Tốt nghiệp loại giỏi trường Đại học Y Dược Huế. Từng tham gia nghiên cứu khoa học đề tài về Dược liệu. Nhiều năm kinh nghiệm làm việc trong lĩnh vực Dược phẩm. Hiện đang là giảng viên cho Dược sĩ tại Nhà thuốc Long Châu.
Thị Thúy
02/02/2025
Mặc định
Lớn hơn
Thai nghén thất bại sớm là một tình trạng đáng tiếc mà nhiều cặp đôi phải đối mặt. Vậy nguyên nhân của tình trạng này là gì? Chẩn đoán thai nghén thất bại sớm như thế nào? Hãy cùng tìm hiểu câu trả lời qua bài viết tham khảo dưới đây nhé.
Thai nghén thất bại sớm hay còn gọi là sảy thai, là tình trạng thai kỳ kết thúc tự nhiên trước tuần thứ 20 của thai kỳ. Điều này có nghĩa là phôi thai không thể tiếp tục phát triển và buộc phải rời khỏi tử cung của người mẹ.
Thai nghén thất bại sớm là một biến cố đáng tiếc trong quá trình mang thai gây ra nhiều đau buồn và lo lắng cho các cặp vợ chồng. Nguyên nhân gây ra tình trạng này vô cùng đa dạng và phức tạp, đòi hỏi sự đánh giá toàn diện từ các chuyên gia y tế.

Các yếu tố nguy cơ chính gây sảy thai sớm bao gồm:
Các yếu tố nguy cơ trên thường tác động phức tạp và tương tác với nhau gây khó khăn trong việc xác định nguyên nhân chính xác trong từng trường hợp. Do đó, việc chẩn đoán và điều trị sảy thai đòi hỏi sự phối hợp của nhiều chuyên gia y tế, bao gồm bác sĩ sản phụ khoa, bác sĩ nội tiết, di truyền học...
Để đánh giá nguy cơ và xác định nguyên nhân dẫn đến thai nghén thất bại sớm, các bác sĩ sẽ sử dụng một loạt các phương pháp chẩn đoán. Mục tiêu của việc chẩn đoán là xác định nguyên nhân gốc rễ để đưa ra phương pháp điều trị phù hợp và tăng khả năng mang thai thành công trong tương lai. Các phương pháp chẩn đoán thường được sử dụng:
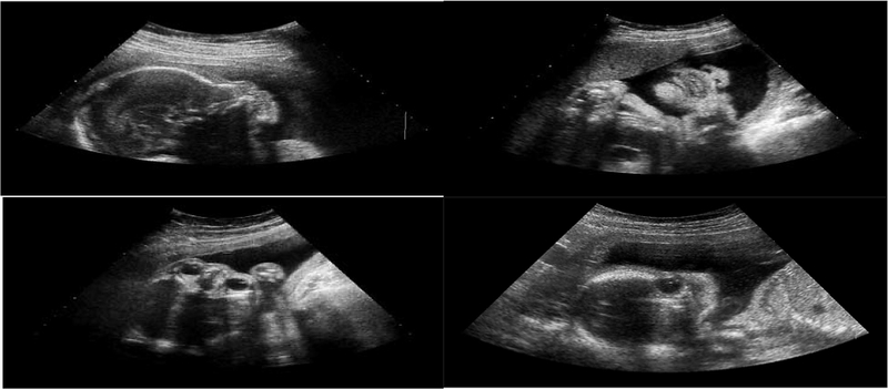
Siêu âm là một công cụ quan trọng giúp theo dõi sức khỏe của mẹ và bé trong suốt thai kỳ. Sau đây là những loại siêu âm được thực hiện để chẩn đoán tình trạng thai nghén thất bại sớm mà bạn có thể tham khảo:

Xét nghiệm là một phần không thể thiếu trong quá trình theo dõi thai kỳ. Qua các chỉ số xét nghiệm bác sĩ có thể đánh giá sức khỏe của mẹ bầu, phát hiện sớm các bất thường và đảm bảo sự phát triển khỏe mạnh của thai nhi. Dưới đây là một số xét nghiệm thường được thực hiện trong thai kỳ:
Phương pháp này được thực hiện bằng cách lấy mẫu mô nội mạc tử cung để kiểm tra các bất thường về cấu trúc hoặc nhiễm trùng, giúp kiểm tra xem nội mạc tử cung có đủ khả năng duy trì thai kỳ hay không. Dựa vào kết quả sinh thiết, bác sĩ sẽ đưa ra phác đồ điều trị phù hợp cho từng trường hợp cụ thể.
Phương pháp này sẽ sử dụng chất cản quang và tia X để đánh giá hình dạng tử cung, vòi trứng và phát hiện các bất thường cấu trúc. Nếu một người phụ nữ đã trải qua nhiều lần sảy thai thì chụp HSG có thể giúp tìm ra nguyên nhân gây ra tình trạng này.

Laparoscopy là thủ thuật nội soi để trực tiếp quan sát tử cung, vòi trứng và các cơ quan sinh sản khác giúp phát hiện các bệnh lý như lạc nội mạc tử cung, u nang buồng trứng, các bất thường về cấu trúc tử cung hoặc vòi trứng có thể dẫn đến sảy thai.
Trên đây là lời giải đáp cho thắc mắc chẩn đoán thai nghén thất bại sớm như thế nào mà bạn có thể tham khảo. Việc chẩn đoán và điều trị sảy thai đòi hỏi sự phối hợp của nhiều chuyên gia y tế. Mỗi trường hợp sẽ có phác đồ điều trị khác nhau, tùy thuộc vào nguyên nhân và tình trạng sức khỏe của người bệnh.
Dược sĩ Đại họcNgô Kim Thúy
Tốt nghiệp loại giỏi trường Đại học Y Dược Huế. Từng tham gia nghiên cứu khoa học đề tài về Dược liệu. Nhiều năm kinh nghiệm làm việc trong lĩnh vực Dược phẩm. Hiện đang là giảng viên cho Dược sĩ tại Nhà thuốc Long Châu.