Tốt nghiệp Đại Học Dược Hà Nội và có nhiều kinh nghiệm trong lĩnh vực Dược phẩm. Nhiều năm công tác giảng dạy tại các trường trung cấp và cao đẳng dược. Hiện đang là giảng viên cho Dược sĩ tại Nhà thuốc Long Châu.
Thị Hằng
01/03/2024
Mặc định
Lớn hơn
Tại Việt Nam, trong số tất cả các ca u vú phát hiện mỗi năm thì có khoảng 20% trường hợp là u xơ tuyến vú. Đây là con số không hề nhỏ và vấn đề đặt ra là u xơ tuyến vú có nên mổ hay chỉ cần áp dụng các phương pháp điều trị bảo tồn?
Thống kê cho thấy có khoảng 9% nữ giới bị u xơ tuyến vú. Điều này chứng tỏ đây là bệnh lý thường gặp, có tính phổ biến cao. Thậm chí nam giới cũng có thể mắc phải vấn đề sức khỏe này dù tỉ lệ cực thấp. Vậy u xơ tuyến vú có nên mổ hay chỉ theo dõi định kỳ?
U xơ tuyến vú là tổ chức lành tính dạng khối đặc hình thành do sự phát triển quá mức của tế bào cơ trơn và mô liên kết của bầu ngực. Chúng thường có giới hạn rõ, mật độ chắc với kích thước trung bình nằm trong khoảng 1 - 3cm.

Bệnh lý này có thể diễn tiến âm thầm hoặc biểu hiện ra bên ngoài thông qua các dấu hiệu đặc trưng sau:

Các triệu chứng trên thường có xu hướng rõ rệt hơn trong những ngày “đèn đỏ” hoặc khi phụ nữ đang ở giai đoạn mang thai, sinh nở.
U xơ tuyến vú có thể xuất hiện ở mọi đối tượng nhưng phổ biến hơn ở những trường hợp dưới đây:
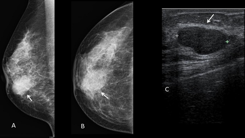
Các triệu chứng của u xơ tuyến vú nhìn chung không có tính chỉ điểm mà tương tự như biểu hiện của các loại u vú khác (bao gồm cả những trường hợp ác tính). Vậy nên ngoài các dấu hiệu lâm sàng, bác sĩ còn sử dụng thêm xét nghiệm hình ảnh để chẩn đoán bệnh, như là:

Ngoài xét nghiệm hình ảnh, một số ca nghi ngờ, chưa thể xác định chính xác là u xơ thì sẽ làm thêm 2 xét nghiệm khác, đó là:
Khi đã chẩn đoán và xác định chính xác bệnh thì u xơ tuyến vú có nên mổ hay chỉ cận theo dõi và thăm khám định kỳ? Lời giải đáp của câu hỏi này còn tùy thuộc vào giai đoạn, tình trạng bệnh và cả yếu tố cơ địa của người bệnh.

Theo đó, với những u xơ có kích thước bé hơn 2cm, không đau, không đi kèm các dấu hiệu bất thường thì chỉ cần theo dõi tại nhà, tái khám sau mỗi 6 tháng để kiểm tra. Trong thời gian này, người bệnh không cần phải dùng thuốc mà chỉ thay đổi lối sống, xây dựng chế độ sinh hoạt, dinh dưỡng lành mạnh, nói không với sản phẩm từ đậu nành, đồ nhiều dầu mỡ, thuốc nội tiết là có thể cải thiện bệnh.
Trong một diễn biến khác, người bệnh cần được can thiệp xâm lấn bằng phẫu thuật nếu xuất hiện những dấu hiệu đáng ngại như:
Qua những phân tích trên, bây giờ thì bạn đã biết u xơ tuyến vú có nên mổ hay không rồi chứ?
Bên cạnh việc can thiệp bằng phẫu thuật bóc tách thì phương pháp đốt bằng sóng cao tần hoặc đốt lạnh cũng được nhiều chuyên gia khuyến cáo. Liệu pháp này sử dụng đầu dò siêu âm để tiếp cận khối u bằng nền nhiệt đặc thù nhằm phá hủy các tế bào khu trú bên trong tổ chức đang xét. Sau khi can thiệp, u sẽ không tiêu biến ngay mà sẽ dần co ngót lại qua thời gian.
Nhìn chung phẫu thuật bóc u xơ tuyến vú được xem là phương pháp nhanh gọn, hiệu quả và đem đến tác dụng triệt để nhất trong điều trị u xơ tuyến vú. Khi tiến hành phương thức can thiệp này thì chuyên gia y tế sẽ tiến hành tuần tự theo các bước sau:
Như vậy việc u xơ có nên mổ hay không và nếu có thì được chỉ định trong trường hợp nào đã được Nhà thuốc Long Châu làm rõ trong bài viết. Hy vọng thông tin vừa chia sẻ sẽ giúp ích được cho bạn và xin chân thành cảm ơn vì đã dành thời gian cho chúng tôi! Trân trọng!
Xem thêm: Phòng ngừa u xơ tuyến vú hiệu quả
Dược sĩ Đại họcTrần Thị Dương
Tốt nghiệp Đại Học Dược Hà Nội và có nhiều kinh nghiệm trong lĩnh vực Dược phẩm. Nhiều năm công tác giảng dạy tại các trường trung cấp và cao đẳng dược. Hiện đang là giảng viên cho Dược sĩ tại Nhà thuốc Long Châu.