Dược sĩ Đại học có nhiều năm kinh nghiệm trong việc tư vấn Dược phẩm và hỗ trợ giải đáp thắc mắc về Bệnh học. Hiện đang là giảng viên cho Dược sĩ tại Nhà thuốc Long Châu.
Quỳnh Loan
07/04/2025
Mặc định
Lớn hơn
Ê buốt răng là tình trạng phổ biến, đặc biệt là bị ê răng hàm trên. Cơn ê buốt có thể xuất hiện đột ngột hoặc kéo dài, ảnh hưởng đến sinh hoạt hàng ngày. Việc xác định đúng nguyên nhân sẽ giúp lựa chọn phương pháp điều trị phù hợp và ngăn ngừa ê buốt tái phát.
Ê buốt răng nói chung, bị ê răng hàm trên nói riêng khiến nhiều người cảm thấy khó chịu khi ăn uống hoặc vệ sinh răng miệng. Nguyên nhân gây ra tình trạng này thường liên quan đến men răng bị mài mòn, lộ ngà răng hoặc các bệnh lý răng miệng như viêm nướu hay sâu răng.
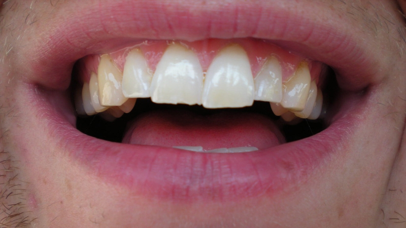
Ê buốt răng là tình trạng người bệnh cảm thấy đau nhói hoặc khó chịu khi ăn thực phẩm quá nóng, quá lạnh hoặc quá cứng. Hiện tượng này xảy ra khi lớp men răng bị tổn thương làm lộ ngà răng khiến các dây thần kinh trong tủy răng dễ bị kích thích. Khi ê buốt xảy ra ở nhóm răng hàm trên được gọi là ê buốt răng hàm trên.
Tình trạng này có thể do nhiều nguyên nhân khác nhau như chải răng sai cách, dùng kem đánh răng có độ mài mòn cao hoặc thói quen nghiến răng làm mòn men răng theo thời gian.
Ngoài ra, bị ê răng hàm trên còn có thể là dấu hiệu cảnh báo các bệnh lý răng miệng như sâu răng, viêm nha chu, viêm nướu hoặc tụt lợi. Nếu không được điều trị kịp thời, tình trạng này có thể tiến triển nặng hơn gây ảnh hưởng đến chức năng ăn nhai và sức khỏe răng miệng.

Tình trạng bị ê răng hàm trên có thể xuất hiện đột ngột hoặc kéo dài do nhiều nguyên nhân khác nhau, từ thói quen sinh hoạt đến các bệnh lý răng miệng. Việc xác định đúng nguyên nhân giúp người bệnh có biện pháp phòng ngừa và điều trị hiệu quả hơn.
Dưới đây là những yếu tố có thể dẫn đến ê buốt răng hàm trên:
Thực phẩm chứa axit là một trong những nguyên nhân hàng đầu gây mòn men răng, khiến răng trở nên nhạy cảm. Các thực phẩm như đồ uống có gas, nước ép trái cây chua, rượu vang, cà phê và thực phẩm chế biến sẵn có thể làm suy yếu lớp bảo vệ của răng. Khi men răng bị bào mòn, ngà răng bên dưới sẽ lộ ra khiến răng dễ bị kích thích và gây cảm giác ê buốt răng.

Một số loại nước súc miệng có chứa thành phần axit hoặc cồn có thể làm tổn thương men răng khi sử dụng trong thời gian dài. Nếu không chọn đúng sản phẩm hoặc lạm dụng nước súc miệng quá mức, người dùng có thể vô tình khiến răng hàm trên trở nên nhạy cảm hơn.
Chải răng quá mạnh, sử dụng bàn chải lông cứng hoặc đánh răng nhiều lần trong ngày có thể gây mòn men răng theo thời gian. Khi men răng bị mòn, các đầu dây thần kinh trong tủy răng dễ bị kích thích bởi thực phẩm nóng, lạnh hoặc chua, gây ra cảm giác ê buốt kéo dài.
Nghiến răng vào ban đêm hoặc trong lúc căng thẳng có thể làm mòn men răng và gây áp lực lên răng hàm trên. Lâu dài, hành động này có thể dẫn đến tổn thương ngà răng, làm lộ tủy răng và gây ê buốt nghiêm trọng.
Một số bệnh lý răng miệng có thể khiến răng hàm trên trở nên nhạy cảm:
Tụt nướu
Khi nướu bị tụt, phần chân răng sẽ lộ ra, làm giảm khả năng bảo vệ răng khỏi các kích thích từ bên ngoài.
Viêm nướu và viêm nha chu
Tình trạng viêm nhiễm ở mô nướu có thể gây đau nhức, làm răng trở nên nhạy cảm hơn.
Nứt hoặc mẻ răng
Khi răng bị nứt, vi khuẩn dễ dàng xâm nhập vào các khe nứt gây viêm nhiễm, dẫn đến ê buốt và đau nhức kéo dài.

Một số thủ thuật nha khoa như lấy cao răng, tẩy trắng răng, bọc răng sứ hoặc trám răng có thể khiến răng trở nên nhạy cảm hơn trong thời gian đầu. Tuy nhiên, cảm giác ê buốt này thường chỉ kéo dài từ 4 – 6 tuần và sẽ giảm dần khi răng thích nghi. Nếu ê buốt kéo dài hoặc trở nên nghiêm trọng hơn, người bệnh nên tham khảo ý kiến bác sĩ để có biện pháp xử lý phù hợp.
Nhận biết được nguyên nhân khiến chúng ta bị ê răng hàm trên là bước quan trọng để bảo vệ sức khỏe răng miệng. Duy trì thói quen chăm sóc răng miệng đúng cách, tránh các tác nhân gây hại và thăm khám nha khoa định kỳ sẽ giúp giảm nguy cơ ê buốt và đảm bảo răng luôn chắc khỏe.
Tình trạng ê buốt răng khiến nhiều người gặp khó khăn trong sinh hoạt hàng ngày, đặc biệt là khi ăn uống các thực phẩm nóng lạnh hoặc có tính axit. Để giảm thiểu đau nhức và bảo vệ men răng hiệu quả, việc chăm sóc răng miệng đúng cách rất quan trọng.
Dưới đây là những biện pháp hỗ trợ giảm ê răng hàm trên và ngăn ngừa tình trạng này tiến triển nghiêm trọng hơn.
Chọn bàn chải phù hợp và chải răng đúng cách
Sử dụng bàn chải có lông mềm và đánh răng với áp lực vừa phải sẽ giúp bảo vệ men răng hiệu quả hơn. Khi chải răng, hãy đặt bàn chải nghiêng 45º so với đường nướu và chà nhẹ nhàng theo hướng lên xuống thay vì chà ngang.
Sử dụng kem đánh răng dành riêng cho răng nhạy cảm
Lựa chọn kem đánh răng có thành phần giúp bảo vệ men răng và hạn chế ê buốt như kali nitrat hoặc florua. Tránh xa các sản phẩm chứa chất tạo màu hoặc chất tẩy rửa mạnh như Triclosan hay Sodium Lauryl Sulfate.
Tránh thực phẩm có tính axit cao
Những loại thực phẩm như nước ngọt có gas, các loại kẹo và đồ uống có tính axit cao có thể bào mòn men răng. Thay vào đó, hãy tăng cường các loại thực phẩm tốt cho răng như rau xanh, sữa chua không đường và trà xanh. Lưu ý không đánh răng ngay sau khi ăn thực phẩm có tính axit, hãy chờ ít nhất 1 giờ trước khi chải răng để bảo vệ men răng.

Bỏ thói quen nghiến răng
Nghiến răng khiến men răng bị bào mòn nhanh chóng và gây ê buốt. Hãy tham khảo ý kiến bác sĩ nha khoa để làm máng bảo vệ răng hoặc điều chỉnh hàm nếu cần thiết.
Các bệnh lý răng miệng không chỉ là nguyên nhân mà còn là hệ quả của tình trạng ê buốt răng. Việc phát hiện sớm và điều trị dứt điểm các vấn đề này sẽ giúp cải thiện sức khỏe răng miệng và ngăn ngừa những tổn thương nghiêm trọng hơn. Người bệnh nên chủ động thăm khám nha khoa để được tư vấn và can thiệp kịp thời.
Teo nướu
Teo nướu thường gặp ở những người trên 40 tuổi, khiến phần chân răng bị lộ ra ngoài. Đây là khu vực rất nhạy cảm và dễ bị kích thích bởi thực phẩm nóng, lạnh hoặc có tính axit. Nếu không được điều trị, tình trạng này có thể dẫn đến viêm nha chu và mất răng. Giải pháp tốt nhất là đến nha sĩ để thực hiện trám cổ chân răng nhằm bảo vệ vùng chân răng khỏi các tác nhân gây ê buốt.
Nứt răng hoặc vết trám cũ
Các vết nứt trên răng hoặc vết trám cũ bị bong tróc tạo ra môi trường lý tưởng cho vi khuẩn tích tụ. Điều này làm suy yếu men răng, ảnh hưởng đến ngà răng và gây ê buốt kéo dài. Khi phát hiện tình trạng này, người bệnh nên đến nha khoa để trám lại răng, ngăn chặn vi khuẩn xâm nhập và bảo vệ sức khỏe răng miệng.
Chăm sóc răng miệng đúng cách để ngăn ngừa ê buốt
Nhiều người lo sợ ê buốt răng nên có xu hướng hạn chế vệ sinh răng miệng, điều này vô tình khiến tình trạng trở nên nghiêm trọng hơn. Để bảo vệ men răng và giảm ê buốt, cần duy trì thói quen đánh răng đúng cách ít nhất 2 lần/ngày bằng bàn chải lông mềm và kem đánh răng chuyên biệt. Bên cạnh đó, sử dụng chỉ nha khoa giúp loại bỏ mảng bám trong kẽ răng hiệu quả hơn.
Ngoài việc chăm sóc tại nhà, thăm khám nha khoa định kỳ 6 tháng/lần là điều cần thiết để phát hiện và điều trị sớm các vấn đề răng miệng. Điều này không chỉ giúp bảo vệ răng trước nguy cơ ê buốt mà còn duy trì sức khỏe răng miệng lâu dài.

Tóm lại, bị ê răng hàm trên không chỉ gây khó chịu mà còn có thể là dấu hiệu cảnh báo các vấn đề răng miệng nghiêm trọng. Để giảm ê buốt hiệu quả, cần duy trì thói quen chăm sóc răng miệng đúng cách, hạn chế thực phẩm có tính axit và đến nha sĩ định kỳ để kiểm tra sức khỏe răng miệng. Nếu tình trạng ê buốt kéo dài hoặc trở nên nghiêm trọng hơn, người bệnh nên tìm đến bác sĩ nha khoa để được thăm khám và điều trị kịp thời, giúp bảo vệ răng miệng một cách toàn diện.
Dược sĩ Đại họcNguyễn Mỹ Huyền
Dược sĩ Đại học có nhiều năm kinh nghiệm trong việc tư vấn Dược phẩm và hỗ trợ giải đáp thắc mắc về Bệnh học. Hiện đang là giảng viên cho Dược sĩ tại Nhà thuốc Long Châu.