Tốt nghiệp Khoa Dược trường Đại học Nam Cần Thơ. Có nhiều năm kinh nghiệm công tác trong lĩnh vực Dược phẩm. Hiện đang giảng viên cho Dược sĩ tại Nhà thuốc Long Châu.
Tuyết Vĩ
27/09/2024
Mặc định
Lớn hơn
Sâu răng là vấn đề răng miệng khá phổ biến mà chúng ta thường xuyên gặp phải. Vậy răng sâu nên làm gì để xử lý và ngăn ngừa hiệu quả?
Sâu răng nếu không chữa kịp thời sẽ rất khó điều trị về sau. Bài viết này sẽ cung cấp cho bạn những thông tin cần thiết về dấu hiệu và nguyên nhân gây sâu răng cũng như răng sâu nên làm gì.
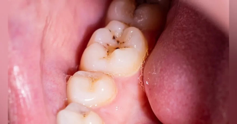
Trước khi tìm hiểu răng sâu nên làm gì, chúng ta cần xác định rõ những dấu hiệu cho thấy răng bị sâu để tiến hành điều trị. Sâu răng là những tổn thương vĩnh viễn trên bề mặt răng, hình thành các lỗ nhỏ li ti. Nguyên nhân gây sâu răng bao gồm vi khuẩn trong miệng, thói quen ăn vặt, tiêu thụ đồ uống có đường và vệ sinh răng miệng kém.

Sâu răng là vấn đề sức khỏe răng miệng phổ biến nhất toàn cầu, đặc biệt ảnh hưởng đến trẻ em, thanh thiếu niên và người lớn tuổi. Nếu không được xử lý kịp thời, sâu răng có thể lan ra và ảnh hưởng đến các cấu trúc răng, dẫn đến đau răng nặng, nhiễm trùng và thậm chí mất răng.
Trong giai đoạn đầu của sâu răng, răng tiếp xúc với lượng axit lớn do vi khuẩn mảng bám tạo ra. Khi mảng bám không được loại bỏ kịp thời, bề mặt răng bắt đầu mất đi các khoáng chất. Ở giai đoạn này, sâu răng nhẹ có thể được nhận biết qua các đốm trắng nhỏ trên răng, biểu hiện của sự mất khoáng và tổn thương men răng.
Giai đoạn thứ hai của sâu răng là quá trình men răng bắt đầu bị phá vỡ. Các đốm trắng trên răng chuyển sang màu nâu, cho thấy sự mất khoáng và tổn thương men răng gia tăng. Điều này khiến men răng trở nên yếu đi và dễ bị tổn thương hơn.
Bên dưới lớp men răng là ngà răng, một mô mềm hơn và nhạy cảm hơn men răng. Khi men răng bị mài mòn, ngà răng sẽ lộ ra và trở nên dễ bị tổn thương bởi axit từ vi khuẩn mảng bám. Sự phân hủy của ngà răng làm tăng cảm giác ê buốt và đau nhức nhẹ do các ống nhỏ dẫn đến dây thần kinh của răng bị ảnh hưởng.
Khi ngà răng bị phá hủy hoàn toàn, tủy răng (phần trong cùng của răng) sẽ bị lộ ra. Tủy răng có các dây thần kinh và mạch máu. Khi sâu răng ảnh hưởng đến tủy, người bệnh sẽ cảm thấy kích ứng, sưng tấy và đau nhức dữ dội ở vùng răng bị sâu. Tổn thương tủy nếu được điều trị sớm có thể giúp khôi phục sức khỏe răng miệng, nhưng nếu phát hiện muộn có thể cần phải lấy tủy hoặc nhổ răng.
Giai đoạn cuối cùng của sâu răng là khi tủy bị tổn thương nặng, vi khuẩn lan rộng và nhân lên bên trong răng, gần các mạch máu và dây thần kinh, gây viêm tủy nghiêm trọng và áp xe răng. Áp xe răng gây đau đớn nghiêm trọng và có thể lan sang hàm. Tình trạng này cần được điều trị ngay lập tức bằng thuốc kháng sinh, điều trị tủy hoặc nhổ răng.
Sâu răng xảy ra khi vi khuẩn và axit ăn mòn men răng, ngà răng và tấn công vào tủy răng. Một số nguyên nhân chính gây ra sâu răng bao gồm:
Mảng bám là một lớp màng dính trong suốt phủ lên bề mặt răng. Chúng xuất hiện do tiêu thụ nhiều đường, tinh bột và vệ sinh răng miệng không cẩn thận. Khi đường và tinh bột không được loại bỏ khỏi răng, vi khuẩn sẽ nhanh chóng phát triển và tạo nên mảng bám. Mảng bám có thể cứng lại và trở thành cao răng, khiến việc loại bỏ chúng trở nên khó khăn hơn và tạo điều kiện cho vi khuẩn phát triển.
Axit được tạo ra từ quá trình chuyển hóa đường và tinh bột bởi vi khuẩn trong mảng bám. Axit này làm mất khoáng chất trong men răng, tạo ra những lỗ nhỏ trên bề mặt răng. Khi men răng bị ăn mòn, vi khuẩn và axit có thể xâm nhập vào ngà răng, lớp này mềm hơn men răng và dễ bị tấn công hơn. Ngà răng chứa các ống nhỏ liên kết với dây thần kinh, gây ra cảm giác nhạy cảm và ê buốt.

Khi sâu răng tiếp tục lan rộng, vi khuẩn và axit thâm nhập sâu hơn vào cấu trúc răng, cuối cùng đến tủy răng – nơi chứa các dây thần kinh và mạch máu. Điều này gây sưng tấy và kích ứng nướu, làm dây thần kinh bị chèn ép, gây đau đớn. Cảm giác khó chịu có thể lan ra ngoài chân răng đến xương hàm.
Giảm đau tại nhà là một trong những phương pháp mà nhiều người áp dụng, đồng thời trả lời cho câu hỏi răng sâu nên làm gì. Bên cạnh đó, nếu răng sâu đến một mức độ nghiêm trọng, bạn cần đến phòng khám để được điều trị triệt để và nhanh chóng.
Nhiều người quan tâm đến việc điều trị sâu răng tại nhà một cách an toàn và hiệu quả. Dưới đây là một số phương pháp đơn giản:

Các phương pháp trên đều từ nguyên liệu tự nhiên, an toàn và lành tính nhưng chỉ mang tính giảm đau tạm thời. Để điều trị dứt điểm, bạn nên đến gặp bác sĩ nha khoa để được thăm khám và điều trị chuyên nghiệp.
Sâu răng chủ yếu hình thành do vi khuẩn gây hại tấn công. Có nhiều biện pháp để chữa sâu răng, điều này sẽ tùy thuộc vào mức độ sâu răng, độ nặng của những biến chứng và mong muốn của người bệnh. Do đó, để điều trị dứt điểm, cần loại bỏ hoàn toàn vi khuẩn trong răng và ngăn chúng tấn công trở lại.
Trám răng là kỹ thuật chữa răng sâu khá phổ biến ngày nay vì hiệu quả và nhanh chóng. Sau khi xử lý và loại bỏ vi khuẩn, bác sĩ sẽ trám răng bằng các vật liệu như Amalgam (trám bạc), kim loại quý, GIC, Composite,... để bít lại lỗ sâu. Phương pháp này không chỉ đảm bảo thẩm mỹ mà còn ngăn vi khuẩn tái tấn công.
Quy trình trám răng:
Trong trường hợp răng sâu nặng và cần điều trị tủy nhưng chân răng vẫn còn chắc chắn, bọc răng sứ là lựa chọn phù hợp. Phương pháp này giúp bảo vệ răng tối đa và mang tính thẩm mỹ cao.

Bài viết trên đây đã giúp trả lời câu hỏi răng sâu nên làm gì cùng một vài thông tin quan trọng về răng sâu. Nhìn chung, sâu răng là một vấn đề phổ biến nhưng có thể phòng ngừa và điều trị hiệu quả nếu bạn thường xuyên vệ sinh và kiểm tra răng miệng. Khi gặp phải tình trạng răng sâu, đừng chần chừ, hãy đến gặp nha sĩ để được tư vấn và điều trị kịp thời. Bằng cách chăm sóc răng miệng đúng cách và duy trì lối sống lành mạnh, bạn có thể giữ cho hàm răng luôn khỏe mạnh và ngăn ngừa sâu răng.
Xem thêm:
Dược sĩ Đại họcNguyễn Thị Thảo Nguyên
Tốt nghiệp Khoa Dược trường Đại học Nam Cần Thơ. Có nhiều năm kinh nghiệm công tác trong lĩnh vực Dược phẩm. Hiện đang giảng viên cho Dược sĩ tại Nhà thuốc Long Châu.