Dược sĩ Đại học có nhiều năm kinh nghiệm trong việc tư vấn Dược phẩm và hỗ trợ giải đáp thắc mắc về Bệnh học. Hiện đang là giảng viên cho Dược sĩ tại Nhà thuốc Long Châu.
Ngọc Trang
30/11/2023
Mặc định
Lớn hơn
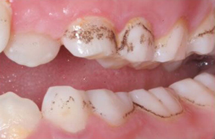
Nếu bạn thấy xuất hiện đốm nâu trên răng thì cũng không cần phải lo lắng quá vì không gây nguy hiểm cho sức khỏe nhưng lại làm mất thẩm mỹ cho răng. Vậy làm sao để loại bỏ chúng và làm gì để ngăn ngừa những đốm này xuất hiện.
Hiện tượng xuất hiện các đốm màu nâu trên răng thường do vệ sinh răng miệng kém, tiêu thụ nhiều loại thực phẩm và đồ uống có màu sẫm, do hút thuốc lá hoặc do tác dụng phụ của một loại thuốc điều trị. Thông thường, các đốm nâu trên răng có thể được loại bỏ và ngăn ngừa dễ dàng và hiếm khi là dấu hiệu cho một bệnh lý nguy hiểm nào.
Các đốm nâu trên răng được hình thành do các yếu tố sau:
Nhiều loại thực phẩm và đồ uống sẫm màu chứa các chất tạo màu có thể nhuộm màu men răng, đặc biệt khi bạn có thói quen vệ sinh răng miệng kém. Lâu ngày, những vết nhiễm màu này dính chặt vĩnh viễn.
Thuốc lá chứa các hạt có thể bám dính vào các lỗ cực nhỏ trong men răng. Khi hút thuốc lá nhiều lần, các hạt tích tụ và có thể làm răng bị ố vàng.
Khi hút thuốc, nhai hoặc ngậm thuốc lá, các vết ố có xu hướng trở nên sẫm màu hơn và khó loại bỏ hơn theo thời gian.

Trong miệng chứa hàng ngàn vi khuẩn liên tục trộn với nước bọt và các mảng thức ăn tạo thành mảng bám là một lớp màng mờ, dính. Để kiểm soát mức độ mảng bám, ta cần đánh răng và dùng chỉ nha khoa. Vệ sinh răng miệng kém dẫn đến mảng bám cứng lại thành một lớp bao phủ cố định được gọi là cao răng hay vôi răng.
Vi khuẩn chứa trong mảng bám và vôi răng tạo ra axit bằng cách chuyển hóa đường trong miệng, làm suy yếu men răng. Mảng bám càng dày, bám dính chắc khiến các axit này dính cố định vào răng trong thời gian dài.
Khi axit làm suy yếu men răng, ta sẽ thấy rõ các lớp vàng nhạt bên dưới lớp men, răng có thể chuyển sang màu nâu vàng. Nếu sâu răng nghiêm trọng, các axit bào mòn tạo thành một lỗ hoặc xoang sâu qua răng, khiến răng sẫm màu.
Những vết nứt và vỡ nhỏ trên răng khiến vi khuẩn xâm nhập và gây sâu răng. Khi vi khuẩn xâm nhập qua các vết nứt sẽ xuất hiện các đốm nâu trên răng, xung quanh bờ miếng trám hay mão răng.
Sâu răng thường gây đau ở xoang sâu lớn, làm lộ chân răng hay dây thần kinh trong tủy, khiến răng nhạy cảm với đồ ăn và thức uống nóng hoặc lạnh.
Ở người già, sự thoái hóa lớp men màu trắng bảo vệ răng làm lộ lớp ngà răng màu vàng bên dưới, dẫn đến sự hình thành các mảng lớn hay các đốm màu nâu vàng.
Răng có đốm nâu còn do miếng trám, mão răng hay cầu răng đều bị mòn đi theo thời gian và mất màu. Ngoài ra, kim loại trong miếng trám có thể làm nhiễm màu vào trong mô răng.
Một số loại thuốc có thể làm đổi màu răng, chẳng hạn kháng sinh tetracycline và các loại thuốc cùng nhóm. Trẻ nhỏ thường gặp tình trạng này.
Ngoài ra, còn có những loại thuốc khác cũng làm hình thành đốm nâu trên răng như: Glibenclamide (Glynase) và chất Chlorhexidine thường có trong các loại thuốc súc miệng dạng nước.

Do quá trình phát triển men răng bị gián đoạn khiến men trở nên cứng nhưng mỏng gây nên tình trạng thiểu sản men. Răng có các mảng màu trắng hoặc màu nâu vàng.
Thiểu sản men răng có thể xuất hiện khi mới sinh gọi là sinh men bất toàn hoặc do mắc phải. Các nguyên nhân phổ biến gây thiểu sản men là:
Các triệu chứng răng miệng thường liên quan đến bệnh celiac, như:
Men răng bị nhiễm màu do quá nhiều fluor có thể làm, đặc biệt trẻ em dưới 8 tuổi hay gặp.
Sự đổi màu hay gọi là nhiễm fluor xuất hiện dưới dạng đường màu tráng hoặc xám trên răng. Nhiễm fluor nặng có thể gây ra các đốm và vết rỗ màu nâu sẫm.
Phương pháp điều trị các đốm nâu trên răng tùy vào nguyên nhân hình thành chúng. Bạn co thể áp dụng những biện pháp tại nhà sau đây để loại bỏ các vết nhiễm màu do thức ăn, thức uống hoặc do hút thuốc:

Nếu nguyên nhân của sự đổi màu răng là do vôi răng, bạn nên gặp nha sĩ để cạo vôi răng và mảng bám ra khỏi răng. Nha sĩ cũng có thể làm trắng răng và ngăn không bị sâu răng bằng cách tẩy trắng răng và bôi fluor tại chỗ.
Tuy nhiên, trường hợp đổi màu răng do bệnh celiac, nhiễm flour hoặc sâu răng là tổn thương vĩnh viễn, không thể phục hồi được. Cách khắc phục các đốm nâu vĩnh viễn là che đi sự đổi màu hoặc ngăn đổi màu bằng miếng trám composite màu trắng, mặt dán sứ, mão răng hoặc đeo hàm bảo vệ hoặc hàm duy trì ban đêm.
Chỉ cần thực hiện vệ sinh răng miệng tốt, bạn có thể phòng tránh tình trạng răng có đốm nâu, có thể áp dụng các mẹo sau đây:
Tránh gây ố màu răng và làm men răng yếu đi, bạn nên tránh sử dụng các thực phẩm sau:

Những thực phẩm giàu chất xơ có tác dụng làm sạch vi khuẩn và các mảng bám trên răng. Cũng có một số thực phẩm tạo hàng rào bảo vệ răng tránh hình thành mảng bám hoặc chứa các hóa chất giúp trung hòa các axit làm yếu men răng.
Các loại thực phẩm ngăn đổi màu răng bao gồm:
Nếu các đốm nâu trên răng xuất hiện mà không rõ lý do hoặc không đáp ứng với điều trị không kê toa, bạn nên đến Bệnh viện Răng Hàm Mặt để khám chuyên khoa. Bên cạnh đó bạn nên thay đổi cách ăn uống và chú ý vệ sinh răng miệng đúng cách thường xuyên để ngừa các vết ố trên răng, bảo vệ răng chắc khỏe.
Dược sĩ Đại họcNguyễn Mỹ Huyền
Dược sĩ Đại học có nhiều năm kinh nghiệm trong việc tư vấn Dược phẩm và hỗ trợ giải đáp thắc mắc về Bệnh học. Hiện đang là giảng viên cho Dược sĩ tại Nhà thuốc Long Châu.