Tốt nghiệp Khoa Dược trường Đại học Nam Cần Thơ. Có nhiều năm kinh nghiệm công tác trong lĩnh vực Dược phẩm. Hiện đang giảng viên cho Dược sĩ tại Nhà thuốc Long Châu.
09/08/2025
Mặc định
Lớn hơn
Có thể nói nhiễm bệnh sán chó lên não là loại bệnh gây nguy hiểm cho người mắc phải. Bệnh thường diễn tiến âm thầm, dấu hiệu nhận biết không đặc trưng khiến người bệnh dễ dàng bỏ qua nên rất khó phát hiện. Vậy triệu chứng sán chó lên não như thế nào?
Do triệu chứng sán chó lên não không có biểu hiện đặc trưng nên người bệnh thường không phát hiện hoặc nghĩ đó là triệu chứng của bệnh khác, có thể gây nguy hiểm cho người bệnh. Vậy làm sao để nhận biết được dấu hiệu của bệnh này? Nếu bạn quan tâm, có thể theo dõi tiếp thông tin trong bài viết để hiểu rõ hơn nhé!
Bệnh sán dây chó còn có nhiều tên gọi khác nhau như sán dải chó, sán chó, sán dây bọ chét, sán dây dưa chuột, sán dây hai lỗ. Loại sán chó có tên khoa học là Dipylidium Caninum, chúng thường ký sinh ở chó và mèo. Tuy nhiên, người ta cũng tìm thấy loài sán này ở người và đối tượng gặp nhiều nhất là trẻ em.
Sán chó dài khoảng 10 - 70cmỞ một số nghiên cứu còn chỉ ra bệnh sán chó lây trên mèo hoang dại hay chồn hương, linh cẩu, mèo sống trong rừng nhiệt đới, cầy hương, chó rừng, chó sống hoang dại… Sán chó dài khoảng 10 - 70cm với 175 đốt hình elip hoặc đốt dài và nó có màu hồng nhạt. Ở gần đầu thì những đốt sán thường ngắn và mảnh, rộng khoảng 0,2mm. Còn những đốt sán chưa trưởng thành ở gần cổ khi trưởng thành sẽ trở nên vuông hơn, có chiều rộng hơn chiều dài. Khi đốt sán đạt kích thước 27 x 12mm và chứa trứng là đã già. Khi đốt sán già sẽ chứa cả cơ quan sinh dục đực và cái nằm ở hai bên đốt sán. Tinh hoàn của những đốt sán có từ 100 - 200 nang trứng và mỗi nang trứng lại có từ 8 - 15 trứng.
Trứng có kích thước từ 35 - 40mm, có phôi sán chứa 3 đôi móc, vỏ trứng sán mỏng, hình cầu. Tử cung ở những đốt sán đó sẽ phát triển như mạng lưới, buồng trứng có tuyến noãn hoàng. Đầu sán có kích thước 0,25 - 0,5mm với 4 đĩa hút hình chén và chúng hình thoi. Vòi sán chó hình gậy ở miệng vòi có 1 - 7 hàng răng và có thể nhô ra hoặc thụt vào tùy thuộc vào tuổi của sán.
Triệu chứng sán chó lên não không đặc hiệu nên khiến người bệnh rất khó để nhận biết. Không những khó mà có một số bệnh nhân còn không xuất hiện triệu chứng. Có một số triệu chứng thường thấy ở sán chó lên não như động kinh. Động kinh là triệu chứng phổ biến của sán chó lên não, nó chiếm khoảng 70%. Có thể là đau đầu, chóng mặt thường xuyên lặp lại trong thời gian dài. Đột quỵ, liệt nửa người (có liên quan đến đột quỵ hoặc liệt Todd), rối loạn tâm thần cũng là những triệu chứng liên quan đến sán chó lên não. Kể cả suy giảm nhận thức, trí nhớ và rối loạn ngôn ngữ vận động, rối loạn tư thế khi di chuyển cũng là những triệu chứng sán chó lên não. Có thể là liệt thần kinh vận nhãn, tăng hoặc giảm phản xạ của cơ thể.
Một số bệnh nhân không có dấu hiệu bệnh sán chó lên nãoTriệu chứng ban đầu của sán chó lên não thường là bán cấp tính đến mãn tính. Chỉ có những cơn động kinh xảy ra thường cấp tính. Nếu sán chó ở hệ thần kinh thì những phát hiện bất thường về cơ thể sẽ xảy ra ít hơn, bởi vì nó phụ thuộc vào vị trí nang sán.
Triệu chứng sán chó lên não không rõ ràng, nhưng dựa trên những triệu chứng nêu trên, nếu có nghi ngờ thì nên khám bệnh để phát hiện điều trị sớm.
Tình trạng ấu trùng sán chó lên não người có thể xảy ra, do ấu trùng sán chó di chuyển đến não làm tổ và hoạt động ở đó. Do sán chó làm tổ ở não khiến người bệnh sẽ gặp phải những triệu chứng như nhức đầu, sưng cơ, co giật, yếu liệt nửa người, động kinh…
Khi sán chó lên não gây nguy hiểm là viêm não. Đây là trường hợp đặc biệt nguy hiểm, nếu như không phát hiện và điều trị kịp thời thì người bệnh có thể dẫn tới tử vong. Vì vậy khi có triệu chứng sán chó lên não cần phát hiện kịp thời và điều trị đúng cách để đảm bảo sức khỏe. Như vậy câu hỏi sán chó lên não có nguy hiểm không thì câu trả lời là rất nguy hiểm và có thể đe dọa tính mạng.
Triệu chứng sán chó lên não không rõ ràng mà bệnh lại rất nguy hiểm, vậy việc chẩn đoán và điều trị có dễ không? Việc chẩn đoán viêm màng não do ký sinh trùng dựa vào nhiều yếu tố như vùng dịch tễ, triệu chứng của bệnh nhân, tiền căn tiếp xúc với yếu tố nguy cơ, đồng thời xét nghiệm dịch não tủy.
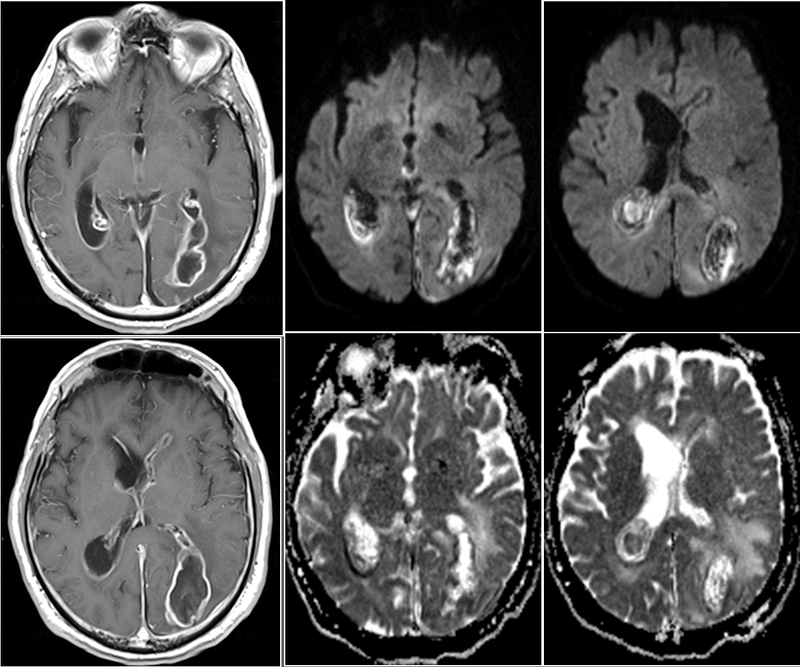
Việc chẩn đoán viêm não do sán chó gây ra cũng không đơn giản. Phải dựa vào rất nhiều yếu tố như vừa nêu hoặc phải chụp CT hoặc MRI não bộ để chẩn đoán bằng hình ảnh.

Chẩn đoán viêm màng não do ký sinh trùng được dựa trên các triệu chứng của bệnh nhân, Bởi vì khi xét nghiệm máu tổng phân tích thì tế bào máu có thể bạch cầu ái toan bình thường hoặc tăng. Khi làm xét nghiệm ELISA tìm kháng thể phát hiện trong cơ thể có kháng thể kháng sán chó hay không. Còn đối với xét nghiệm dịch não tủy đếm tế bào có tỷ lệ bạch cầu ái toan tăng cao.
Dùng phương pháp chụp CT hay MRI sọ não nhằm mục đích tìm hình ảnh tổn thương trên não. Tìm hình ảnh gợi ý tổn thương viêm màng não đồng thời có thể có hình ảnh tổn thương não tủy đi kèm. Trường hợp quá khó chẩn đoán và nặng có thể sẽ sinh thiết não.
Đối với bệnh sán chó việc phòng ngừa là biện pháp tốt, quan trọng và an toàn hiệu quả cao. Nếu như gia đình nuôi chó nên tẩy sán và diệt bọ chét bằng những loại thuốc cho loài thú cưng này. Việc vệ sinh tắm rửa thường xuyên cho chó và khám thú y để phát hiện điều trị kịp thời tránh lây sang người.
Nên thường xuyên vệ sinh môi trường và rửa tay bằng xà phòng hoặc nước chuyên dụng. Thường xuyên cắt móng tay cho trẻ bởi vì trẻ thường có thói quen ngậm tay. Đôi tay là nơi tiếp xúc nhiều với môi trường là nơi lý tưởng của ấu trùng và sán chó.
Để giảm nguy cơ mắc bệnh sán chó lên não thì việc phòng ngừa rất quan trọng. Nên vệ sinh môi trường sống của chúng ta đồng thời phát hiện sớm những dấu hiệu nhận biết để thăm khám kịp thời. Hy vọng những thông tin này giúp bạn có cái nhìn khái quát hơn về triệu chứng sán chó lên não.
Tuệ Nhi
Nguồn tham khảo: Tổng hợp
Dược sĩ Đại họcNguyễn Thị Thảo Nguyên
Tốt nghiệp Khoa Dược trường Đại học Nam Cần Thơ. Có nhiều năm kinh nghiệm công tác trong lĩnh vực Dược phẩm. Hiện đang giảng viên cho Dược sĩ tại Nhà thuốc Long Châu.