Dược sĩ chuyên ngành Dược lâm sàng, với nhiều năm kinh nghiệm làm việc trong lĩnh vực dược phẩm. Là Dược sĩ Long Châu đạt được chứng chỉ bệnh học cấp quốc tế. Hiện đang là giảng viên tại Trung tâm Đào tạo FPT Long Châu.
Ánh Vũ
09/01/2024
Mặc định
Lớn hơn
Lưỡi là bộ phận có thể phản ánh một cách toàn diện nhất sức khỏe thể chất của con người. Tuy nhiên, các dấu hiệu trên lưỡi thường dễ bị bỏ qua. Một câu hỏi đặt ra: Tĩnh mạch dưới lưỡi màu đen có phải là dấu hiệu cảnh báo vấn đề sức khoẻ nguy hiểm?
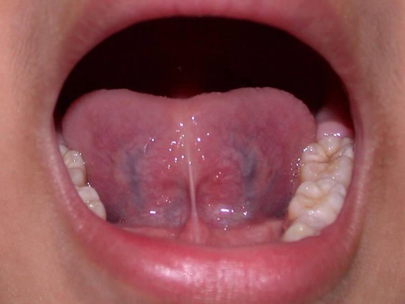
Nếu chú ý, bạn sẽ thấy dưới lưỡi có hai đường gân xanh nổi lên. Đây thực chất là tĩnh mạch. Trước khi giải đáp tĩnh mạch dưới lưỡi màu đen có phải dấu hiệu cảnh báo vấn đề sức khoẻ nguy hiểm, hãy cùng Nhà thuốc Long Châu tìm hiểu thế nào là tĩnh mạch lưỡi bạn nhé.
Đi kèm với động mạch lưỡi trong hệ thống mạch máu là tĩnh mạch lưỡi. Tĩnh mạch này có cấu trúc và chức năng đặc biệt quan trọng trong việc cung cấp máu và thực hiện chức năng trong khu vực vùng lưỡi.
Tĩnh mạch lưỡi đi kèm với động mạch lưỡi, bắt đầu trên mặt sau, hai bên và dưới của lưỡi, kết thúc ở tĩnh mạch cảnh trong. Sự kết hợp giữa động mạch lưỡi và tĩnh mạch lưỡi tạo nên một hệ thống mạch máu phức tạp, chịu ảnh hưởng của thần kinh hạ thiệt.
Tĩnh mạch lưỡi có khả năng tùy hành với thần kinh hạ thiệt. Điều này có ý nghĩa rất lớn trong việc điều chỉnh hoạt động của hệ thống mạch máu trong lưỡi. Mối quan hệ này có thể ảnh hưởng đến các chức năng như chuyển động, cảm giác và áp lực thẩm thấu của mạch máu.
Trong lâm sàng, tĩnh mạch lưỡi đặc biệt quan trọng bởi khả năng hấp thụ máu nhanh. Việc đặt thuốc Nitroglycerin dưới lưỡi đã trở thành một phương pháp điều trị phổ biến đối với trường hợp bệnh nhân nghi ngờ có cơn đau thắt ngực. Sự hấp thu nhanh chóng của thuốc thông qua tĩnh mạch lưỡi giúp người bệnh giảm đau nhanh chóng và hiệu quả. Điều này đặc biệt tốt trong những trường hợp khẩn cấp.

Để phân biệt giữa tĩnh mạch và động mạch dưới lưỡi, bạn có thể thực hiện các bước sau:
Lưu ý, cách phân biệt động mạch và tĩnh mạch dưới lưỡi trên đây chỉ mang tính chất tham khảo. Nếu bạn có bất kỳ lo lắng hay triệu chứng bất thường nào, hãy tìm kiếm sự tư vấn từ các bác sĩ hoặc chuyên viên y tế.

Tĩnh mạch dưới lưỡi màu đen có thể liên quan đến các vấn đề về cung cấp máu ở vùng này. Một số nguyên nhân có thể khiến tĩnh mạch dưới lưỡi màu đen phải kể đến như:
Để xác định chính xác nguyên nhân tĩnh mạch dưới lưỡi có màu đen, bạn nên đến gặp bác sĩ hoặc các chuyên gia thần kinh. Tại đây, các bác sĩ sẽ tiến hành thăm khám và đưa ra chẩn đoán cũng như đề xuất phương án điều trị phù hợp.

Như đã trình bày phía trên, tĩnh mạch dưới lưỡi màu đen có thể là dấu hiệu cảnh báo vấn đề sức khỏe nào đó chẳng hạn như viêm nhiễm, ứ đọng máu hoặc các vấn đề về tuần hoàn. Chính vì thế, việc người bệnh được chẩn đoán sớm và điều trị là vô cùng quan trọng.
Dưới đây là các bước điều trị và làm giảm tình trạng tĩnh mạch dưới lưỡi có màu đen, bạn đọc có thể tham khảo:
Để chẩn đoán cũng như xác định chính xác nguyên nhân dẫn đến tình trạng tĩnh mạch dưới lưỡi màu đen, việc đầu tiên bạn cần làm đó là đến thăm khám tại các cơ sở y tế uy tín. Tại đây, các bác sĩ sẽ tiến hành thăm khám, kiểm tra các triệu chứng lâm sàng cũng như hỏi về tiền sử bệnh của người bệnh.
Sau khi đã đưa ra chẩn đoán nghi ngờ bệnh, các bác sĩ sẽ chỉ định bạn làm thêm một số thăm dò cận lâm sàng để xác định chẩn đoán và nguyên nhân gây bệnh. Một số xét nghiệm bác sĩ có thể yêu cầu bạn thực hiện như xét nghiệm công thức máu, xét nghiệm đông máu, kiểm tra đường huyết, xét nghiệm vi sinh…
Sau khi đã xác định được chính xác nguyên nhân dẫn đến tình trạng tĩnh mạch dưới lưỡi màu đen, các bác sĩ sẽ đưa ra hướng điều trị phù hợp với từng trường hợp bệnh. Điều trị bệnh có thể bao gồm sử dụng thuốc giảm đau, thuốc chống viêm, áp dụng liệu pháp nhiệt hay thậm chí là can thiệp phẫu thuật tùy từng trường hợp.
Song song với việc tuân thủ chỉ định điều trị từ bác sĩ, người bệnh cũng cần thay đổi lối sống thông qua việc duy trì chế độ dinh dưỡng lành mạnh và khoa học, tập thể dục thường xuyên và đều đặn, tránh căng thẳng hay stress, nói không với các chất kích thích và đồ uống có cồn như rượu, bia, thuốc lá…
Song song với việc tuân thủ điều trị và thay đổi lối sống, người bệnh cũng cần thường xuyên theo dõi tình trạng sức khoẻ thông qua việc tái khám theo lịch hẹn mà bác sĩ đưa ra.
Nếu nhận thấy tình trạng bệnh không thuyên giảm hay bất kỳ vấn đề sức khỏe bất thường nào, hãy báo lại với bác sĩ để được điều chỉnh phương pháp điều trị sao cho phù hợp.

Trên đây là toàn bộ những thông tin cơ bản xoay quanh tình trạng tĩnh mạch dưới lưỡi màu đen mà Nhà thuốc Long Châu đã tổng hợp để chia sẻ đến bạn đọc. Hy vọng qua bài viết hôm nay, bạn đọc sẽ hiểu rõ hơn về tình trạng này. Chúc bạn luôn có thật nhiều sức khoẻ và thành công hơn nữa trong tương lai.
Dược sĩ Đại họcPhạm Nguyễn Hoàng Kim
Dược sĩ chuyên ngành Dược lâm sàng, với nhiều năm kinh nghiệm làm việc trong lĩnh vực dược phẩm. Là Dược sĩ Long Châu đạt được chứng chỉ bệnh học cấp quốc tế. Hiện đang là giảng viên tại Trung tâm Đào tạo FPT Long Châu.