Dược sĩ Đại học có nhiều năm kinh nghiệm trong việc tư vấn Dược phẩm và hỗ trợ giải đáp thắc mắc về Bệnh học. Hiện đang là giảng viên cho Dược sĩ tại Nhà thuốc Long Châu.
Thùy Hương
23/02/2024
Mặc định
Lớn hơn
Răng hô là một tình trạng sai lệch ở khớp cắn hoặc xương hàm khiến răng bị nhô ra ngoài. Điều này không chỉ ảnh hưởng đến thẩm mỹ mà còn là nguy cơ xảy ra các bệnh lý răng miệng. Hãy tìm hiểu xem tình trạng răng hô nặng có hết không.
Răng hô là một tình trạng sai lệch ở khớp cắn hoặc xương hàm khiến răng bị nhô ra ngoài. Điều này không chỉ ảnh hưởng đến thẩm mỹ mà còn là nguy cơ xảy ra các bệnh lý răng miệng. Hãy cùng Nhà thuốc Long Châu tìm hiểu xem tình trạng răng hô nặng có hết được không.
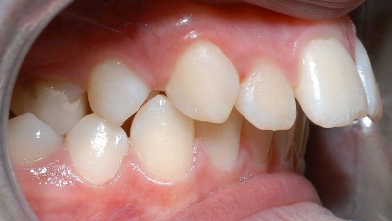
Răng hô là một tình trạng khi hàm trên và hàm dưới không duy trì sự tương quan chính xác với nhau. Điều này dễ dàng nhận biết khi quan sát khuôn mặt từ góc độ nghiêng, nơi hàm răng thường nhô ra phía ngoài, mọc theo hướng nghiêng và không theo đường thẳng hướng lên trên.
Trong trường hợp hô nhẹ, việc quan sát trên hình ảnh X-quang có thể hiển lộ rõ ràng sự chênh lệch của răng, mọc theo hướng nghiêng khoảng 20 - 30 độ so với đường thẳng dọc. Những trường hợp này thường khá khó nhận biết và yêu cầu sự chú ý đặc biệt.
Ngược lại, răng hô nặng thì dễ dàng nhận biết ngay cả bằng mắt thường mà không cần sử dụng hình ảnh X-quang vì không chỉ có răng mà cả hàm đều nhô ra bên ngoài.
Răng hô nặng được coi là một vấn đề nha khoa, đặc biệt khi khớp cắn bị đặt sai lệch, không đảm bảo sự cân xứng giữa răng trên và dưới, cũng như diện tích tiếp xúc của chúng. Hậu quả của tình trạng này không chỉ làm thay đổi diện mạo gương mặt mà còn gây ra nhiều vấn đề tâm lý, như ám ảnh do trêu chọc, tâm lý tự ti và có thể dẫn đến các bệnh lý răng miệng như viêm nha chu, viêm nướu, tụt lợi. Đồng thời, khả năng nghiền thức ăn giảm có thể gây đau dạ dày và trào ngược.

Các nguyên nhân chủ yếu dẫn đến tình trạng răng hô nặng bao gồm những yếu tố sau đây:

Các ảnh hưởng của tình trạng răng hô nặng đối với sức khỏe có thể được mô tả như sau:

Răng hô nặng không thể tự hồi phục, chúng chỉ có khả năng thay đổi khi được điều trị đúng cách. Một số phương pháp khắc phục tình trạng hô răng là:
Đối với những người mắc tình trạng răng hô do vấn đề xương hàm, một phương pháp điều trị khả dụng là can thiệp phẫu thuật cắt chỉnh xương hàm. Quy trình này sử dụng công nghệ máy móc nha khoa hiện đại để cắt xương hàm, nhằm điều chỉnh độ cân đối và vị trí của khớp cắn, từ đó khắc phục tình trạng răng hô.
Tuy nhiên, cần lưu ý rằng phương pháp này không chỉ đòi hỏi chi phí cao mà còn có nguy cơ tiềm ẩn về chấn thương thần kinh hoặc nguy cơ nhiễm trùng. Do đó, quyết định thực hiện can thiệp phẫu thuật nên được đưa ra chỉ sau khi nhận được đánh giá và chỉ định của bác sĩ chuyên nghiệp. Đồng thời, quá trình điều trị cần được thực hiện tại các cơ sở nha khoa uy tín để đảm bảo an toàn và hiệu quả.
Đây là một phương pháp khắc phục tương đối hiệu quả đối với những trường hợp răng hô nặng xuất phát từ vấn đề xương hoặc răng. Trong quá trình này, người mắc tình trạng răng hô sẽ được sử dụng các khí cụ niềng răng chuyên dụng để có thể dịch chuyển răng từ vị trí sai lệch về đúng vị trí mong muốn. Nhờ vào quá trình điều chỉnh này, những vấn đề do răng hô gây ra có thể được giải quyết một cách hiệu quả.

Nhiều người lựa chọn phương pháp này để điều trị răng hô bởi vì quá trình thực hiện nhanh chóng, thường chỉ mất từ 2 đến 4 ngày và vẫn đảm bảo được tính thẩm mỹ cao.
Nếu răng hô có nguyên nhân đồng thời từ xương hàm và răng, phương pháp này có thể được sử dụng trong quá trình điều trị. Theo đó, phẫu thuật sẽ được thực hiện trước, sau đó, sau một khoảng thời gian, quá trình niềng răng được tiến hành để điều chỉnh khớp cắn, tạo ra sự đồng đều cho răng. Điều này giúp tránh tình trạng răng nghiêng hoặc di chuyển vào các khoảng trống giữa các răng sau quá trình phẫu thuật.
Nói tóm lại, răng hô nặng không có khả năng tự phục hồi nên nếu không có sự can thiệp của bác sĩ nha khoa. Nếu đang gặp tình trạng răng hô, bạn nên đến các cơ sở y tế và nha khoa uy tín để được thăm khám và xử lý kịp thời.
Dược sĩ Đại họcNguyễn Mỹ Huyền
Dược sĩ Đại học có nhiều năm kinh nghiệm trong việc tư vấn Dược phẩm và hỗ trợ giải đáp thắc mắc về Bệnh học. Hiện đang là giảng viên cho Dược sĩ tại Nhà thuốc Long Châu.