Từng làm ở Viện ISDS, nhiều năm cộng tác với CDC Thái Nguyên triển khai dự án phòng chống HIV/AIDS, 2 năm cộng tác với WHO.
12/09/2023
Mặc định
Lớn hơn
Khi bị sâu răng, nha sĩ thường khuyên bạn nên đi trám răng. Vậy trám răng là gì? Quy trình trám răng sâu như thế nào? Dưới đây là những thông tin quan trọng về trám răng mà bệnh nhân cần biết.
Trám răng là phương pháp hữu ích không chỉ với việc điều trị răng sâu hay mẻ mà còn giúp tăng tính thẩm mỹ cho răng thưa. Dù kỹ thuật này không có gì phức tạp nhưng bệnh nhân cũng có thể gặp phải rủi ro miếng trám bị mẻ nếu không biết chăm sóc răng đúng cách sau khi trám. Do vậy, trước khi tiến hành trám răng, bệnh nhân cần tìm hiểu kỹ trám răng là gì và quy trình trám răng sâu thông qua bài viết này.
Trám răng là biện pháp phục hồi răng bị tổn thương khi bị sâu răng nhằm mục đích lấy lại chức năng và hình dạng bình thường của răng. Nha sĩ sẽ loại bỏ những tổn thương trên răng, làm sạch khu vực răng bị ảnh hưởng và trám đầy những lỗ hổng bằng vật liệu trám chuyên dụng. Việc trám răng nhằm bịt kín những lỗ hổng trên răng, ngăn vi khuẩn xâm nhập vào các lỗ hổng đó, từ đó loại bỏ và ngăn ngừa tái lại tình trạng sâu răng.
Sau khi đã rõ đáp án cho câu hỏi trám răng là gì, bệnh nhân cũng cần nắm được việc trám răng nhằm phục vụ nhiều mục đích khác nhau như:
Khi xuất hiện một hoặc nhiều triệu chứng như: Răng đau bất chợt, răng nhạy cảm, có lỗ hổng trên răng, bề mặt răng đổi màu, đau sau khi ăn, uống đồ nóng, lạnh hay ngọt,… thì rất có thể bạn đã bị sâu răng.
Khi đó, bệnh nhân cần trám để làm đầy lỗ hổng trên răng, chấm dứt các triệu chứng khó chịu và phục hồi thẩm mỹ răng. Nếu không được điều trị kịp thời, lỗ hổng trên răng sâu sẽ ngày một lớn dần, gây đau nghiêm trọng, thậm chí có thể gây nhiễm trùng hoặc mất răng.
Cắn phải thức ăn hay vật dụng gì quá cứng có thể khiến răng bị sứt mẻ. Răng bị nứt, mẻ vừa làm giảm thẩm mỹ vừa gây khó ăn, khó nhai, giảm hiệu quả nghiền nát thức ăn nên cần khắc phục sớm.
Nếu răng bị thưa, đặc biệt là với răng cửa, phương pháp trám răng thẩm mỹ có thể là một sự lựa chọn phù hợp để tạo hình cho răng. Tuy nhiên, điều kiện áp dụng là khoảng hở giữa các răng không lớn, dưới 2 mm. Nếu khoảng hở lớn hơn, răng cửa trám xong trông sẽ khá to và mất cân đối. Khi đó, nha sĩ có thể tư vấn một số phương án khác như bọc răng sứ hoặc niềng răng.
Phương pháp trám răng không có tác dụng vĩnh viễn. Sau một thời gian, chỗ trám sẽ dần bị mòn đi và bong ra, thậm chí có thể bị rơi ra hoàn toàn. Khi đó, bạn cần trám lại chỗ trám răng cũ.

Các vật liệu trám răng rất đa dạng về màu sắc, chất liệu và giá cả. Bạn cần tham khảo nha sĩ và cân nhắc dựa trên nhu cầu cũng như tình hình tài chính của bản thân để lựa chọn cho phù hợp.
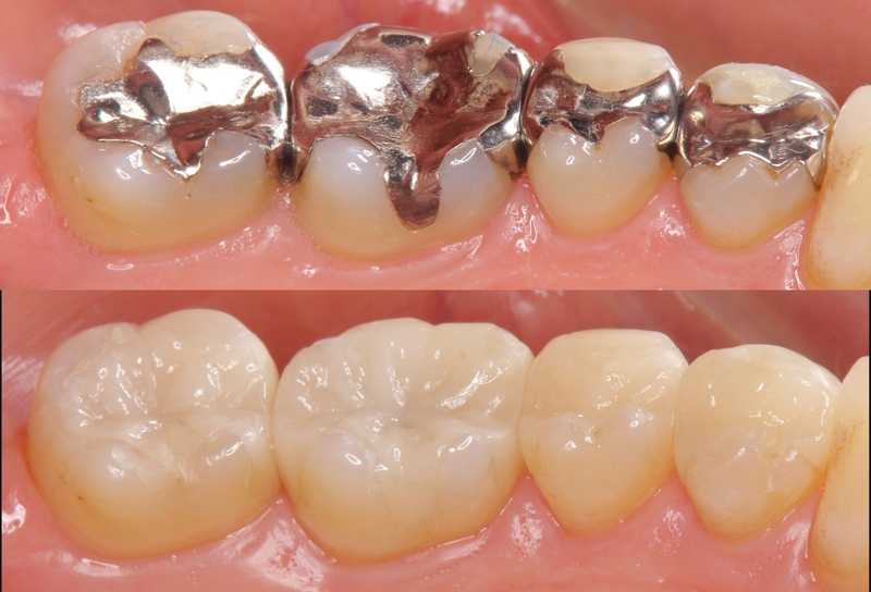
Trám răng bằng amalgam (hay còn được gọi là trám bạc vì màu miếng trám tựa mảnh bạc) có chi phí rẻ nhất trong số các vật liệu trám đang được sử dụng. Amalgam là hỗn hợp của các kim loại như: Bạc, thiếc, kẽm, đồng và thủy ngân (chiếm gần 50% hỗn hợp).
Ưu điểm của amalgam là rất bền, khả năng chịu lực nhai tốt và giá rẻ. Ngược lại, nhược điểm của vật liệu này là không có lợi thế về mặt thẩm mỹ. Chỗ răng trám bằng amalgam sẽ là có màu khác với các răng còn lại nên tạo cảm giác không tự nhiên, không thuận mắt.
Composite được nhiều cơ sở nha khoa quảng cáo là “phủ sứ nano”. Đây là phương pháp trám răng hiệu quả, có tính thẩm mỹ, được nhiều người tin tưởng lựa chọn.
Vật liệu composite có ưu điểm là có màu ngà, gần giống với màu sắc tự nhiên của răng nên phù hợp để trám vào những vị trí dễ nhận biết. Nhược điểm là trám bằng composite không bền như amalgam. Chỗ trám răng chỉ kéo dài được khoảng 5 năm, ít hơn so với con số 10 - 15 năm nếu trám bằng amalgam. Bên cạnh đó, chỗ trám bằng composite không bền khi nhai, đặc biệt là nếu trám những chỗ răng sâu có kích thước lớn.
Trám răng bằng sứ Inlay - Onlay là một biện pháp được ưa chuộng hiện nay. Phương pháp này phù hợp để trám những chiếc răng bị sứt mẻ lớn, cần sử dụng nhiều kỹ thuật phức tạp.
Lợi thế của vật liệu sứ là có màu gần giống màu răng tự nhiên, chống bám bẩn và chống ăn mòn tốt hơn so với composite. Vị trí răng được trám bằng sứ có thể duy trì được lâu hơn, khoảng 10 năm. Tuy nhiên, sứ có giá thành cao hơn amalgam và composite.
Hiện nay, nhiều người chọn phương án trám răng bằng vàng hoặc một số kim loại quý khác như: Bạc, đồng. Cách này giúp tăng độ cứng, chắc cho miếng trám.
Vàng được yêu thích vì có thể chịu được lực nhai lớn với độ bền tốt nhất. Trám răng bằng vàng cũng mang lại sự sang trọng và vàng bị mài mòn chậm hơn so với những vật liệu khác. Nhược điểm khi trám bằng vàng là chi phí lớn và mất nhiều thời gian hơn do phải tới nha sĩ 2 lần để thực hiện.
Chất liệu trám răng GIC (viết tắt của Glass Ionomer Cement) được làm từ vật liệu polyacrylic axit kèm theo một thành phần của thủy tinh là fluoroaluminosilicate.
Ưu điểm của vật liệu GIC là chứa fluor, giúp kiềm chế tình trạng sâu răng, không làm tình trạng này trở nên nặng hơn. Fluor là chất thường được sử dụng trong kem đánh răng để bảo vệ và chăm sóc răng miệng tốt hơn. GIC thường gắn chặt vào răng và giúp giảm nứt ở chỗ có vết trám. Tuy vậy, nếu coi trọng yếu tố thẩm mỹ thì cần cân nhắc khi sử dụng GIC bởi màu sắc của vật liệu này không giống màu của răng tự nhiên như composite.

Quy trình trám răng sâu cũng là một vấn đề mà nhiều người quan tâm sau khi đã rõ trám răng là gì, nên chọn vật liệu gì để trám răng. Trên thị trường hiện có hai loại trám răng phổ biến nhất là: Trám răng trực tiếp và gián tiếp. Quy trình trám răng của mỗi kỹ thuật này là khác nhau.
Trám răng trực tiếp khá đơn giản, được sử dụng với nhiều tình trạng răng. Trong trường hợp này, bệnh nhân thường chỉ cần tới cơ sở nha khoa một lần. Quy trình trám răng trực tiếp gồm các bước sau:
Quy trình này thường dao động trong khoảng 20 - 30 phút, tùy tình trạng sâu và chất liệu trám răng.
Quy trình gián tiếp (hay còn gọi là Inlay - Onlay) là phương pháp trám răng giúp giảm khoảng hở giữa miếng trám và mô răng.
Các bước thăm khám và gây tê trong quy trình trám răng gián tiếp cũng tương tự như trực tiếp. Điểm khác biệt nằm ở việc nha sĩ sẽ lấy dấu hàm răng và tạo thành miếng trám bên ngoài.
Trong quy trình trám răng gián tiếp, bệnh nhân thường phải đến gặp nha sĩ 2 lần, mỗi lần khoảng 30 - 45 phút.

Bài viết trên đây đã mang đến cho bạn những kiến thức về trám răng về trám răng là gì, những vật liệu trám răng thường được sử dụng và quy trình trám răng sâu tiêu chuẩn theo các cách khác nhau. Dù có bị sâu răng hay không, đã trám răng hay chưa, tất cả mọi người đều nên duy trì việc chăm sóc răng miệng thường xuyên bằng nước súc miệng, chỉ nha khoa, kem đánh răng và bàn chải đánh răng có chất lượng tốt. Việc giữ gìn răng miệng khỏe mạnh giúp tiết kiệm thời gian và tiền bạc hơn nhiều so với việc điều trị răng sâu.
Dược sĩ Đại học Nguyễn Tuấn Trịnh
Từng làm ở Viện ISDS, nhiều năm cộng tác với CDC Thái Nguyên triển khai dự án phòng chống HIV/AIDS, 2 năm cộng tác với WHO.