• Thực phẩm chức năng

  • Dược mỹ phẩm

  • Thuốc

  • Chăm sóc cá nhân

  • Thiết bị y tế

  • Tiêm chủng

  • Bệnh & Góc sức khỏe

  • Hệ thống nhà thuốc

    1. /
    2. Góc sức khỏe/
    3. Phòng bệnh & Sống khoẻ

    Chăm sóc hậu môn nhân tạo đúng cách, bạn đã biết chưa?

    25/07/2024

    Kích thước chữ

    Tùy theo tình trạng bệnh lý mà bệnh nhân được bác sĩ chỉ định đặt túi hậu môn nhân tạo vĩnh viễn hay tạm thời. Trong quá trình sử dụng, bệnh nhân lẫn người nhà cần cần biết cách chăm sóc hậu môn nhân tạo để tránh nguy cơ nhiễm trùng hoặc biến chứng sau thủ thuật. Bài viết sau đây sẽ giúp bạn chăm sóc hậu môn đúng cách nhé.

    Bất kỳ ai mang hậu môn nhân tạo cũng đều có tâm lý lo lắng, e ngại giao tiếp, sợ bị mọi người xa lánh vì hậu môn nhân tạo gây bất tiện trong sinh hoạt, dễ có mùi khó chịu, thậm chí chăm sóc hậu môn nhân tạo không đúng cách còn có thể bị nhiễm khuẩn.

    Hậu môn nhân tạo là gì?

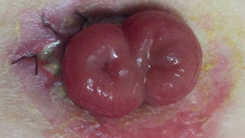
    Hậu môn nhân tạo là lỗ mở ở ruột non/ruột già trên thành bụng để đưa toàn bộ phân ra ngoài thay thế hậu môn thật vào một túi gắn ở thành bụng.

    Tùy tình trạng bệnh lý ở bệnh nhân mà hậu môn nhân tạo được mở tạm thời hay vĩnh viễn sau khi người bệnh thực hiện phẫu thuật cắt khối u hậu môn.

    Chăm sóc hậu môn nhân tạo đúng cách, bạn đã biết chưa? 1 Hậu môn nhân tạo thay thế hậu môn thật vào một túi gắn ở thành bụng.

    Một số chỉ định đặt hậu môn nhân tạo như sau:

    Người bệnh thuộc những nhóm bệnh trên được chỉ định mở hậu môn nhân tạo nhằm mục đích:

    • Vô hiệu hóa đại tràng khi thực hiện nối và xử lý những tổn thương ở ruột kết và bàng quang;
    • Hạn chế tình trạng tắc nghẽn, có thể do khối u trong bệnh lý ung thư đại tràng.

    Để thực hiện mở hậu môn nhân tạo đòi hỏi kỹ thuật phức tạp và bác sĩ chuyên khoa phải có nhiều kinh nghiệm trong lĩnh vực, đặc biệt là đối tượng trẻ sơ sinh. Quá trình đặt hậu môn nhân tạo cần chính xác, hạn chế tối đa sai sót để không gây ra bất cứ biến chứng như nhiễm trùng vết mổ, tắc ruột, hoại tử ruột, viêm phúc mạc, thủng đại tràng, viêm thanh mạc đại tràng, hẹp hậu môn nhân tạo, thoát vị thành bụng, rò hậu môn nhân tạo, đại tiện không tự chủ…

    6 điều cần lưu ý khi chăm sóc hậu môn nhân tạo

    Để có kế hoạch chăm sóc bệnh nhân đặt hậu môn nhân tạo, bạn cần lưu ý những điểm quan trọng sau đây:

    Chăm sóc hậu môn nhân tạo đúng cách, bạn đã biết chưa? 2 Trong quá trình sử dụng, cần biết cách chăm sóc hậu môn nhân tạo để tránh nguy cơ nhiễm trùng.

    Bảo vệ vùng da xung quanh lỗ thông stoma

    Cần giữ được màu sắc và tính chất da xung quanh lỗ thông đường tiêu (stoma) giống với phần da còn lại trên cơ thể. Những điểm sau cần chú ý:

    • Túi hậu môn nhân tạo và đế dán bảo vệ da phải có kích thước phù hợp. Đế dán quá nhỏ sẽ có nguy cơ làm tổn thương lỗ thông stoma và gây sưng; trong khi đó nếu đế quá rộng sẽ khiến rò rỉ chất thải, gây kích ứng da. Nếu gặp phải bất kỳ trường hợp nào nêu trên, cần tiến hành thay túi đựng/đế dán bảo vệ da vừa vặn hơn.
    • Thường xuyên thay túi đựng phân để phân không bị rò rỉ, gây kích ứng da. Tốt nhất nên thay theo lịch thường xuyên trong quá trình chăm sóc hậu môn nhân tạo, không để khi có tình trạng ngứa rát hay rỉ, tràn túi rồi mới thay.
    • Tháo túi hậu môn nhân tạo ra khỏi da một cách cẩn thận, không tháo túi nhiều hơn 1 lần/ngày (trừ trường hợp có vấn đề khẩn cấp). Bên cạnh đó, đế bảo vệ da cũng phải được tháo một cách nhẹ nhàng, không kéo mạnh.
    • Dùng nước sạch/nước muối sinh lý làm sạch vùng da xung quanh lỗ stoma. Trước khi đeo băng/đế bảo vệ da phải lau khô da hoàn toàn.
    • Chú ý sự nhạy cảm và dị ứng ở da có thể xuất hiện sau vài tuần, vài tháng hoặc thậm chí nhiều năm sau khi làm hậu môn nhân tạo. Bạn nên thử sử dụng nhiều loại túi hậu môn nhân tạo khác nhau để có thể chọn ra loại túi phù hợp nhất với tình trạng và làn da.

    Làm rỗng túi hậu môn nhân tạo

    Trước khi xuất viện, nhân viên y tế sẽ hướng dẫn bệnh nhân và người nhà cách thay và làm rỗng túi hậu môn nhân tạo. Trong quá trình chăm sóc hậu môn nhân tạo, tốt nhất nên định kỳ làm rỗng túi.

    Nhiều người không biết bao lâu thay túi hậu môn nhân tạo một lần. Thắc mắc này không có câu trả lời chung về thời gian vì tùy theo loại túi hậu môn nhân tạo bệnh nhân dùng mà sẽ có thời gian sử dụng khác nhau. Có loại cần được làm rỗng hàng ngày, có loại vài ngày, thậm chí một tuần mới cần thay một lần.

    Tốt nhất bạn nên quy định thời điểm nhất định trong ngày để thay túi (có thể là sáng sớm trước khi ăn uống hoặc ít nhất 1 giờ sau ăn). Thường chất thải ngay sau khi phẫu thuật làm hậu môn nhân tạo sẽ loãng và nhiều nước. Bạn có thể chờ đến khi chất thải định hình trở lại, nắm được thời điểm tốt nhất để làm sạch, thay túi.

    Chăm sóc hậu môn nhân tạo đúng cách, bạn đã biết chưa? 3 Trong quá trình chăm sóc hậu môn nhân tạo, tốt nhất nên định kỳ làm rỗng túi.

    Ngoài ra, bạn cần lưu ý thêm:

    • Khi chất thải đầy khoảng 1/3 đến 1/2 túi thì nên làm rỗng để ngăn túi bị phồng, rò rỉ.
    • Nên chọn một phòng hay khu vực chỉ dành riêng để thay và vệ sinh hậu môn nhân tạo.
    • Khi xả chất thải vào bồn cầu, bạn có thể thử xả nước đồng thời với xả chất thải để tránh tình trạng bị văng ra ngoài.
    • Dùng vòi xịt rửa sạch nếu thấy chất thải còn dính bên trong túi.

    Chế độ ăn cho bệnh nhân

    Bệnh nhân sau quá trình phẫu thuật sẽ được tư vấn xây dựng chế độ ăn uống mới cùng một số việc cần làm khi gặp vấn đề liên quan. Tùy mỗi bệnh nhân sẽ có hướng dẫn cụ thể, chi tiết khác nhau nhưng vẫn có một số hướng dẫn chung để giúp giảm thiểu cơn đau trong quá trình đại tràng lành lại:

    • Chia nhỏ các bữa ăn (có thể ăn 6 bữa nhỏ trong ngày).
    • Ăn chậm, nhai kỹ thức ăn trước khi nuốt.
    • Uống 8 - 10 cốc nước mỗi ngày.
    • Trong vài tuần đầu sau khi phẫu thuật, bệnh nhân nên chọn thực phẩm có vị nhạt và ít chất xơ, sau dần dần và lần lượt dùng lại các thực phẩm có nhiều gia vị, chất xơ để đánh giá mức độ ảnh hưởng đến hệ tiêu hóa.
    • Chọn thịt nạc thay vì thịt có mỡ, hạn chế món chiên xào.
    • Không ăn đậu (beans) và ngũ cốc nguyên hạt, nên chọn các loại ngũ cốc tinh chế (bánh mì trắng, mì ống và gạo).
    • Tránh rượu bia, chỉ dùng thức uống đơn giản, không có ga (nước lọc, trà, cà phê đã khử caffein (decaf).

    Trang phục

    Với những người đặt hậu môn giả thường không có yêu cầu đặc biệt về trang phục. Nhiều loại túi hậu môn khá phẳng và không bị lộ dù bệnh nhân mặc quần áo bình thường. Đai thun quần lót không ảnh hưởng đến lỗ stoma hay chức năng ruột.

    Trên thị trường hiện có bán nhiều loại đai quấn bụng và quần lót (dành cho nam lẫn nữ) được thiết kế riêng cho người có hậu môn nhân tạo, vừa bảo vệ vừa giúp người mặc cảm thấy thoải mái.

    Chăm sóc hậu môn nhân tạo đúng cách, bạn đã biết chưa? 4 Bạn có thể tìm mua phụ kiện được thiết kế riêng cho người làm hậu môn nhân tạo.

    Chăm sóc hậu môn nhân tạo khi tắm, vệ sinh cơ thể

    Với người làm hậu môn nhân tạo, bạn chỉ nên sử dụng nước sạch. Nếu bạn tắm với xà phòng, hãy nhớ rửa hết bọt trên vùng da làm hậu môn nhân tạo. Xà phòng có thể khiến lớp đế dán bảo vệ khó bám dính vào da.

    Không nên tháo túi hậu môn khi tắm hay bơi lội để tránh cho nguy cơ thải phân có thể xảy ra. Tuy nhiên, bạn có thể sắp xếp thay túi và tắm cùng lúc vào buổi sáng trước khi ăn uống, sau đó nếu có tắm lại vào những thời điểm khác trong ngày thì không cần tháo túi ra nữa.

    Bạn có thể tìm mua phụ kiện được thiết kế riêng cho người làm hậu môn nhân tạo, đảm bảo nhiệm vụ che chắn, bảo vệ phần túi và có khả năng chống thấm nước rất tốt.

    Tẩy lông vùng bụng để dễ chăm sóc hậu môn nhân tạo

    Đây là điều cần lưu ý đối với người có lông bụng rậm, bởi lông sẽ hạn chế độ bám dính của đế dán bảo vệ da cũng như gây đau khi tháo ra.

    Hãy dùng bột hút ẩm – chống loét dành riêng cho người làm hậu môn nhân tạo để cạo thay vì kem cạo lông (vốn chứa thành phần dưỡng ẩm và dầu). Sau khi cạo, luôn rửa sạch và lau khô da trước khi gắn lại đế bảo vệ và túi hậu môn.

    Nắm kỹ những lưu ý khi chăm sóc hậu môn nhân tạo sẽ giúp cho việc chăm sóc hậu môn nhân tạo được dễ dàng hơn nhiều. Khi vệ sinh được giữ sạch sẽ, người bệnh cũng sẽ cảm giác dễ chịu và tự tin hơn khi giao tiếp với xung quanh.

    Nam Anh

    Nguồn tham khảo: Tổng hợp

    Thông tin và sản phẩm gợi ý trong bài viết chỉ mang tính chất tham khảo, vui lòng liên hệ với Bác sĩ, Dược sĩ hoặc chuyên viên y tế để được tư vấn cụ thể. Xem thêm

    Dược sĩ Đại họcNguyễn Mỹ Huyền

    Đã kiểm duyệt nội dung

    Dược sĩ Đại học có nhiều năm kinh nghiệm trong việc tư vấn Dược phẩm và hỗ trợ giải đáp thắc mắc về Bệnh học. Hiện đang là giảng viên cho Dược sĩ tại Nhà thuốc Long Châu.

    Xem thêm thông tin