Dược sĩ Đại học có nhiều năm kinh nghiệm trong việc tư vấn Dược phẩm và hỗ trợ giải đáp thắc mắc về Bệnh học. Hiện đang là giảng viên cho Dược sĩ tại Nhà thuốc Long Châu.
Chí Doanh
04/07/2024
Mặc định
Lớn hơn
U tuyến ống đại tràng được biết đến như một loại polyp đại tràng. Vậy u tuyến ống nghịch sản độ cao ở đại tràng là gì? Nếu xảy ra ở đại tràng thì có triệu chứng gì? Hãy cùng Nhà thuốc Long Châu tìm hiểu liệu đó có phải là khối u ác tính không qua bài viết dưới đây.
U tuyến ống nghịch sản đại tràng là tổn thương tiền thân của ung thư biểu mô tuyến đại tràng, chúng thường biểu hiện dưới dạng polyp đại tràng. Vậy u tuyến ống nghịch sản độ cao có phải là ung thư không? Chúng ta cùng tìm hiểu qua bài viết dưới đây.
Polyp đại tràng là những tổn thương lành tính thường gặp ở đại tràng, chúng là những khối u phát triển trên niêm mạc đại tràng, bao gồm các tổn thương tân sinh và không tân sinh. Sự hình thành polyp ruột chủ yếu do các nguyên nhân sau:
Polyp có kích thước và hình dạng khác nhau, trước khi xác định đặc điểm bệnh lý gọi chung là polyp, sau khi xác định rõ đặc điểm bệnh lý, người ta trực tiếp đặt tên chẩn đoán bệnh lý theo vị trí của chúng như u tuyến ống đại tràng, polyp tăng sản,...

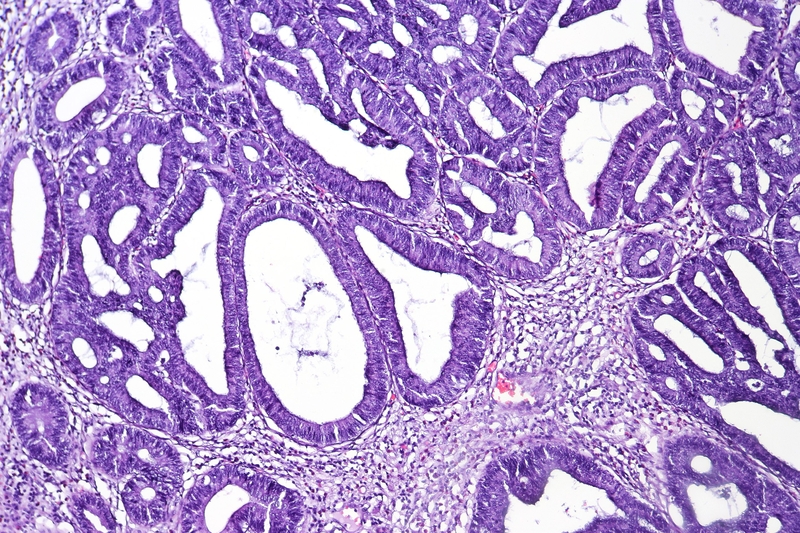
Polyp tuyến hay u tuyến là tổn thương tiền ung thư, có thể được chia thành ba loại, bao gồm u tuyến ống, u tuyến nhung mao và u tuyến ống-nhung mao, trong đó u tuyến ống là phổ biến nhất. U tuyến ống đại tràng là sự tăng trưởng tiền ung thư phát sinh từ các tế bào bao phủ bên trong đại tràng. Nó được coi là sự phát triển tiền ung thư vì theo thời gian nó có thể tiến triển thành ung thư biểu mô tuyến xâm lấn đại tràng.
Tất cả các u tuyến ống đều biểu hiện một mô hình tăng trưởng bất thường, kích thước, hình dạng và sự sắp xếp của các tế bào tăng sinh khác với các tế bào trưởng thành bình thường được gọi là nghịch sản hay loạn sản. Chứng nghịch sản này rất quan trọng vì đây là tình trạng tiền ung thư có thể trở thành ung thư theo thời gian. Khi kiểm tra u tuyến ống, các nhà nghiên cứu bệnh học phân loại chứng nghịch sản thành hai loại là chứng nghịch sản độ thấp và chứng nghịch sản độ cao.
Mức độ tăng sản không điển hình của tế bào biểu mô tuyến có ý nghĩa rất lớn trong việc đánh giá mức độ tổn thương của u tuyến và tiên lượng.

U tuyến ống hiếm khi có triệu chứng và những khối u này thường được phát hiện khi nội soi sàng lọc. Khi đó, triệu chứng thường gặp nhất là thấy máu đỏ tươi hoặc đỏ sẫm không đau khi đại tiện. Các triệu chứng của u tuyến ống nghịch sản độ cao có thể bao gồm:
Như đã nói ở trên, u tuyến ống nghịch sản độ cao là những tổn thương tiền ung thư, không phải là ung thư. Nó là thuật ngữ bệnh lý, không phải là tên bệnh. Không phải tất cả các polyp đều trở thành ung thư. Chỉ 5% u tuyến tiến triển thành ung thư sau 5-10 năm. Tuy nhiên, 85 - 90% ung thư đại tràng được chuyển hóa từ u tuyến đại tràng và khoảng 2/3 số polyp đại tràng là u tuyến.
Xét về độ tuổi khởi phát, polyp tuyến hình thành sớm hơn ung thư đại tràng và phải mất ít nhất 5 năm để phát triển từ ung thư, trung bình từ 5 đến 10 năm. Ngoài ra, tình trạng ung thư của polyp tuyến còn liên quan đến kích thước, hình dạng và loại bệnh lý của chúng. Tỷ lệ ung thư của u tuyến diện rộng cao hơn u tuyến có cuống; u tuyến càng lớn thì khả năng mắc ung thư càng lớn; thành phần nhung mao trong cấu trúc u tuyến càng nhiều thì khả năng mắc ung thư càng cao.
Chứng nghịch sản được coi là mắt xích quan trọng trong chẩn đoán sớm, phòng ngừa và điều trị sớm ung thư dạ dày thể ruột. Sự tiến triển của tổn thương tiền ung thư đại tràng thành ung thư đại tràng đòi hỏi một quá trình tương đối dài, nếu theo dõi tích cực được thực hiện và sự can thiệp có hiệu quả có thể ngăn chặn sự phát triển của chúng.

Tóm lại, u tuyến ống nghịch sản độ cao là những tổn thương lành tính mà khi đó các tế bào biểu mô tuyến tăng trưởng một cách bất thường. Tình trạng này chưa phải là ung thư mà là tiền ung thư, cần mất 5-10 năm thì u tuyến ống nghịch sản phát triển thành ung thư đại tràng. Nếu bạn được chẩn đoán mắc u tuyến ống nghịch sản thì nên thực hiện phẫu thuật cắt bỏ càng sớm càng tốt, tránh nguy cơ phát triển thành ung thư.
Dược sĩ Đại họcNguyễn Mỹ Huyền
Dược sĩ Đại học có nhiều năm kinh nghiệm trong việc tư vấn Dược phẩm và hỗ trợ giải đáp thắc mắc về Bệnh học. Hiện đang là giảng viên cho Dược sĩ tại Nhà thuốc Long Châu.