• Thực phẩm chức năng

  • Dược mỹ phẩm

  • Thuốc

  • Chăm sóc cá nhân

  • Thiết bị y tế

  • Tiêm chủng

  • Bệnh & Góc sức khỏe

  • Hệ thống nhà thuốc

    1. /
    2. Góc sức khỏe/
    3. Phòng bệnh & Sống khoẻ

    Răng sâu bị vỡ phải xử lý như thế nào? Cách phòng tránh răng sâu bị vỡ

    16/09/2025

    Kích thước chữ

    Thói quen ăn uống nhiều đồ ngọt hoặc vệ sinh chăm sóc răng không đủ sạch rất dễ dẫn đến tình trạng sâu răng. Những chiếc răng đã sâu mà vẫn không được xử lý càng ngày sẽ tổn thương nặng hơn, mẻ vỡ, chết tủy, bệnh răng miệng… Vậy chúng ta phòng tránh răng sâu bị vỡ như thế nào cũng như xử lý thế nào khi răng sâu bị vỡ?

    Răng sâu khi bị tổn thương quá nặng có thể xảy ra các tình trạng nghiêm trọng hơn như chết tủy, mẻ vỡ... Răng sâu bị vỡ là một vấn đề răng miệng cần được xử lý kịp thời để tránh gây ra hậu quả cho sức khỏe người bệnh. Vậy làm thế nào để xử lý răng sâu bị vỡ?

    Thế nào gọi là răng sâu?

    Cấu tạo của răng gồm 2 phần thân răng và chân răng. Thân răng được bao bọc bởi men răng, chân răng được bao bọc bởi xi măng.

    Sâu răng là tình trạng tổn thương mô cứng của răng gây ra bởi vi khuẩn ở mảng bám răng dẫn tới hình thành các lỗ sâu nhỏ trên răng. Có 3 loại sâu răng:

    • Sâu thân răng (thường gặp nhất): Tình trạng sâu xảy ra giữa các răng hoặc trên bề mặt nhai, có thể gặp ở cả trẻ em và người trưởng thành.
    • Sâu chân răng: Càng về già lợi và nướu càng yếu, tụt xuống phía chóp răng làm cho một phần chân răng bị lộ ra ngoài, do không có men răng bảo vệ khiến rất dễ xảy ra sâu răng ở phần này.
    • Sâu răng thứ phát: Là hiện tượng sâu xung quanh phần trám răng hoặc mão răng, do bề mặt không trơn nhẵn khiến thức ăn khó bị rửa sạch, hình thành mảng bám, dẫn tới sâu.

    Có rất nhiều nguyên nhân dẫn đến sâu răng nhưng phần lớn vẫn là do ăn uống và cách chăm sóc răng miệng. Ngoài ra sâu răng còn có thể do di truyền hoặc do chứng thiếu nước bọt (bẩm sinh, bệnh tật, tác dụng phụ của thuốc…).

    Răng sâu bị vỡ phải xử lý như thế nào? Cách phòng tránh răng sâu bị vỡ 1 Hình ảnh giải phẫu răng

    Sâu răng là bệnh lý vô cùng nguy hiểm. Tình trạng sâu răng diễn biến qua từng giai đoạn. Bắt đầu khi xuất hiện những chấm đen li ti và lỗ nhỏ trên bề mặt răng. Lỗ sâu to dần và bắt đầu kèm theo những cơn đau nhức. Sâu càng nặng, răng càng tổn thương và vỡ mẻ nhiều hơn. Nếu không can thiệp xử lý sâu có thể tấn công hết phần thân răng và để lộ chân răng. Đồng thời làm hư hại các dây thần kinh nhỏ ở vùng trung tâm răng, có thể làm nhiễm trùng chóp răng và phải xử lý bằng cách rút tủy, phẫu thuật, nhổ răng.

    Vậy làm thế nào để biết răng mình có bị sâu hay không? Sâu răng trên bề mặt dễ nhìn thấy cũng sẽ dễ nhận biết, còn nếu sâu kẽ răng hoặc sâu chân răng thì rất khó phát hiện. Người bệnh chỉ nghi ngờ khi thấy dấu hiệu đau nhức. Chính vì vậy chỉ nha sĩ mới trả lời chính xác được răng bạn có bị sâu hay không thông qua chụp phim răng. Cách tốt nhất là đi kiểm tra định kỳ 3 – 6 tháng để phòng ngừa sớm tình trạng sâu răng.

    Răng sâu bị vỡ xử lý như thế nào?

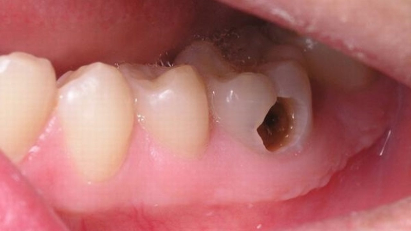
    Răng sâu bị vỡ phải xử lý như thế nào? Cách phòng tránh răng sâu bị vỡ 2 Răng sâu bị vỡ được phân chia từ mức độ nhẹ đến nặng

    Răng sâu bị vỡ có mức độ từ nhẹ là vỡ một mảnh răng nhỏ đến nặng là vỡ toàn bộ thân răng chỉ còn phần chân. Và mỗi mức độ sẽ có biện pháp xử lý khác nhau.

    Răng sâu ở giai đoạn khởi phát chỉ có những lỗ vỡ cực nhỏ trên bề mặt có thể điều trị bằng Fluor. Đây là một chất khoáng giúp ngăn ngừa sâu răng và có thể phục hồi răng trong những giai đoạn sâu răng sớm và cực nhỏ.

    Fluor có thể dùng tại chỗ hoặc toàn thân. Fluor dùng tại chỗ là sử dụng bông gòn chứa fluor bôi trực tiếp lên răng. Việc sử dụng kem đánh răng hoặc nước súc miệng chứa fluor cũng cho tác dụng tương tự như tại phòng nha. Fluor dùng toàn thân là sử dụng nước hóa fluor hoặc chế độ ăn có bổ sung fluor. Hiệu quả trị sâu răng tốt nhất khi kết hợp cả 2 cách. Phương pháp này có thể dùng tại nhà tuy nhiên không được quá lạm dụng vì phục hồi răng cũng cần thời gian, việc sử dụng fluor nồng độ cao chỉ khiến răng bị nhiễm fluor.

    Nếu răng sâu vỡ một mảnh nhỏ, chưa tới ½ thân răng thì có thể điều trị bằng việc trám răng. Trám răng là một thủ thuật cơ bản, sử dụng vật liệu nhựa composite để bịt kín phần răng bị mẻ. Đầu tiên nha sĩ làm sạch vùng răng mẻ sau đó làm nhám bằng chất lỏng hoặc gel và vật liệu kết dính. Tiếp theo bôi một lớp trám răng bên trên và sử dụng tia cực tím để làm vật liệu cứng lại. Vật liệu thường cùng màu với răng và nha sĩ sẽ bôi lượng vừa đủ để phục hồi lại hình dạng răng như cũ nên phương pháp này vẫn đảm bảo chức năng nhai và thẩm mỹ.

    Răng sâu bị vỡ chỉ còn chân răng là tình trạng răng tổn thương đến mức nghiêm trọng vỡ lớn hơn ½ thân răng làm lộ chân răng và có thể không thể giữ lại được. Việc điều trị cũng trở nên phức tạp, tốn kém và đau đớn nhiều hơn. Tùy vào mức độ nghiệm trọng của tình trạng bệnh, nha sĩ sẽ tư vấn các phương pháp điều trị phù hợp.

    Nếu chân răng còn tốt (không có dấu hiệu nhiễm trùng chóp răng, không có tình trạng tiêu xương) nha sĩ sẽ chỉ định rút tủy răng và làm sạch vùng chân răng, sau đó dùng chất trám bịt kín lại ống tủy. Sau đó tùy vào trình trạng răng xung quanh nha sĩ có thể tái tạo lại thân răng bằng vật liệu sứ hoặc vật liệu khác để đảm bảo duy trì chức năng ăn nhai như thường cũng như chức năng thẩm mỹ.

    Răng sâu bị vỡ phải xử lý như thế nào? Cách phòng tránh răng sâu bị vỡ 3 Điều trị tủy răng là phương pháp khắc phục tình trạng răng sâu bị vỡ

    Nếu chân răng không còn tốt, viêm nhiễm lan rộng, nha sĩ sẽ đề nghị nhổ bỏ răng, làm sạch vùng viêm nhiễm chóp răng, đặt thuốc hoặc uống thuốc để cải thiện tình trạng viêm nhiễm. Sau đó nha sĩ sẽ tư vấn lắp răng giả thay thế răng đã mất vừa đảm bảo ăn nhai vừa đảm bảo thẩm mỹ. Việc lắp răng giả là rất cần thiết, mất một răng lâu dài sẽ dẫn đến nhiều biến chứng nguy hiểm cho cả hàm sau này.

    Ngoài ra trong quá trình điều trị, cơn đau thường xuyên xuất hiện thì có thể được nha sĩ chỉ định thêm một số loại kháng sinh, giảm đau tự dùng tại nhà. Người lớn cũng có thể sử dụng aspirin, trẻ em có thể dùng acetaminophen hoặc ibuprofen để giảm đau tạm thời.

    Phòng ngừa răng sâu bị vỡ như thế nào?

    Như bên trên đã đề cập, sâu răng chủ yếu do ăn uống và vệ sinh. Vì vậy cần điều chỉnh chế độ ăn uống không quá nhiều tinh bột hoặc đường. Vệ sinh răng 2 lần 1 ngày và 30 phút sau khi ăn, dùng kem đánh răng chứa fluor để ngăn ngừa sâu răng, dùng bàn chải kẽ để làm sạch thức ăn ở kẽ răng. Hơn nữa là xây dựng thói quen đi khám nha khoa định kỳ 3 – 6 tháng để kiểm soát tốt nhất về tình trạng răng miệng của mình.

    Khi xuất hiện vết sâu, bạn cần nhanh chóng xử lý theo các phương pháp bên trên đề cập. Việc xử lý kịp thời là mấu chốt giúp răng sâu không bị vỡ. Tất nhiên những phương pháp đó không thể bảo vệ răng 100% không bị sâu thêm nhưng có thể giảm tình trạng sâu một cách đáng kể và tuổi thọ của chiếc răng sâu có thể kéo dài tới vài chục năm. Một việc cũng quan trọng không kém là hãy tìm hiểu thật kỹ cơ sở y tế bạn sẽ tới điều trị, chất lượng phục hồi tổn thương cũng phụ thuộc nhiều vào tay nghề nha sĩ cũng như vật liệu làm răng.

    Tóm lại, qua bài viết trên đây bạn cũng phần nào hiểu được rõ hơn về tình trạng răng sâu cũng như cách điều trị răng sâu từ giai đoạn sớm đến giai đoạn vỡ nặng. Hãy luôn chăm sóc cẩn thận cho hàm răng của mình tránh để răng sâu bị vỡ nhé. Cảm ơn các bạn đã đồng hành cùng Nhà thuốc Long Châu!

    Ánh Vũ

    Nguồn tham khảo: Tổng hợp

    Có thể bạn quan tâm

    Thông tin và sản phẩm gợi ý trong bài viết chỉ mang tính chất tham khảo, vui lòng liên hệ với Bác sĩ, Dược sĩ hoặc chuyên viên y tế để được tư vấn cụ thể. Xem thêm

    Dược sĩ Đại họcNguyễn Thanh Hải

    Đã kiểm duyệt nội dung

    Tốt nghiệp Đại học Dược Hà Nội, với hơn 10 năm kinh nghiệm trong lĩnh vực Dược phẩm. Hiện là giảng viên giảng dạy các môn Dược lý, Dược lâm sàng,...

    Xem thêm thông tin