Dược sĩ Đại học có nhiều năm kinh nghiệm trong việc tư vấn Dược phẩm và hỗ trợ giải đáp thắc mắc về Bệnh học. Hiện đang là giảng viên cho Dược sĩ tại Nhà thuốc Long Châu.
Quỳnh Loan
10/06/2024
Mặc định
Lớn hơn
Rất nhiều người gặp phải tình trạng tam giác nướu, đặc biệt là sau khi niềng răng. Việc xuất hiện tam giác nướu tuy không nghiêm trọng nhưng khiến chúng ta cảm thấy mất tự tin, không dám nở nụ cười trong giao tiếp với người đối diện.
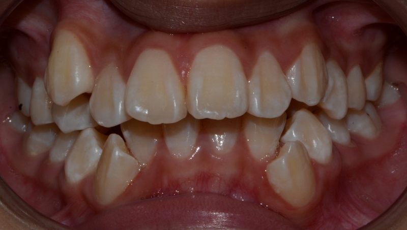
Niềng răng giúp giải quyết được nhiều khiếm khuyết về răng, bao gồm răng hô, móm, thưa, lệch lạc. Tuy nhiên, bạn cần biết rằng không phải tất cả trường hợp sau quá trình niềng răng đều đạt được kết quả mong muốn. Không ít người sau khi đã niềng răng xong, hàm răng được sắp đều, đúng khớp cắn nhưng lại tồn tại một số hạn chế, trong đó có vấn đề tam giác nướu sau niềng.
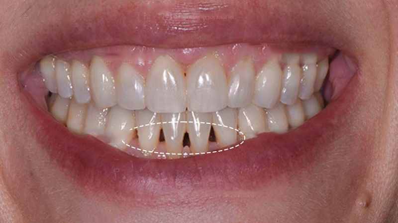
Tam giác nướu là những khoảng trống nhỏ xuất hiện giữa các răng, đặc biệt ảnh hưởng đến vùng răng cửa và răng nanh. Mặc dù không phải là vấn đề răng miệng nghiêm trọng nhưng những khoảng trống tam giác nướu có ảnh hưởng đáng kể đến sự tự tin của một người, làm thay đổi tính thẩm mỹ của nụ cười và sự tự nhiên trong giao tiếp.

Tình trạng tam giác nướu xảy ra do nhiều yếu tố khác nhau, bao gồm mất xương, tụt nướu hoặc khoảng cách tự nhiên giữa các răng. Khi chúng ta già đi, những yếu tố này trở nên rõ ràng hơn, làm cho những khoảng trống tam giác nướu càng rõ rệt.
Mặc dù tam giác nướu phần nhiều gây lo ngại về mặt thẩm mỹ nhưng nếu không được điều trị có thể tạo cơ hội cho các mảnh thức ăn và vi khuẩn tích tụ, hình thành mảng bám và tiềm ẩn bệnh nướu răng. Vì vậy, giải quyết hiện tượng tam giác nướu không chỉ là vấn đề thẩm mỹ mà còn là biện pháp phòng ngừa các vấn đề về sức khỏe răng miệng. Bạn nên lựa chọn phòng khám nha khoa uy tín, giàu kinh nghiệm để giúp giải quyết tình trạng tam giác nướu phù hợp với nhu cầu và mong muốn cụ thể của bạn.
Tam giác nướu có thể xuất hiện vì nhiều lý do, thường liên quan đến các tình trạng tồn tại từ trước hoặc phát triển trong quá trình điều trị chỉnh nha, cụ thể là niềng răng.
Bên cạnh đó, việc bác sĩ nha khoa không thăm khám kỹ tình trạng răng miệng bệnh nhân trước khi niềng cũng góp phần gây ra tam giác nướu sau niềng răng. Nhiều người bị viêm nướu và viêm nha chu chưa được điều trị triệt để mà tiến hành niềng răng sẽ có nguy cơ cao bị tam giác nướu sau điều trị.
Ngoài ra, một số nguyên nhân sau đây cũng khiến cho tình trạng tam giác nướu xuất hiện:
Răng cửa chen chúc, bị xoay hoặc chồng lên nhau, đặc biệt là ở phía trước, có thể khiến tam giác nướu bị che khuất đi. Sau khi niềng răng, nha sĩ chỉnh sửa những sai lệch vị trí của răng cửa, lúc này tình trạng tam giác nướu trước đó mới lộ rõ.
Ngoài ra, tam giác nướu cũng có khả năng xuất hiện sau niềng răng do ổ răng mỏng, hẹp dẫn đến thiếu xương nâng đỡ sau khi niềng. Đây là nguyên nhân góp phần gây ra tình trạng tụt nướu, khe hở và hình thành nên tam giác nướu.

Những người có chân răng hình tam giác có thể dễ mắc phải tình trạng hình thành tam giác nướu. Hình dạng này có thể làm cho răng có chân răng hẹp hơn ở đường viền nướu, dẫn đến các khoảng trống khi răng được căn chỉnh và tạo khoảng cách chính xác trong quá trình điều trị chỉnh nha.
Trong trường hợp khớp cắn ngược, ổ răng mỏng và thiếu mô xương hỗ trợ có thể dẫn đến tụt nướu và hình thành các hình tam giác nướu. Vấn đề này thường trở nên trầm trọng hơn khi thực hiện các động tác chỉnh nha nhằm khắc phục các vấn đề về khớp cắn.
Vệ sinh răng miệng kém có thể dẫn đến viêm nướu và viêm nha chu, cả hai đều là dấu hiệu báo trước của hình tam giác nướu. Việc mất xương ổ răng liên quan đến những tình trạng này dẫn đến việc hỗ trợ nướu ít hơn, tụt nướu và hình thành khe hở tam giác nướu.

Để giải quyết vấn đề tam giác nướu đòi hỏi chúng ta phải có cách tiếp cận đa diện, tập trung vào cả phòng ngừa và điều trị. Mặc dù niềng răng là giải pháp giúp chúng ta có hàm răng và nụ cười đẹp, nhưng sự xuất hiện của hình tam giác nướu lại gây ảnh hưởng không nhỏ, khiến chúng ta tự ti. Do đó, việc hiểu rõ các nguyên nhân cơ bản dẫn đến tam giác nướu sau niềng là rất cần thiết, từ đó có thể chủ động áp dụng phương pháp tiếp cận giúp giảm thiểu rủi ro, trong đó có tam giác nướu sau khi niềng răng xong.
Như đã đề cập bên trên, tam giác nướu không phải là tình trạng có thể gây hại đến sức khỏe chắc chắn sự xuất hiện của chúng sẽ để lại một số hậu quả nhất định. Cụ thể như:
Chắc chắn việc bị tụt lợi để lộ ra vùng tam giác nướu sẽ khiến nụ cười của bạn kém thẩm mỹ hơn rất nhiều, bạn sẽ cảm thấy mất tự tin trong giao tiếp, ngại nói cười với người đối diện.
Ngoài ảnh hưởng tính thẩm mỹ, tam giác nướu còn gây lộ chân răng, khiến ngà răng không được bảo vệ tốt. Hậu quả là răng bạn rất dễ bị nhức, ê buốt, ăn đồ lạnh/chua/cay sẽ rất khó chịu.
Khe hở tam giác nướu rất dễ làm thức ăn kẹt lại, khó vệ sinh, dần dần tích tụ thành các mảng bám gây nhiễm trùng nướu, sâu răng,… Nếu tình trạng này kéo dài sẽ có nguy cơ cao đưa đến viêm lợi, có trường hợp bị mất răng vĩnh viễn.

Vì thế, nha sĩ khuyến cáo bạn khi bị tam giác nướu cần đến nha khoa sớm để được thăm khám và có hướng điều trị kịp thời.
Tác động của tình trạng tam giác nướu đến thẩm mỹ răng miệng và nụ cười của người sở hữu là điều chắc chắn. Vậy nếu bị tình trạng tam giác nướu, làm sao để khắc phục?
Hiện nay, tại các phòng nha có nhiều biện pháp giúp chúng ta khắc phục hiện tượng tam giác nướu như dũa kẽ, trám kẽ, Veneer. Tùy vào từng trường hợp cụ thể như mức độ tam giác to nhỏ mà tỷ lệ khe hở sẽ được cải thiện ra sao. Bạn có thể tham khảo thông tin về một số cách khắc phục tam giác nướu phổ biến hiện nay:
Đây là phương pháp điều trị tam giác nướu bằng cách mài một ít men răng phía mặt bên để tạo khoảng trống giữa các răng. Sau đó bác sĩ nha khoa sẽ tiến hành niềng để đóng khoảng trống, đồng thời thu hẹp khe hở tam giác nướu. Dũa kẽ thường được sử dụng với trường hợp thân răng hình tam giác.
Với phương pháp trám kẽ, bác sĩ nha khoa sẽ dùng vật liệu nhân tạo có màu sắc, tính chất tương đồng với toàn bộ răng thật để đóng các kẽ hở tam giác nướu. Bên cạnh đó nha sĩ cũng dùng vật liệu tạo hình thành các cạnh răng, tăng kích cỡ ngang của thân răng, từ đó khắc phục hiệu quả tình trạng tam giác nướu ở răng.
Trong trường hợp dũa kẽ hoặc trám răng không thể khắc phục tam giác nướu thì nha sĩ sẽ cân nhắc phương pháp dán sứ veneer (hay còn gọi bọc răng sứ).
Tóm lại, tam giác nướu là tình trạng rất phổ biến, dễ gặp khi bị một số bệnh nha khoa, sau khi niềng răng mà không điều trị triệt để bệnh răng miệng trước đó. Bạn cần đi khám khi xuất hiện tình trạng tam giác nướu. Tùy vào tình trạng răng và mức độ lớn nhỏ của tam giác nướu, nha sĩ sẽ chỉ định phương pháp nào hiệu quả nhất với trường hợp cụ thể của bạn.
Xem thêm:
Dược sĩ Đại họcNguyễn Mỹ Huyền
Dược sĩ Đại học có nhiều năm kinh nghiệm trong việc tư vấn Dược phẩm và hỗ trợ giải đáp thắc mắc về Bệnh học. Hiện đang là giảng viên cho Dược sĩ tại Nhà thuốc Long Châu.