Tốt nghiệp đại học Khoa Dược. Có kinh nghiệm hơn 10 năm trong lĩnh vực Dược phẩm, tư vấn thuốc và thực phẩm chức năng. Hiện đang là giảng viên cho Dược sĩ tại Nhà thuốc Long Châu.
Ngọc Minh
16/08/2024
Mặc định
Lớn hơn
Viêm amidan là chứng bệnh phổ biến thường gặp trong cuộc sống. Người mắc phải bệnh lý này sẽ cảm thấy vô cùng khó chịu, ảnh hưởng đến sức khỏe và gặp nhiều bất tiện trong đời sống hàng ngày. Vậy bị viêm amidan nên làm gì để giảm đau và sớm phục hồi?
Viêm amidan nên làm gì là vấn đề được nhiều người quan tâm tìm hiểu. Khi vi khuẩn tấn công mạnh vào vùng mũi họng, amidan phải hoạt động quá mức, dẫn đến tình trạng viêm, đỏ và sưng. Nếu viêm amidan tái diễn nhiều lần, hàng rào bảo vệ của họng sẽ bị suy yếu, giảm khả năng chống lại vi khuẩn. Lúc này, amidan có thể trở thành ổ viêm, gây ra nhiều đợt viêm họng tái phát.
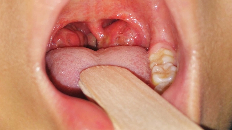
Muốn biết khi bị viêm amidan nên làm gì để giảm đau và sớm phục hồi, bạn cần hiểu một số thông tin về chứng bệnh này. Nằm phía sau hầu họng, amidan là khối mô mềm có nhiệm vụ ngăn ngừa và bảo vệ họng khỏi vi khuẩn và virus. Tuy nhiên, khi số lượng vi khuẩn quá lớn, amidan không đủ khả năng bảo vệ và bị nhiễm trùng, gây ra hiện tượng viêm amidan.
Viêm amidan xảy ra khi khu vực này bị sưng do vi khuẩn và virus tấn công trực tiếp. Ngoài ra, một số nguyên nhân gián tiếp như: Đột ngột thay đổi thời tiết, cơ thể không được giữ ấm hoặc cơ thể suy nhược lâu ngày cũng có thể gây viêm amidan.

Viêm amidan có thể xảy ra ở mọi lứa tuổi, nhưng phổ biến nhất là ở trẻ em, đặc biệt là trẻ trong độ tuổi mẫu giáo đến thiếu niên. Viêm amidan được chia thành:
Viêm amidan là chứng bệnh dễ nhận biết với các triệu chứng thường gặp như:
Viêm amidan nên làm gì để giảm đau và sớm phục hồi? Dưới đây là gợi ý mà bạn có thể thực hiện tại nhà:
Tránh uống đồ lạnh vì nó có thể làm tình trạng sưng amidan tồi tệ hơn. Thay vào đó, hãy uống nước ấm để giúp làm dịu amidan bị viêm. Đảm bảo cung cấp đủ 2-2,5 lít nước mỗi ngày để loại bỏ vi khuẩn trú ngụ tại vùng hầu họng và các hốc amidan, đồng thời tăng cường đề kháng cho cơ thể.

Súc miệng bằng nước muối không chỉ làm sạch khoang miệng và họng mà còn giúp giảm viêm và đau hiệu quả. Nước muối chứa các thành phần sát khuẩn, khử trùng, giúp loại bỏ vi khuẩn bám trên amidan và trong khoang họng. Nên súc miệng bằng nước muối loãng hai lần mỗi ngày, vào buổi sáng và buổi tối. Cách thực hiện:
Tránh xa các tác nhân gây hại là một trong những câu trả lời cho vấn đề viêm amidan nên làm gì. Để giảm triệu chứng và ngăn ngừa viêm amidan nặng hơn, nên tránh các tác nhân gây hại từ thói quen ăn uống và sinh hoạt hàng ngày: Cụ thể như:

Viêm amidan nên ăn gì và kiêng gì để mau khỏi bệnh? Tăng cường sức đề kháng là cách bảo vệ cơ thể hiệu quả nhất để chống lại các vi khuẩn, virus gây viêm amidan. Xây dựng chế độ dinh dưỡng hợp lý với nhiều rau xanh, hoa quả giàu vitamin giúp củng cố hệ miễn dịch như:
Người bị viêm amidan nên tránh ăn thức ăn cứng hoặc sắc nhọn để không gây thêm kích ứng và đau đớn cho cổ họng. Thức ăn mềm dễ nuốt như: Nước canh, súp, cháo hoặc sinh tố sẽ giúp làm dịu các triệu chứng. Thực phẩm cứng cần tránh bao gồm: Bánh quy giòn, khoai tây chiên, ngũ cốc khô, thực phẩm nướng, rau củ quả hoặc trái cây sống.
Nếu cảm thấy amidan đau nhiều, bạn có thể sử dụng thuốc giảm đau không kê đơn như: Paracetamol, Aspirin, Ibuprofen để giảm đau và hạ sốt. Lưu ý không sử dụng Aspirin cho trẻ em vì có thể gây hội chứng Reye, một tình trạng nguy hiểm đến tính mạng.

Mục tiêu chính của việc điều trị viêm amidan cấp tính là giảm triệu chứng và ngăn ngừa biến chứng. Các loại thuốc thường được sử dụng bao gồm:
Kháng sinh có thể giúp hồi phục nhanh hơn, giảm nguy cơ lây nhiễm và ngăn ngừa biến chứng. Tuy nhiên, việc lạm dụng những loại thuốc này có thể dẫn đến tình trạng kháng kháng sinh. Do đó, không nên tự ý dùng kháng sinh mà cần tuân theo chỉ định của bác sĩ. Người bệnh cần tuân thủ đúng phác đồ điều trị và tái khám đúng hẹn để đạt kết quả điều trị tốt nhất.
Viêm amidan mạn tính có thể điều trị bằng thuốc giảm đau, thuốc kháng sinh và súc họng. Tuy nhiên, nếu tình trạng kéo dài và không đáp ứng với điều trị thông thường, phẫu thuật cắt amidan có thể được xem xét. Phẫu thuật này thường bao gồm việc bóc tách khoang quanh amidan nằm giữa bao amidan và thành cơ siết họng.

Với các kỹ thuật tiên tiến hiện nay, việc phẫu thuật cắt amidan mang lại nhiều lợi ích cho người bệnh như: Giảm đau, giảm chảy máu và phục hồi nhanh. Các bác sĩ sẽ lựa chọn phương pháp phẫu thuật thích hợp dựa trên tình trạng cụ thể của bệnh nhân. Các phương pháp này đều nhằm mục đích tối ưu hóa hiệu quả phẫu thuật và giảm thiểu đau đớn cũng như thời gian phục hồi cho người bệnh.
Bên cạnh thắc mắc viêm amidan nên làm gì, cách phòng ngừa bệnh lý này cũng là vấn đề rất được quan tâm. Hiện tại, không có vắc xin đặc hiệu để phòng ngừa viêm họng hay viêm amidan cấp. Tuy nhiên, bạn có thể thực hiện các biện pháp sau để hạn chế nguy cơ mắc viêm amidan:
Những chia sẻ trên đây hy vọng đã giúp bạn biết được này sẽ giúp bạn biết được viêm amidan nên làm gì để giảm đau và sớm phục hồi. Để điều trị hiệu quả, bệnh nhân viêm amidan cần tuân thủ chỉ định của bác sĩ. Hãy xây dựng chế độ dinh dưỡng hợp lý, thường xuyên luyện tập thể dục thể thao và định kỳ kiểm tra sức khỏe, đặc biệt là khám tai mũi họng, để bảo vệ sức khỏe tốt nhất.
Xem thêm:
Dược sĩ Đại họcNguyễn Thị Hồng Nhung
Tốt nghiệp đại học Khoa Dược. Có kinh nghiệm hơn 10 năm trong lĩnh vực Dược phẩm, tư vấn thuốc và thực phẩm chức năng. Hiện đang là giảng viên cho Dược sĩ tại Nhà thuốc Long Châu.