Tốt nghiệp Đại Học Dược Hà Nội - chuyên môn Dược lâm sàng. Hiện đang là giảng viên cho Dược sĩ tại Nhà thuốc Long Châu.
Minh Lam
14/05/2025
Mặc định
Lớn hơn
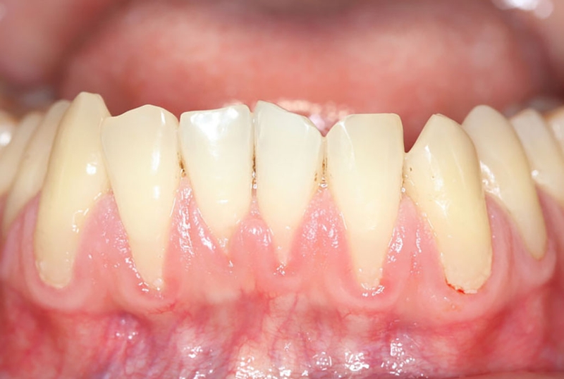
Tụt nướu là tình trạng mô nướu bị tụt hoặc mất ở khu vực chân răng khiến chân răng bị lộ ra ngoài. Đây là vấn đề răng miệng khá thường gặp, có thể gây ảnh hưởng đến cuộc sống của người bệnh. Vì vậy, cần điều trị tụt nướu càng sớm càng tốt để tránh tình trạng diễn biến nghiêm trọng hơn.
Tụt nướu là tình trạng khá phổ biến và không còn quá xa lạ với nhiều người. Bệnh lý này thường gây mất thẩm mỹ vì mô nướu bị tụt khiến phần chân răng bị lộ ra ngoài. Ở bài viết này, hãy cùng Nhà thuốc Long Châu tìm hiểu tụt nướu là gì và phương pháp để điều trị tụt nướu nhé.
Mô nướu có kết cấu khá chặt, có nhiều mạch máu ở bên dưới và mô nướu với niêm mạc miệng màu hồng. Nướu dính chặt với phần xương hàm, che phủ tới cổ chân răng và có tác dụng bảo vệ chân răng.
Trong quá trình chăm sóc răng miệng, bạn có thể sẽ gặp phải tình trạng mô nướu xung quanh chân răng bị tụt, co rút dần khiến chân răng bị lộ ra ngoài. Khi gặp phải tình trạng nướu răng bị tụt thường gây ra tình trạng ê buốt răng, răng lung lay, thậm chí là rụng răng.
Bên cạnh đó, phần chân răng bị lỗ có thể sẽ dễ bị tổn thương do vi khuẩn và cao răng, dẫn đến sâu răng. Do đó, khi phát hiện bị tụt nướu răng, bạn cần tìm đến nha sĩ để được điều trị tụt nướu kịp thời.

Tình trạng tụt nướu răng có thể xuất phát từ nhiều nguyên nhân khác nhau, có thể kế đến những nguyên nhân chính dưới đây:

Tùy vào tình trạng của bệnh tụt nướu mà bác sĩ sẽ đưa ra phương pháp điều trị phù hợp. Nếu bệnh càng nặng thì việc điều trị sẽ càng phức tạp và mất nhiều thời gian điều trị hơn. Dưới đây là các phương pháp điều trị tụt nướu dựa trên tình trạng bệnh mà bạn có thể tham khảo.
Đối với bệnh nhân bị tụt nướu nhẹ, chỉ xảy ra ở một hoặc một vài răng, chân răng hở không quá nhiều, lợi vẫn còn khả năng bám vào chân răng. Bệnh nhân sẽ được bác sĩ chỉ định điều trị đơn giản bằng cách lấy sạch cao răng, sau đó dùng gel ngậm flour hoặc uống thuốc để điều trị bệnh. Sau khi điều trị, bệnh nhân cần chú ý vệ sinh răng miệng đúng cách để giúp khắc phục tình trạng tụt nướu nhanh hơn.
Ngoài ra, bệnh nhân có thể sẽ được chỉ định sử dụng thuốc giảm nhạy cảm, trám răng, chỉnh nha, đắp lớp dán veneer tháo rời…
Đối với bệnh nhân có tình trạng tụt nướu nặng, xảy ra ở nhiều răng, chân răng bị lộ nhiều, lợi bị viêm đỏ nặng. Bệnh nhân cần được loại bỏ cao răng và phẫu thuật ghép nướu.
Hiện nay có 3 phương pháp phẫu thuật tụt nướu mà bạn có thể tham khảo như sau:
Sau khi điều trị bằng phẫu thuật, bệnh nhân cần thực hiện theo các chỉ định của bác sĩ về việc chăm sóc và phục hồi. Bên cạnh đó, cần đảm bảo vệ sinh răng miệng đúng cách nhằm bảo vệ sức khỏe răng miệng.

Như vậy, tụt nướu tuy gây mất thẩm mỹ răng miệng nhưng có thể điều trị nếu phát hiện kịp thời. Điều quan trọng để tránh tình trạng tụt nướu tái phát sau khi điều trị chính là chăm sóc răng miệng đúng cách, đảm bảo sức khỏe răng miệng luôn tốt.
Hy vọng bài viết trên của Nhà thuốc Long Châu sẽ mang lại những thông tin hữu ích giúp bạn sớm phát hiện và điều trị tụt nướu hiệu quả.
Xem thêm:
:format(webp)/KF_1b_LIQ_Tx_J_Pb27_Vsh90_QN_6b_Xz_OB_Jo_U_f0e2294e2e.png)
Dược sĩ Đại họcNguyễn Chí Chương
Tốt nghiệp Đại Học Dược Hà Nội - chuyên môn Dược lâm sàng. Hiện đang là giảng viên cho Dược sĩ tại Nhà thuốc Long Châu.