• Thực phẩm chức năng

  • Dược mỹ phẩm

  • Thuốc

  • Chăm sóc cá nhân

  • Thiết bị y tế

  • Tiêm chủng

  • Bệnh & Góc sức khỏe

  • Hệ thống nhà thuốc

    1. /
    2. Góc sức khỏe/
    3. Phòng bệnh & Sống khoẻ

    Bã đậu amidan là gì? Nguyên nhân, dấu hiệu và cách điều trị hiệu quả

    Ánh Vũ

    24/02/2025

    Kích thước chữ

    Bã đậu amidan là tình trạng thường gặp ở nhiều người, gây cảm giác khó chịu, hôi miệng và ảnh hưởng đến sức khỏe. Tìm hiểu nguyên nhân, dấu hiệu nhận biết và các phương pháp điều trị hiệu quả qua bài viết sau.

    Bã đậu amidan không chỉ khiến người bệnh cảm thấy khó chịu mà còn ảnh hưởng trực tiếp đến sức khỏe và sinh hoạt hàng ngày. Tình trạng này thường đi kèm với mùi hôi miệng khó chịu, gây mất tự tin trong giao tiếp. Vậy, bã đậu amidan là gì, vì sao nó hình thành và cách điều trị hiệu quả ra sao? Bài viết sau của Nhà thuốc Long Châu sẽ cung cấp cho bạn những thông tin chi tiết nhất về bã đậu amidan.

    Bã đậu amidan là gì?

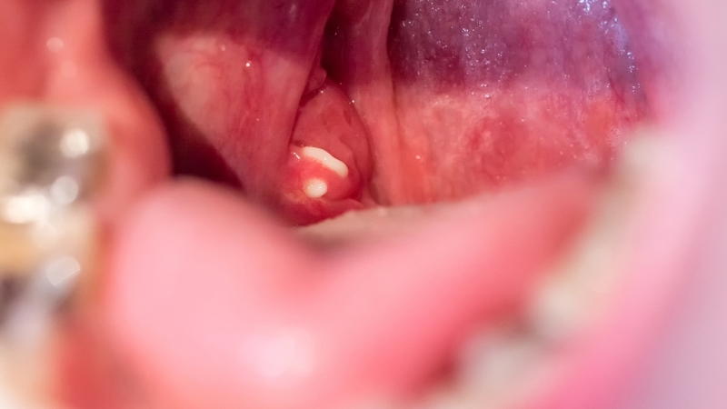
    Bã đậu amidan, hay còn gọi là hạt bã đậu amidan, là những mảnh vụn thức ăn, vi khuẩn, tế bào chết và chất nhầy tích tụ trong các khe hoặc hốc của amidan. Theo thời gian, những chất này kết dính lại với nhau, hình thành các khối nhỏ có màu trắng hoặc vàng nhạt, thường có mùi hôi khó chịu.

    Tình trạng này phổ biến hơn ở những người có amidan lớn hoặc từng bị viêm amidan tái phát. Dù không phải lúc nào cũng nguy hiểm, nhưng bã đậu amidan có thể gây ra nhiều phiền toái như hôi miệng, khó chịu ở cổ họng và ảnh hưởng đến chất lượng cuộc sống hàng ngày.

    Bã đậu amidan là gì? Nguyên nhân, dấu hiệu và cách điều trị hiệu quả 1
    Tìm hiểu bã đậu amidan là gì

    Nguyên nhân gây bã đậu amidan

    Bã đậu amidan hình thành do sự tích tụ của thức ăn, vi khuẩn, tế bào chết và chất nhầy trong các khe hoặc hốc amidan. Tình trạng này xảy ra khi có sự kết hợp của nhiều yếu tố dưới đây:

    • Vệ sinh răng miệng kém: Vệ sinh răng miệng sau ăn không đúng cách khiến mảnh vụn thức ăn còn sót lại trong khoang miệng, dễ dàng bám vào các hốc amidan. Sự phát triển của vi khuẩn trong khoang miệng làm tăng nguy cơ hình thành bã đậu amidan, đặc biệt nếu bạn không súc miệng thường xuyên sau khi ăn.
    • Viêm amidan tái phát hoặc mãn tính: Viêm amidan là nguyên nhân phổ biến dẫn đến sự xuất hiện của bã đậu amidan. Tình trạng viêm khiến các hốc amidan giãn rộng hơn, tạo điều kiện lý tưởng cho vi khuẩn, tế bào chết và chất nhầy tích tụ. Viêm amidan mãn tính hoặc viêm họng kéo dài cũng làm gia tăng nguy cơ hình thành bã đậu.
    • Cấu trúc amidan nhiều hốc sâu: Một số người có cấu trúc amidan với nhiều khe, hốc tự nhiên, khiến bã đậu dễ hình thành hơn so với những người có amidan phẳng. Amidan lớn hoặc phì đại, thường gặp ở trẻ nhỏ, cũng làm tăng khả năng tích tụ các mảnh vụn và vi khuẩn.
    • Hệ miễn dịch suy giảm: Khi sức đề kháng yếu, cơ thể khó chống lại vi khuẩn và virus, dẫn đến viêm nhiễm vùng hầu họng, tạo điều kiện thuận lợi cho bã đậu amidan phát triển.
    • Các yếu tố khác: Chế độ ăn uống không lành mạnh, tiêu thụ nhiều thực phẩm chứa dầu mỡ hoặc đường. Thói quen hút thuốc lá làm tăng sự phát triển của vi khuẩn trong khoang miệng. Không điều trị triệt để các bệnh lý tai - mũi - họng khác như viêm xoang, viêm họng hoặc viêm mũi dị ứng.
    Bã đậu amidan là gì? Nguyên nhân, dấu hiệu và cách điều trị hiệu quả 2
    Vệ sinh răng miệng kém là một trong các nguyên nhân gây ra bã đậu amidan

    Cách nhận biết bã đậu amidan

    Bã đậu amidan có thể được phát hiện thông qua các dấu hiệu đặc trưng ở vùng cổ họng. Dưới đây là những triệu chứng phổ biến giúp bạn nhận biết tình trạng này:

    • Hôi miệng kéo dài: Hôi miệng dai dẳng là dấu hiệu rõ ràng nhất của bã đậu amidan. Nguyên nhân là do vi khuẩn và mảng bã đậu tích tụ, phân hủy trong các hốc amidan, gây ra mùi khó chịu dù bạn đã vệ sinh răng miệng kỹ lưỡng.
    • Cảm giác vướng víu ở cổ họng: Người bệnh thường cảm thấy vướng víu, khó chịu hoặc như có vật gì đó mắc kẹt trong cổ họng. Cảm giác này đặc biệt rõ rệt khi nuốt hoặc nói chuyện.
    • Xuất hiện các mảng trắng hoặc vàng nhỏ: Bã đậu amidan thường xuất hiện dưới dạng các đốm nhỏ màu trắng hoặc vàng nằm trong các khe amidan. Trong một số trường hợp, chúng có thể bị ho bật ra ngoài dưới dạng hạt nhỏ.
    • Ho khan hoặc kích thích cổ họng: Việc có bã đậu trong hốc amidan có thể kích thích cổ họng, dẫn đến ho khan kéo dài hoặc cảm giác ngứa rát họng.
    • Khó nuốt: Khi bã đậu tích tụ nhiều, nó có thể gây cảm giác đau hoặc khó nuốt, đặc biệt khi ăn uống.
    Bã đậu amidan là gì? Nguyên nhân, dấu hiệu và cách điều trị hiệu quả 3
    Bã đậu amidan có thể gây ra tình trạng hôi miệng kéo dài

    Cách điều trị và phòng ngừa bã đậu amidan

    Cách điều trị bã đậu amidan

    Bã đậu amidan tuy không quá nguy hiểm nhưng có thể gây khó chịu và ảnh hưởng đến sinh hoạt hàng ngày. Việc điều trị đúng cách sẽ giúp bạn kiểm soát tốt tình trạng này, tránh những biến chứng không mong muốn:

    • Sử dụng nước muối sinh lý: Súc miệng bằng nước muối sinh lý là cách đơn giản và hiệu quả để loại bỏ vi khuẩn và làm sạch các hốc amidan. Nước muối giúp giảm viêm, làm dịu cổ họng và hỗ trợ đẩy bã đậu ra ngoài.
    • Dùng dụng cụ chuyên dụng: Bác sĩ có thể sử dụng dụng cụ y tế để lấy bã đậu ra khỏi các hốc amidan. Phương pháp này yêu cầu kỹ thuật chuyên nghiệp để tránh gây tổn thương hoặc kích ứng cho amidan.
    • Điều trị bằng thuốc: Trong trường hợp bã đậu kèm theo viêm nhiễm, bác sĩ có thể kê các loại thuốc kháng sinh hoặc thuốc kháng viêm để giảm sưng và tiêu diệt vi khuẩn.
    • Phẫu thuật amidan (nếu cần): Với các trường hợp viêm amidan mãn tính hoặc bã đậu tái phát nghiêm trọng, phẫu thuật cắt amidan có thể được xem xét để loại bỏ tận gốc nguyên nhân.

    Cách phòng ngừa bã đậu amidan

    Để ngăn ngừa bã đậu amidan hiệu quả, việc duy trì thói quen vệ sinh răng miệng và chăm sóc sức khỏe vùng hầu họng là rất quan trọng. Dưới đây là những biện pháp phòng ngừa đơn giản nhưng hiệu quả mà bạn có thể áp dụng:

    • Duy trì vệ sinh răng miệng tốt: Chải răng ít nhất 2 lần mỗi ngày và súc miệng sau khi ăn để loại bỏ mảng bám, thức ăn thừa và vi khuẩn trong khoang miệng.
    • Điều trị triệt để các bệnh lý hô hấp: Hãy điều trị sớm các bệnh viêm họng, viêm xoang hoặc viêm amidan để giảm nguy cơ hình thành bã đậu.
    • Tăng cường sức đề kháng: Ăn uống đầy đủ dinh dưỡng, bổ sung vitamin và khoáng chất để nâng cao sức khỏe tổng thể và tăng khả năng chống lại vi khuẩn.
    • Uống đủ nước: Uống nhiều nước giúp giữ ẩm vùng cổ họng, giảm sự tích tụ chất nhầy trong các hốc amidan.
    • Tránh các tác nhân kích thích: Hạn chế hút thuốc, sử dụng rượu bia hoặc ăn uống các thực phẩm có hại cho cổ họng như đồ cay, nóng hoặc nhiều dầu mỡ.
    Bã đậu amidan là gì? Nguyên nhân, dấu hiệu và cách điều trị hiệu quả 4
    Hạn chế sử dụng thuốc lá và rượu bia để ngăn ngừa bã đậu amidan

    Bã đậu amidan là một vấn đề phổ biến nhưng có thể xử lý hiệu quả nếu được phát hiện sớm và điều trị đúng cách. Hãy chú trọng giữ gìn vệ sinh răng miệng và điều trị triệt để các bệnh lý liên quan để ngăn ngừa tình trạng này tái phát. Nếu có dấu hiệu bất thường, bạn nên tìm đến bác sĩ chuyên khoa để được tư vấn và hỗ trợ kịp thời.

    Xem thêm:

    Có thể bạn quan tâm

    Thông tin và sản phẩm gợi ý trong bài viết chỉ mang tính chất tham khảo, vui lòng liên hệ với Bác sĩ, Dược sĩ hoặc chuyên viên y tế để được tư vấn cụ thể. Xem thêm

    Dược sĩ Đại học Nguyễn Tuấn Trịnh

    Đã kiểm duyệt nội dung

    Từng làm ở Viện ISDS, nhiều năm cộng tác với CDC Thái Nguyên triển khai dự án phòng chống HIV/AIDS, 2 năm cộng tác với WHO.

    Xem thêm thông tin