• Thực phẩm chức năng

  • Dược mỹ phẩm

  • Thuốc

  • Chăm sóc cá nhân

  • Thiết bị y tế

  • Tiêm chủng

  • Bệnh & Góc sức khỏe

  • Hệ thống nhà thuốc

    1. /
    2. Góc sức khỏe/
    3. Phòng bệnh & Sống khoẻ

    Giải đáp thắc mắc: Xét nghiệm máu có phát hiện sùi mào gà không?

    Thị Thúy

    30/12/2024

    Kích thước chữ

    Sùi mào gà không gây hại cho sức khỏe nhưng có thể khiến người bệnh tự ti, ảnh hưởng đến hạnh phúc gia đình và việc e ngại đi khám chữa bệnh chính là nguyên nhân khiến bệnh dễ tiến triển nặng hơn. Một số người thắc mắc liệu xét nghiệm máu có phát hiện sùi mào gà không?

    Sùi mào gà là một căn bệnh xã hội có tốc độ lây lan nhanh chóng. Nếu không biết cách phòng ngừa và không phát hiện kịp thời, căn bệnh này có thể gây ra nhiều hậu quả nghiêm trọng. Vì vậy, việc tìm hiểu các xét nghiệm sùi mào gà là vô cùng cần thiết để giúp chẩn đoán bệnh sớm. Liệu xét nghiệm máu có phát hiện sùi mào gà không?

    Triệu chứng nhận biết của bệnh sùi mào gà

    Sùi mào gà là do virus HPV gây ra. Ở mỗi thời kỳ, bệnh có những triệu chứng khác nhau, cụ thể như sau:

    Giai đoạn ủ bệnh

    Giai đoạn này kéo dài khoảng 3 tuần, thậm chí lên tới 8 tháng và rất khó xác định thời gian lây nhiễm cụ thể. Lúc này, bệnh nhân không có biểu hiện gì bất thường.

    giai-dap-thac-mac-xet-nghiem-mau-co-phat-hien-sui-mao-ga-duoc-khong 1.jpg
    Giai đoạn ủ bệnh kéo dài khoảng 3 tuần, thậm chí lên tới 8 tháng

    Giai đoạn phát bệnh

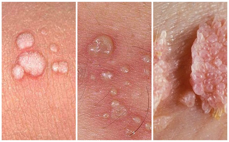
    Triệu chứng thường gặp của giai đoạn này là xuất hiện các u nhú mềm, màu hồng tươi trên da, có cuống, tuy không đau nhưng có thể dễ gây chảy máu. Sau một thời gian phát triển, nó có thể có hình dạng giống gai hoặc hình chiếc lá, dài vài cm và có thể tạo thành những mảng hình súp lơ có màu trắng hồng.

    • Đối với bệnh nhân nữ: U nhú thường xuất hiện ở âm vật, môi nhỏ, quanh lỗ niệu đạo hoặc tầng sinh môn. Ngoài ra, một số bệnh nhân còn có thể gặp các triệu chứng ở cổ tử cung và hậu môn.
    • Nam giới: Các triệu chứng của bệnh thường xuất hiện ở rãnh quy đầu hoặc thân dương vật, nhưng đôi khi có thể xuất hiện ở miệng sáo, da bìu hoặc hậu môn.

    Khi bị sùi mào gà, bạn thường không cảm thấy đau. Tuy nhiên, khi bệnh đã ở giai đoạn nặng, các nốt sùi có thể phát triển kích thước lớn hơn khiến việc đi lại trở nên khó khăn và đau đớn. Da vùng bị ảnh hưởng của bệnh nhân dễ bị trầy xước, chảy máu, đôi khi xuất hiện mủ, các hạch bạch huyết ở vùng bẹn sưng tấy, một số bệnh nhân bị sốt cao và đau dữ dội.

    Xét nghiệm máu có phát hiện sùi mào gà không?

    Để chẩn đoán sùi mào gà, bác sĩ có thể chỉ định người bệnh thực hiện các xét nghiệm sau:

    • Xét nghiệm bằng axit axetic: Thoa dung dịch axit axetic lên vùng da bị nốt sùi khoảng 2 đến 5 phút, nếu vùng da có dấu hiệu bất thường là ở vùng hậu môn thì thuốc sẽ phát huy tác dụng sau 15 phút. Nếu bị bệnh, các nốt sùi có thể chuyển sang màu trắng sau khi bôi thuốc.
    giai-dap-thac-mac-xet-nghiem-mau-co-phat-hien-sui-mao-ga-duoc-khong 2.png
    Để chẩn đoán sùi mào gà, bạn có thể xét nghiệm bằng axit axetic
    • Xét nghiệm mẫu vật: Đây là phương pháp bác sĩ thu thập các mẫu như u nhú hoặc nốt mụn để xét nghiệm sinh học phân tử nhằm chẩn đoán bệnh. Điều này có thể xác nhận xem mẫu có chứa virus gây sùi mào gà hay không.
    • Xét nghiệm qua mẫu dịch: Theo các bác sĩ, virus HPV có thể hiện diện trong dịch tiết của người bệnh như dịch âm đạo ở nữ và dịch niệu đạo ở nam. Vì vậy, bằng cách xét nghiệm mẫu dịch, bác sĩ có thể chẩn đoán sùi mào gà.
    • Xét nghiệm HPV Cobas - Test: Đây là phương pháp đánh giá một mẫu tế bào chết ở cổ tử cung để làm xét nghiệm sàng lọc cổ tử cung, đồng thời các bác sĩ sẽ chỉ định xét nghiệm tìm virus HPV.
    • Xét nghiệm xác định type HPV - PCR: Xét nghiệm này có thể giúp xác định xem bạn có bị nhiễm các loại virus gây ra sùi mào gà ở bộ phận sinh dục hay không và các loại virus khiến bạn có nguy cơ mắc ung thư cổ tử cung hoặc ung thư âm hộ. Mẫu bệnh phẩm bao gồm dịch ở âm đạo cổ tử cung và dịch niệu đạo ở nam giới. Các bác sĩ gợi ý có thể kết hợp HPV - PCR với xét nghiệm Pap để nâng cao hiệu quả chẩn đoán bệnh và sàng lọc các tổn thương tiền ung thư cổ tử cung.

    Những thông tin trên chỉ ra rằng xét nghiệm máu chưa chắc đã phát hiện được sùi mào gà. Với mỗi bệnh nhân, bác sĩ sẽ chỉ định một số loại xét nghiệm nhất định để có thể đưa ra kết luận và chẩn đoán bệnh chính xác nhất.

    giai-dap-thac-mac-xet-nghiem-mau-co-phat-hien-sui-mao-ga-duoc-khong 3.jpg
    Mỗi bệnh nhân, bác sĩ sẽ chỉ định một số loại xét nghiệm nhất định

    Các chuyên gia y tế gợi ý, để phòng bệnh, chúng ta nên thực hiện các biện pháp như quan hệ tình dục an toàn, chăm sóc cơ thể tốt, giữ vệ sinh, cập nhật kiến ​​thức về bệnh, tránh dùng chung vật dụng cá nhân với người khác và phòng tránh lây nhiễm từ mẹ sang con. Tiêm vắc xin ngừa HPV trước khi quan hệ tình dục cũng là biện pháp phòng ngừa tốt.

    Chi phí sẽ cao hơn nếu bạn thực hiện nhiều loại xét nghiệm, đồng thời chi phí xét nghiệm ở mỗi cơ sở y tế cũng khác nhau nên khó đưa ra con số cụ thể. Bên cạnh đó, ngoài chi phí xét nghiệm, người bệnh cũng cần chuẩn bị chi phí cho việc khám và điều trị bệnh. Sùi mào gà có đặc điểm là rất khó điều trị và dễ tái phát, đòi hỏi phải kiên trì mới đạt được kết quả hiệu quả. Bạn nên chọn cơ sở y tế có uy tín, trang thiết bị hiện đại để đảm bảo tính chính xác của kết quả khám.

    Hy vọng bài viết trên đã cung cấp cho bạn đọc những thông tin hữu ích để giải đáp thắc mắc xét nghiệm máu có phát hiện sùi mào gà không. Nếu bạn có bất kỳ triệu chứng hoặc yếu tố nguy cơ nào liên quan đến căn bệnh này, hãy đến ngay cơ sở y tế uy tín để được chẩn đoán và điều trị kịp thời nhé!

    Tiêm vắc xin HPV là giải pháp quan trọng giúp phòng ngừa sùi mào gà và các bệnh ung thư do virus HPV. Đây là cách bảo vệ sức khỏe hiệu quả, đặc biệt đối với những người chưa mắc bệnh. Trung tâm Tiêm chủng Long Châu cung cấp dịch vụ tiêm vắc xin HPV chính hãng, với đội ngũ y bác sĩ giàu kinh nghiệm và quy trình tiêm chủng an toàn, tạo sự yên tâm tuyệt đối cho khách hàng, giúp họ bảo vệ sức khỏe lâu dài.

    Xem thêm:

    Thông tin và sản phẩm gợi ý trong bài viết chỉ mang tính chất tham khảo, vui lòng liên hệ với Bác sĩ, Dược sĩ hoặc chuyên viên y tế để được tư vấn cụ thể. Xem thêm

    Bác sĩVõ Thanh Nhã Văn

    Đã kiểm duyệt nội dung

    Tốt nghiệp Bác sĩ Y học Dự phòng từ Đại học Y Dược Thành phố Hồ Chí Minh, bác sĩ đã có nền tảng vững chắc về an toàn y tế và nghiên cứu khoa học. Bên cạnh việc hoàn thành khóa huấn luyện an toàn Sơ cấp cứu tại SAFI, bác sĩ còn nhận được bằng khen của Bộ Y tế năm 2021 cho những đóng góp xuất sắc trong công tác phòng chống dịch COVID-19.

    Xem thêm thông tin