• Thực phẩm chức năng

  • Dược mỹ phẩm

  • Thuốc

  • Chăm sóc cá nhân

  • Thiết bị y tế

  • Tiêm chủng

  • Bệnh & Góc sức khỏe

  • Hệ thống nhà thuốc

    1. /
    2. Góc sức khỏe/
    3. Phòng bệnh & Sống khoẻ

    Có mấy loại hậu môn nhân tạo? Túi hậu môn nhân tạo loại nào tốt?

    25/07/2024

    Kích thước chữ

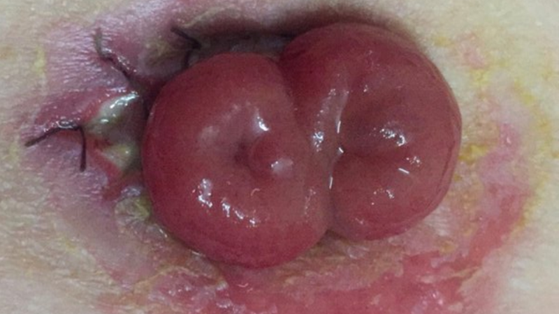
    Có rất nhiều nguyên nhân dẫn đến việc phải làm hậu môn nhân tạo nhằm đưa phân và khí thoát ra khỏi cơ thể mà không đi qua trực tràng. Vậy có bao nhiêu loại túi hậu môn nhân tạo và túi hậu môn nhân tạo loại nào tốt? Bài viết sau đây sẽ giúp bạn giải đáp những thắc mắc này.

    Trong thời gian chờ sự hồi phục của đại tràng, bác sĩ sẽ chỉ định cho bệnh nhân mở hậu môn nhân tạo trên cơ thể (vĩnh viễn hoặc tạm thời). Việc mở hậu môn nhân tạo nhằm mục đích tạo ra con đường đưa chất thải từ đại tràng ra ngoài thành bụng và thoát khỏi cơ thể mà không cần đi qua trực tràng.

    Khi nào bệnh nhân phải mở hậu môn nhân tạo?

    Trong các trường hợp sau, bác sĩ sẽ chỉ định mở hậu môn nhân tạo cho bệnh nhân:

    Bệnh nhân ung thư đại tràng/trực tràng ở các giai đoạn tiến triển và/hoặc có biến chứng.

    Ngoài ra, có một số trường hợp khác bác sĩ sẽ mở hậu môn nhân tạo cho bệnh nhân khi:

    • Tắc ruột, hoại tử ruột do các nguyên nhân;
    • Trực tràng có khối u phần thấp;
    • Vỡ đại tràng gây nhiễm trùng ổ bụng nặng.
    Có mấy loại hậu môn nhân tạo? Túi hậu môn nhân tạo loại nào tốt? 1 Có rất nhiều nguyên nhân dẫn đến việc phải làm hậu môn nhân tạo.

    Có mấy loại hậu môn nhân tạo?

    Để mở hậu môn nhân tạo, vị trí đặt phải thỏa các yêu cầu sau đây:

    • Phần thành bụng phẳng cho phép gắn túi chứa phân được dễ dàng;
    • Nằm trên thắt lưng;
    • Vị trí đặt phải là nơi người bệnh dễ quan sát và tự chăm sóc.

    Các kiểu hậu môn nhân tạo sẽ được đặt tên dựa trên vị trí giải phẫu của đại tràng như sau:

    Hậu môn nhân tạo đại tràng sigma

    Đây là loại hậu môn nhân tạo phổ biến nhất hiện nay, vị trí đặt sẽ nằm gần cuối của đại tràng, ngay trước trực tràng. Khi làm kiểu hậu môn nhân tạo này, phân đi ra sẽ cứng hơn cũng như phù hợp sinh lý tương tự phân bình thường.

    Hậu môn nhân tạo đại tràng ngang

    Do đại tràng ngang hấp thu nước ít hơn đoạn thấp của đại tràng nên phân sẽ mềm hơn. Ở đại tràng ngang, thường gặp là ba kiểu mở hậu môn nhân tạo gồm:

    • Hậu môn nhân tạo kiểu quai: Quá trình mở hậu môn nhân tạo này diễn ra nhanh hơn, có tính chất tạm thời và đi kèm nguy cơ thoát vị cạnh hậu môn nhân tạo.
    • Hậu môn nhân tạo kiểu đầu tận: Kiểu hậu môn nhân tạo này có tính chất vĩnh viễn. Sau khi phẫu thuật cắt đại tràng (cả trực tràng và phần đại tràng dưới vị trí mở hậu môn nhân), bác sĩ sẽ thực hiện làm hậu môn nhân tạo.
    • Hậu môn nhân tạo kiểu nòng súng: So với kiểu đầu tận, kiểu nòng súng thực hiện nhanh hơn và cũng mang tính chất tạm thời như kiểu quai.
    Có mấy loại hậu môn nhân tạo? Túi hậu môn nhân tạo loại nào tốt? 2 Có bao nhiêu loại túi hậu môn nhân tạo và túi hậu môn nhân tạo loại nào tốt?

    Hậu môn nhân tạo đại tràng xuống

    Kiểu hậu môn nhân tạo này sẽ mở tại vị trí bên trái của ổ bụng. Bệnh nhân ung thư trực tràng thường sẽ được làm kiểu hậu môn nhân tạo này và phân thoát ra sẽ rắn do đã đi qua gần hết toàn bộ khung đại tràng.

    Hậu môn nhân tạo đại tràng lên

    Hậu môn nhân tạo vị trí này thường chất thải vẫn còn tỉ lệ nước cao, phân lỏng, gây nhiều khó khăn trong chăm sóc. Do vậy mà kiểu mở kiểu hậu môn nhân tạo này ít được thực hiện. Đổi lại, bác sĩ thực hiện kiểu mở hồi tràng ra ngoài thành bụng sẽ thích hợp hơn, kèm theo túi nhỏ đựng chất thải bài tiết ra ngoài.

    Chọn túi hậu môn kín hay túi có lỗ xả thải?

    Đây là vấn đề nhiều người sử dụng rất quan tâm để chọn cho mình loại hậu môn nhân tạo phù hợp. Trên thực tế, loại túi hậu môn nhân tạo nào cũng đều có những ưu điểm và hạn chế riêng, vấn đề là tùy từng đối tượng khác nhau mà chọn loại thích hợp nhất cho mình.

    Túi hậu môn kín

    Đây là dạng túi không có kẹp, bốn phía được dán kín. Khi lượng chất thải đã chiếm 1/3 đến 1/2 thể tích túi thì sẽ thay túi mới. Ưu điểm của loại túi này là đơn giản và tiện lợi vì bệnh nhân không phải ngồi trên toilet và xả chất thải. Thay vào đó, người sử dụng chỉ cần tháo túi, gói lại bỏ vào sọt rác và dán túi mới lên hậu môn nhân tạo.

    Bên cạnh đó, khi dùng túi kín sẽ cho phép người sử dụng dễ dàng ra ngoài và tham gia vào nhiều hoạt động hơn.

    Việc thay túi mới khi túi cũ đầy cũng dễ dàng, chỉ cần mang theo túi zip nhỏ để chứa túi đã sử dụng rồi bỏ vào sọt rác. Hơn nữa, túi kín sẽ hạn chế nguy cơ rò rỉ chất thải ra toilet khi xả túi do túi không có lỗ thoát. Thời gian thay túi hậu môn nhân tạo dạng kín mới thường được thực hiện sau 1 - 2 ngày.

    Có mấy loại hậu môn nhân tạo? Túi hậu môn nhân tạo loại nào tốt? 3 Có nhiều loại túi hậu môn nhân tạo, mỗi loại đều có những ưu điểm và hạn chế riêng.

    Túi hậu môn có lỗ thoát

    Dạng túi này cho phép bệnh nhân xả dịch thải trong túi khi túi đầy và tiếp tục sử dụng lại mà không cần thay túi mới mỗi ngày.

    Ưu điểm của túi hậu môn có lỗ thoát là độ bám dính cao. Tần suất thay túi thường khoảng bốn ngày nên cũng hạn chế được nguy cơ tổn thương da có thể xảy ra do thay túi liên tục.

    Như vậy, chọn dùng túi hậu môn nhân tạo kín hay có lỗ thoát hoàn toàn phụ thuộc vào ý muốn, nhu cầu của bệnh nhân. Tùy thời điểm, mục đích mà bạn chọn loại túi phù hợp nhất, giúp bạn cảm giác được sự thoải mái trong sinh hoạt. Riêng với bệnh nhân có lỗ mở hồi tràng, lượng chất thải thoát ra nhiều thì nên sử dụng túi hậu môn nhân tạo có lỗ thoát.

    Túi hậu môn nhân tạo loại nào tốt?

    Trên thị trường hiện nay có nhiều sản phẩm túi hậu môn nhân tạo để người sử dụng có thể lựa chọn. Để trả lời cho câu hỏi "Túi hậu môn nhân tạo loại nào tốt?" thì câu trả lời là phải đáp ứng được sự thoải mái trong khi sử dụng và quan trọng nhất là nó phải phù hợp nhất với điều kiện và tình trạng bệnh của bạn.

    Dưới đây là một số sản phẩm túi hậu môn nhân tạo bạn có thể tham khảo:

    Túi hậu môn nhân tạo Proxima Drainable B.braun

    Túi hậu môn nhân tạo BBraun Proxima Drainable được sản xuất trên dây chuyền hiện đại của Pháp, thiết kế có van xả, màu trong, dùng đựng chất thải dùng trong điều trị ung thư trực tràng, ung thư đại tràng hoặc do chấn thương ở bụng.

    Có mấy loại hậu môn nhân tạo? Túi hậu môn nhân tạo loại nào tốt? 4 Túi hậu môn nhân tạo Proxima Drainable B.braun

    Cách dùng

    Cắt miệng túi theo kích thước lỗ mổ trên da, bóc lớp giấy bảo vệ keo dính, áp mặt có keo vào sao cho lỗ mổ nằm ngay miệng túi hậu môn vừa cắt.

    Dùng que trong hộp, cuộn phần đuôi túi lên rồi gập 2 đầu của que cho chặt.

    Đối tượng sử dụng

    Túi hậu môn BBraun Proxima Drainable dùng cho các trường hợp sau:

    • Bệnh nhân bị ung thư đại tràng trong giai đoạn trễ không còn khả năng cắt bỏ;
    • Viêm loét nặng đại trực tràng chảy máu nhiều;
    • Rò trực tràng - âm đạo hay trực tràng - bàng quang;
    • Vết thương trực tràng ngoài phúc mạc;
    • Vết thương ở đoạn đại tràng cố định;
    • Dị dạng hậu môn trực tràng;
    • Tắc ruột do ung thư đại trực tràng;
    • Trít hẹp đại tràng;
    • Làm sạch đại tràng (cho trường hợp bệnh lý như trít hẹp hậu môn, hay phình to đại tràng tiên thiên… chế độ ăn không có bã, tẩy ruột, thụt tháo đại tràng không đủ để làm sạch ruột)...

    Túi hậu môn Softomy nhân tạo

    Túi hậu môn nhân tạo Softomy nhỏ gọn, có thể mang theo bên mình, đảm bảo cho việc bài tiết được thuận lợi mà không ảnh hưởng đến vệ sinh, giúp người bệnh có thể tự tin hơn trong việc hòa nhập vào cuộc sống giao tiếp thông thường.

    Có mấy loại hậu môn nhân tạo? Túi hậu môn nhân tạo loại nào tốt? 5 Túi hậu môn nhân tạo Softomy

    Cách dùng

    Ở mỗi chiếc túi hậu môn đều có phần tiếp xúc với cơ thể để thực hiện hỗ trợ bài tiết. Khi sử dụng, bạn chỉ cần xé bỏ phần lỗ hình tròn ở đầu của túi.

    Xé bỏ phần decal ở trên túi hậu môn, sau đó thực hiện dán lên hậu môn nhân tạo sao cho vừa khít với lỗ tròn trên túi.

    Túi hậu môn nhân tạo Kiwi

    Sản phẩm đạt tiêu chuẩn ISO:13485:2016, đảm bảo an toàn cho người dùng. Bệnh nhân có thể sử dụng túi này dùng để chứa chất thải ngay sau khi phẫu thuật.

    Túi hậu môn nhân tạo Kiwi được làm từ vật liệu an toàn không gây kích ứng ứng cho phần da. Bệnh nhân bắt buộc thay túi mới sau 3 - 5 ngày sử dụng.

    Túi hậu môn nhân tạo (túi chứa phân) hai mảnh dùng kẹp Hollister

    Sản phẩm phù hợp với người có làn da nhạy cảm, mỏng manh. Thời gian xả túi từ 2 - 6 ngày tùy theo từng đối tượng sử dụng.

    Túi hậu môn nhân tạo Hollister có xuất xứ từ Mỹ, chất liệu an toàn cho da nên người dùng có thể yên tâm sử dụng.

    Bệnh nhân nên xả túi khi túi chứa đầy hơi và chất thải từ ½ - ⅓ túi. Tránh để túi quá đầy mới xả sẽ ảnh hưởng đến chất lượng dính và độ rò rỉ của đế dán, làm giảm độ bền.

    Ngoài việc chọn lựa túi hậu môn nhân tạo loại nào tốt, bạn cũng nên chú ý đến chăm sóc hậu môn nhân tạo để tránh bị nhiễm khuẩn và giữ vệ sinh thật sạch sẽ. Hi vọng qua các chia sẻ về túi hậu môn nhân tạo loại nào tốt bên trên sẽ giúp bạn chọn được sản phẩm tốt và phù hợp nhất với nhu cầu của mình.

    Phúc Khang

    Nguồn tham khảo: Tổng hợp

    Thông tin và sản phẩm gợi ý trong bài viết chỉ mang tính chất tham khảo, vui lòng liên hệ với Bác sĩ, Dược sĩ hoặc chuyên viên y tế để được tư vấn cụ thể. Xem thêm

    Dược sĩ Đại họcNguyễn Thị Thảo Nguyên

    Đã kiểm duyệt nội dung

    Tốt nghiệp Khoa Dược trường Đại học Nam Cần Thơ. Có nhiều năm kinh nghiệm công tác trong lĩnh vực Dược phẩm. Hiện đang giảng viên cho Dược sĩ tại Nhà thuốc Long Châu.

    Xem thêm thông tin