Trên 10 năm công tác trong lĩnh vực Tiêm chủng, Cấp cứu và Nội khoa.
Thu Thủy
09/12/2024
Mặc định
Lớn hơn
Bệnh bạch hầu có các triệu chứng dễ bị nhầm lẫn với với bệnh viêm họng thông thường. Đây là một bệnh lý nhiễm trùng, nhiễm độc do vi khuẩn Corynebacterium diphtheriae gây ra. Bệnh rất dễ lây truyền từ người này sang người khác thông qua đường hô hấp
Mặc dù bệnh bạch hầu có nguy cơ cao ở nhóm trẻ em dưới 5 tuổi hoặc người già trên 60 tuổi. Nhưng mới đây, Cục Quản lý KCB đã ghi nhận 3 ca tử vong do bệnh bạch hầu ở khu vực các tỉnh như Hà Giang, Điện Biên. Bộ Y tế đã có công văn khẩn gửi về các cơ sở y tế đề nghị tăng cường tập huấn hướng dẫn chẩn đoán sớm, điều trị bạch hầu. Đồng thời, rà soát để phát hiện sớm các ca bệnh, hạn chế tỷ lệ tử vong ở mức thấp nhất và đảm bảo công tác phòng lây nhiễm bệnh trong cơ sở KCB.
Theo các chuyên gia y tế, bạch hầu là bệnh nhiễm khuẩn cấp tính có giả mạc ở tuyến hạnh nhân, thanh quản, hầu họng và mũi. Một số trường hợp bệnh xuất hiện ở da, kết mạc mắt hoặc bộ phận sinh dục. Nhóm đối tượng có nguy cơ mắc bệnh cao là trẻ em dưới 5 tuổi và người già trên 60 tuổi.

Bệnh bạch hầu rất dễ lây lan từ người bệnh sang người lành qua đường hô hấp. Hoặc tiếp xúc gián tiếp với với các đồ chơi, vật dụng có dính dịch bài tiết của người bị nhiễm vi khuẩn bạch hầu. Ngay cả khi người bị nhiễm bạch hầu không xuất hiện bất kỳ triệu chứng nào thì vẫn có khả năng lây bệnh cho người khác trong khoảng 4 tuần. Thời gian ủ bệnh thường từ 2 - 4 ngày hoặc dao động khoảng 1 - 6 ngày kể từ ngày nhiễm bệnh.
Đối với những trường hợp tiến triển nặng, độc tố có thể lây truyền qua máu, gây ảnh hưởng đến sức khỏe tim và thận. Độc tố do vi khuẩn gây ra có thể làm tổn thương tim và khả năng bơm máu, điều này sẽ khiến thận gặp khó khăn trong quá trình loại bỏ chất thải ra khỏi cơ thể. Thậm chí là gây tổn thương đến hệ thần kinh trung ương, dẫn đến tê liệt. Tỷ lệ tử vong của bệnh bạch hầu là khoảng 3% trong tổng số người mắc bệnh.

Bạch hầu là một bệnh bệnh nhiễm khuẩn cấp tính do vi khuẩn Corynebacterium diphtheriae gây ra, có khả năng lây lan dễ dàng và tiến triển nhanh chóng nếu không được kiểm soát. Bệnh chủ yếu tác động đến vùng mũi và họng ở những người sống trong điều kiện vệ sinh kém, thiếu dinh dưỡng và không được tiêm chủng đầy đủ.
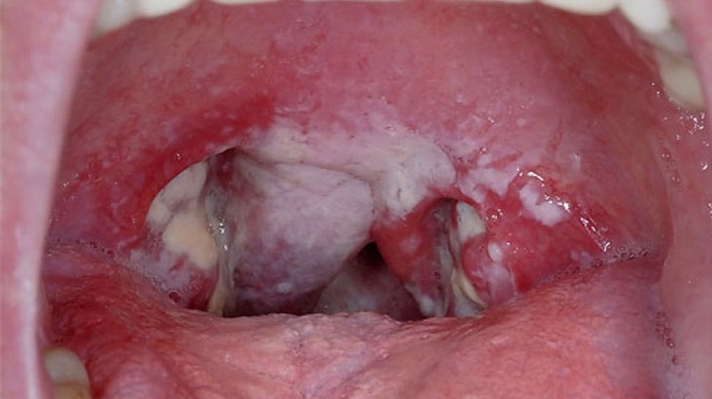
Ở giai đoạn khởi phát, bệnh bạch hầu rất dễ bị nhầm lẫn với bệnh viêm họng nặng, bao gồm sốt nhẹ, sưng hạch ở cổ. Sau đó, trong mũi, cổ họng hoặc đường thở sẽ xuất hiện lớp phủ (hoặc màng) do vi khuẩn gây ra. Lớp phủ này thường sẽ có màu trắng đục, xám hoặc đen mờ, gây khó nuốt và các vấn đề về hô hấp. Đây cũng là điểm khác biệt giữa bệnh bạch hầu với các bệnh nhiễm trùng phổ biến khác như viêm họng do liên cầu khuẩn.

Khi nhiễm trùng tiếp tục, sẽ đi kèm với các triệu chứng như khó thở hoặc khó nuốt, ảnh hưởng đến thị lực, nói ngọng và có biểu hiện sốc như da nhợt nhạt, nhịp tim nhanh, đổ mồ hôi và lo âu.
Nếu không được điều trị, độc tố có thể lan truyền qua máu và gây tổn thương cho các cơ quan quan trọng như tim và thận, đe dọa tính mạng. Điều này làm cho bạch hầu rất nguy hiểm và cần được chẩn đoán và điều trị kịp thời. Theo thống kê, có đến 50% những trường hợp bị bệnh bạch hầu không được điều trị có thể tử vong.
Trước đây khi chưa có thuốc kháng sinh, bệnh bạch hầu rất phổ biến ở trẻ nhỏ. Nhưng hiện nay, bệnh bạch hầu đã có thể điều trị và có vắc xin phòng ngừa bệnh.
Vắc xin bạch hầu thường kết hợp với vắc xin uốn ván và ho gà để tạo thành mũi tiêm vắc xin 3 trong 1. Phiên bản vắc xin mới nhất này có tên gọi là vắc xin DTaP cho trẻ em và Tdap cho thanh thiếu niên và người lớn.

Theo Chương trình tiêm chủng mở rộng, trẻ cần tiêm vắc xin bạch hầu vào các thời điểm cụ thể như:
Phần lớn trẻ em sau khi tiêm vắc xin này đều có khả năng dung nạp tốt. Tuy nhiên, đôi khi có thể gây ra một số tác dụng phụ nhẹ như đỏ da, đau tại chỗ tiêm, sốt nhẹ hoặc trẻ cáu gắt khó chịu. Rất ít trường hợp gặp phản ứng dị ứng nghiêm trọng. Vắc xin bạch hầu - uốn ván chỉ được tiêm cho người lớn có nguy cơ cao trong trường hợp dịch bệnh đang bùng phát, không dùng cho mục đích phổ cập.
Nhận biết sớm các dấu hiệu bệnh bạch hầu và áp dụng các biện pháp phòng ngừa kịp thời là cách tốt nhất để bảo vệ sức khỏe bản thân và gia đình. Tiêm vắc xin phòng bệnh bạch hầu là giải pháp hiệu quả giúp ngăn ngừa bệnh và giảm nguy cơ mắc phải những biến chứng nguy hiểm. Để đảm bảo an toàn và hiệu quả, bạn có thể đến Trung tâm Tiêm chủng Long Châu, nơi cung cấp các loại vắc xin phòng bệnh bạch hầu uy tín, chất lượng. Đội ngũ y bác sĩ giàu kinh nghiệm tại Long Châu sẽ giúp bạn tiêm chủng an toàn, bảo vệ sức khỏe cho cả gia đình. Hãy tiêm vắc xin ngay hôm nay để cùng chung tay ngăn ngừa bệnh bạch hầu!
Trên đây là tổng hợp những thông tin liên quan đến vấn đề dấu hiệu nhận biết sớm bệnh bạch hầu và cách phòng ngừa bệnh. Việc trau dồi kiến thức về bệnh bạch hầu sẽ giúp bạn phát hiện sớm các triệu chứng của bệnh nếu chẳng may mắc phải, đồng thời có biện pháp phòng ngừa tốt hơn.
Xem thêm:
Bác sĩ Chuyên khoa 1Nguyễn Hoàng Hải
Trên 10 năm công tác trong lĩnh vực Tiêm chủng, Cấp cứu và Nội khoa.