Tốt nghiệp Đại học Dược Hà Nội, với hơn 10 năm kinh nghiệm trong lĩnh vực Dược phẩm. Hiện là giảng viên giảng dạy các môn Dược lý, Dược lâm sàng,...
Thị Diểm
30/06/2024
Mặc định
Lớn hơn
Mổ rút đinh cố định thường là một quy trình khá đơn giản và nhanh chóng. Thời gian mổ thường không quá lâu, thường chỉ mất từ 30 phút đến 1 giờ tùy thuộc vào phức tạp của trường hợp. Vậy sau mổ rút đinh bao lâu thì đi lại được?
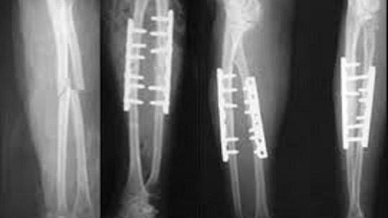
Trong quá trình điều trị gãy xương, việc đặt đinh cố định là một phương pháp phổ biến để đảm bảo xương được giữ vững và hồi phục đúng cách. Tuy nhiên, sau khi xương đã lành, việc mổ rút đinh trở thành bước quan trọng tiếp theo. Một câu hỏi thường được đặt ra là mổ rút đinh bao lâu thì đi được?
Thời gian hồi phục sau phẫu thuật rút đinh có thể khác nhau tùy thuộc vào nhiều yếu tố như vị trí xương gãy, tình trạng sức khỏe tổng thể của bệnh nhân và phương pháp phẫu thuật được sử dụng. Việc hiểu rõ về những lưu ý khi tiến hành rút đinh và quá trình hồi phục sau phẫu thuật sẽ giúp bệnh nhân chuẩn bị tốt hơn và đảm bảo kết quả hồi phục tối ưu.
Mổ rút đinh cố định được thực hiện vì một số lý do quan trọng sau:

Tóm lại, việc mổ rút đinh cố định là cần thiết để loại bỏ nguy cơ nhiễm trùng, giảm cảm giác không thoải mái, hỗ trợ quá trình lành mạnh của xương, tránh nguy cơ va đập và tạo điều kiện cho việc điều trị, phục hồi. Đọc tiếp bài viết để biết được mổ rút đinh bao lâu thì đi được bạn nhé!
Trước khi quyết định tiến hành phẫu thuật rút đinh cố định, bệnh nhân cần lưu ý một số điều sau:

Trước khi quyết định, bệnh nhân nên hiểu rõ các cảnh báo và lưu ý trên. Nếu có bất kỳ thắc mắc nào, hãy thảo luận với bác sĩ để được tư vấn cụ thể và thông tin chi tiết.
Mổ rút đinh bao lâu thì đi được là thắc mắc của nhiều người. Thời gian để có thể đi lại sau khi phẫu thuật rút đinh cố định có thể khác nhau tùy thuộc vào nhiều yếu tố, bao gồm:

Sau khi lấy đinh cố định, nhiều người có thể đi lại được trong khoảng một tuần hoặc ngay sau phẫu thuật. Mặc dù có thể cảm thấy đau nhẹ ở vùng vết mổ, nhưng điều này thường không gây ra nhiều bất tiện. Bác sĩ thường khuyến nghị hạn chế các hoạt động nặng và quá sức để giảm nguy cơ gãy xương và giúp quá trình hồi phục diễn ra suôn sẻ hơn.
Trong khoảng thời gian từ 2 đến 3 tháng sau phẫu thuật, các lỗ từ việc rút đinh sẽ tự bít lại và lành dần. Điều này cho phép xương phục hồi và trở nên bền chắc hơn, giảm nguy cơ tái phát chấn thương. Do đó, không cần phải quá lo lắng về vấn đề này, và người bệnh có thể tiếp tục cuộc sống hàng ngày một cách bình thường sau khi đã điều trị.
Quá trình mổ rút đinh cố định là một phương pháp phẫu thuật nhằm gỡ bỏ các đinh hoặc nẹp được sử dụng để ổn định xương sau chấn thương hoặc phẫu thuật gốc. Quá trình này bao gồm:
Chuẩn bị trước mổ:
Phẫu thuật:

Sau mổ:
Hồi phục:
Tái kiểm tra:
Việc rút đinh cố định sau phẫu thuật chấn thương chỉnh hình là một quy trình phổ biến. Tuy nhiên, để đảm bảo an toàn và giảm thiểu rủi ro biến chứng, việc lựa chọn các cơ sở y tế đáng tin cậy và uy tín là rất quan trọng. Hy vọng bài viết đã trả lời được cho bạn thắc mắc mổ rút đinh bao lâu thì đi được.
Dược sĩ Đại họcNguyễn Thanh Hải
Tốt nghiệp Đại học Dược Hà Nội, với hơn 10 năm kinh nghiệm trong lĩnh vực Dược phẩm. Hiện là giảng viên giảng dạy các môn Dược lý, Dược lâm sàng,...