Tốt nghiệp Khoa Dược trường Đại học Nam Cần Thơ. Có nhiều năm kinh nghiệm công tác trong lĩnh vực Dược phẩm. Hiện đang giảng viên cho Dược sĩ tại Nhà thuốc Long Châu.
Hồng Nhung
14/05/2025
Mặc định
Lớn hơn
Torus hay lồi xương hàm là tình trạng khối xương bất thường phát triển ở hàm dưới hoặc hàm trên trong vòm miệng, gây nhiều bất tiện cho người bệnh. Trong bài viết hôm nay, Nhà thuốc Long Châu sẽ cùng bạn khám phá Torus là gì và một số thông tin liên quan đến Torus.
Torus (lồi xương hàm) không phải hiện tượng hiếm gặp và liên quan đến nhiều yếu tố như di truyền, thói quen sống,… Để hiểu rõ hơn thế nào là lồi xương hàm dưới (Torus), bạn hãy tham khảo ngay những thông tin dưới đây từ Nhà thuốc Long Châu.
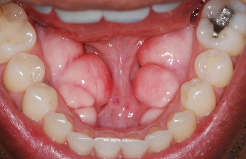
Torus hàm dưới (lồi xương hàm dưới) quan sát bằng mắt thường sẽ thấy như những khối u có bề mặt hơn tròn và nhẵn xuất hiện trong vòm miệng. Những cấu trúc này có rất nhiều hình dạng khác nhau, kích thước cũng có sự khác biệt, có thể nhỏ hoặc lớn tùy tình trạng bệnh.
Sự xuất hiện của các Torus hàm dưới khiến người bệnh không khỏi lo lắng, không biết lồi xương hàm dưới có sao không, có nguy hiểm không,…, đặc biệt là khi thấy những khối u này phát triển lớn hơn theo thời gian. Tuy nhiên, may mắn thay các khối u Torus hàm dưới hoàn toàn lành tính, không gây hại đối với sức khỏe. Không ít các trường hợp tồn tại khối u Torus cả cuộc đời nhưng không bị ảnh hưởng gì nghiêm trọng.

Một số dấu hiệu thường gặp giúp bạn nhận biết mình có bị Torus hàm dưới hay không gồm có:
Một số triệu chứng khác cho thấy sự phát triển của một cấu trúc bất thường, khả năng thấp là lồi xương hàm dưới gồm:

Torus hàm dưới (lồi xương hàm dưới) là tình trạng phổ biến, nhiều người mắc phải và theo khảo sát, hiện tượng này ảnh hưởng đến khoảng 20 – 30% dân số, chủ yếu là nữ giới và người gốc châu Á. Tuy nhiên, các bác sĩ chưa tìm thấy nguyên nhân gây tình trạng Torus hàm dưới cụ thể cũng như lý do vì sao Torus hàm dưới phổ biến ở một nhóm đối tượng này hơn so với đối tượng khác.
Tuy nhiên, các nhà khoa học đã khoanh vùng được một số yếu tố tăng nguy cơ Torus hàm dưới, bao gồm:
Thay vì lo lắng không biết Torus hàm dưới có nguy hiểm không, ảnh hưởng đến sức khỏe như thế nào,… bạn cần hiểu rằng cấu trúc này vô hại, khối u lành tính nên thường không gây hại đến sức khỏe răng miệng. Trong thực tế, chứng lồi xương hàm dưới thường không cần tiến hành điều trị trừ khi chúng gây ra những triệu chứng khó chịu, ảnh hưởng đến cuộc sống người bệnh như cản trở lời nói, khả năng nhai nuốt giảm,…

Tuy vậy, một số người có thể được bác sĩ chỉ định phẫu thuật lồi xương hàm dưới trước khi chế tạo răng giả để đảm bảo hiệu quả. Trong đa phần các trường hợp bị Torus hàm dưới, dù không tiến hành điều trị, tình trạng khối u cũng không gây biến chứng gì nguy hiểm. Tuy nhiên, giống như những phát triển bất thường khác trong cơ thể, những khối u này có thể cản trở hoạt động thường ngày, gây biến chứng như:
Một số trường hợp bệnh nhân ý thức được về việc lồi xương hàm dưới tăng dần về kích thước thường lo lắng liệu Torus hàm dưới có nguy hiểm không. Bạn không nên quá lo lắng, thay vào đó hãy đến gặp bác sĩ để nhận được lời khuyên thiết thực, bổ ích nhất với tình trạng bản thân.

Một khối lồi xương hàm dưới thường là lành tính, không cần điều trị nhưng với số ít trường hợp, bác sĩ sẽ thực hiện phẫu thuật lồi xương hàm dưới. Nhìn chung, khi phát hiện khối u Torus hàm dưới, người bệnh cần đi khám ít nhất 1 lần để chắc rằng tình trạng khối u không liên quan đến bệnh lý khác, lành tính và có cần phẫu thuật hay không. Để đề phòng trường hợp xấu, bạn cũng nên đến gặp bác sĩ khi có những dấu hiệu như:
Trên đây là một số thông tin về Torus hàm dưới (lồi xương hàm dưới) mà Nhà thuốc Long Châu tổng hợp, chia sẻ đến bạn đọc. Khi phát hiện trong vòm miệng có khối u lạ, nghi là lồi xương hàm dưới, bạn cần sắp xếp đến bệnh viện kiểm tra sức khỏe và làm theo hướng dẫn từ bác sĩ.
Xem thêm:
Dược sĩ Đại họcNguyễn Thị Thảo Nguyên
Tốt nghiệp Khoa Dược trường Đại học Nam Cần Thơ. Có nhiều năm kinh nghiệm công tác trong lĩnh vực Dược phẩm. Hiện đang giảng viên cho Dược sĩ tại Nhà thuốc Long Châu.