánh những vấn đề tiềm ẩn về sức khỏe răng miệng. Việc nhận biết sớm nguyên nhân và chủ động áp dụng các biện pháp phòng ngừa phù hợp sẽ giúp hạn chế tình trạng này hiệu quả. Khi nhận thấy răng đổi màu bất thường, bạn nên sớm thăm khám tại các cơ sở nha khoa uy tín để được tư vấn và xử lý kịp thời, góp phần bảo vệ sức khỏe răng miệng cho bản thân và gia đình.
Dược sĩ Đại học Nguyễn Tuấn Trịnh
Từng làm ở Viện ISDS, nhiều năm cộng tác với CDC Thái Nguyên triển khai dự án phòng chống HIV/AIDS, 2 năm cộng tác với WHO.