Tốt nghiệp loại giỏi trường Đại học Y Dược Huế. Từng tham gia nghiên cứu khoa học đề tài về Dược liệu. Nhiều năm kinh nghiệm làm việc trong lĩnh vực Dược phẩm. Hiện đang là giảng viên cho Dược sĩ tại Nhà thuốc Long Châu.
30/11/2023
Mặc định
Lớn hơn
Khi bị gãy xương mác, câu hỏi được đặt ra nhiều nhất là gãy xương mác nên mổ hay bó bột. Thực chất, việc điều trị như thế nào còn tùy thuộc vào tình trạng chấn thương của bệnh nhân. Trường hợp gãy xương mác nhẹ thì việc phẫu thuật không mấy khả thi và nếu gãy xương nặng thì bó bột lại không đạt hiệu quả.
Hiện tượng gãy xương mác là tình trạng tương đối phổ biến trong những chấn thương về xương. Tuy không gây nên nguy hiểm đối với cơ thể nhưng gãy xương mác lại khiến người bệnh bị hạn chế về mặt đi lại, ảnh hưởng đến cuộc sống, công việc và sinh hoạt hàng ngày.
Trước khi tìm hiểu về việc gãy xương mác nên mổ hay bó bột, mời bạn cùng tìm hiểu về tình trạng chấn thương thường gặp này thông qua những thông tin dưới đây nhé.
Đầu tiên, xương mác là xương ở cẳng chân, nằm kế bên và song song với xương chày. Cấu trúc xương cẳng chân gồm 2 xương chính là xương mác và xương chày. Trong 2 loại xương này, xương chày có độ lớn hơn nhiều so với xương mác. Xương mác về cấu tạo ngoài có độ mảnh, sắc nhất định để các liên kết mô cơ bám chắc hơn.

Xương mác có vị trí song song và nhỏ hơn xương chày
Xương mác giúp cho cổ chân được linh hoạt hơn và cũng hỗ trợ chịu lực cùng với xương chày. Như bạn đã biết, xương chân là bộ phận chịu lực tương đối lớn, chỉ đứng sau xương bàn chân. Vì thế nên khi xương ở chân xảy ra vấn đề, mức độ chịu lực sẽ lập tức thay đổi.
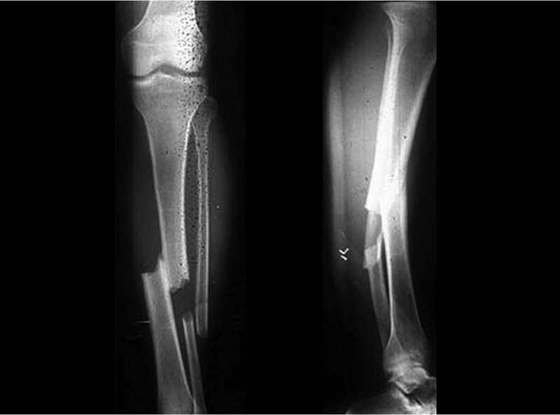
Gãy xương mác là hiện tượng xương mác bị tổn thương, có thể do nhiều nguyên nhân như tác động mạnh, tai nạn, va chạm hoặc chấn thương cụ thể khác. Gãy xương mác có thể là gãy ở nhiều vị trí, như phần đầu xương, cuối xương hoặc gãy giữa xương mác.
Gần giống với những trường hợp gãy xương khác, gãy xương mác cũng có nhiều nguyên nhân, điển hình như:
Dấu hiệu nhận biết gãy xương mác là gì? Nhận biết dấu hiệu gãy xương mác từ sớm sẽ giúp nạn nhân được điều trị, kiểm tra sớm hơn, tăng khả năng điều trị khỏi, tốc độ phục hồi xương cũng nhanh chóng hơn.
Ngoài những dấu hiệu phổ biến trên đây, nhiều trường hợp bị gãy xương mác còn có thêm những dấu hiệu khác nữa như chóng mặt, đau đầu, hoa mắt, mệt mỏi,...

Gãy xương mác nên mổ hay bó bột? Cần dựa vào mức độ gãy xương
Một điều nhận được sự quan tâm không kém gãy xương mác nên mổ hay bó bột là điều trị gãy xương mác như thế nào. Thực tế, không phải mọi tình huống gãy xương mác đều có cách điều trị giống nhau, điều này lý giải vì sao bạn cần đi khám và làm theo chỉ định của bác sĩ có chuyên môn về điều trị gãy xương mác.
Tình trạng gãy xương mác hở tương đối phức tạp và có nhiều mức độ khác nhau. Phổ biến nhất là xương gãy hở xuyên qua da, dẫn đến tổn thương mô mềm, chảy máu, mất máu nhiều ở bệnh nhân gãy xương mác. Trường hợp bị gãy xương mác hở tương đối dễ nhận biết và gây đau đớn nhiều hơn cho bệnh nhân.
Nguyên nhân dẫn đến gãy xương mác hở thường do tai nạn, va chạm mạnh hoặc té ngã từ độ cao lớn xuống nền cứng. Đây cũng được nhận định là trường hợp gãy xương mác tương đối nghiêm trọng, bệnh nhân cần được sơ cấp cứu kịp thời, hạn chế nhiễm trùng và tiêm ngừa uốn ván là điều rất cần thiết.
Về cách điều trị cho gãy xương mác hở, đa phần là điều trị bằng cách phẫu thuật. Đây cũng là đáp án cho thắc mắc gãy xương mác nên mổ hay bó bột. Cụ thể hơn, bệnh nhân vẫn cần kiểm tra, xét nghiệm cẩn thận để nhận định mức độ. Việc bó bột hay không, gãy xương mác nên mổ hay bó bột là điều mà bác sĩ là người đưa ra quyết định tốt nhất cho bệnh nhân.
Thực tế, gãy xương mác hở thường có nhiều mảnh xương vụn đâm vào mô mềm gây đau đớn, tăng khả năng nhiễm trùng nên cần thiết phải mổ để gắp xương ra, cố định xương bằng thanh nẹp kim loại và ốc vít chuyên dụng để kéo xương về đúng lại vị trí ban đầu.
Đây là tình trạng gãy xương mác nhẹ nhàng hơn so với gãy xương mác hở. Gãy xương mác kín không để lộ xương ra ngoài da, một vài trường hợp ghi nhận xương bị gãy lồi lên trên bề mặt da nhưng không lộ hoàn toàn ra ngoài.
Vậy gãy xương mác nên mổ hay bó bột? Đối với gãy xương mác kín, phương pháp phổ biến nhất là bó bột cố định xương, kết hợp với uống thuốc giảm đau và nghỉ ngơi để gãy xương mác tự làm lành một cách tự nhiên. Xương mác có khả năng tự chữa lành rất nhanh chóng nên người bệnh không nên quá lo lắng về việc bó bột không tốt bằng phẫu thuật, mổ nhé.

Gãy xương mác kín ít gây nguy hiểm và có thể điều trị bằng cách bó bột
Sau khi tháo bột, bệnh nhân nên tập luyện vật lý trị liệu, tập đi lại bằng nạng chuyên dụng để giúp chức năng xương được cải thiện tốt hơn, phục hồi sau gãy xương mác một cách tối ưu nhất. Vấn đề ăn uống cũng đóng vai trò quan trọng, người bị gãy xương mác nên bổ sung thêm nhiều thực phẩm giàu canxi nhé.
Tóm lại, gãy xương mác nên mổ hay bó bột cần có sự tham khảo ý kiến từ bác sĩ thông qua kết quả kiểm tra, xét nghiệm cụ thể. Bất cứ phương pháp điều trị gãy xương mác nào cũng đạt hiệu quả nhất định, nên người bệnh không nên quá lo lắng, phân vân giữa mổ và bó bột, bạn nhé.
Xem thêm: Phục hồi sau gãy xương mác cần lưu ý điều gì?
Hồng Nhung
Nguồn tham khảo: Tổng hợp
Dược sĩ Đại họcNgô Kim Thúy
Tốt nghiệp loại giỏi trường Đại học Y Dược Huế. Từng tham gia nghiên cứu khoa học đề tài về Dược liệu. Nhiều năm kinh nghiệm làm việc trong lĩnh vực Dược phẩm. Hiện đang là giảng viên cho Dược sĩ tại Nhà thuốc Long Châu.