Dược sĩ Đại học có nhiều năm kinh nghiệm trong việc tư vấn Dược phẩm và hỗ trợ giải đáp thắc mắc về Bệnh học. Hiện đang là giảng viên cho Dược sĩ tại Nhà thuốc Long Châu.
Hải Yến
20/06/2025
Mặc định
Lớn hơn
Hô hàm trên là một tình trạng bẩm sinh hoặc phát sinh sau này, gây mất cân đối và thẩm mỹ cho khuôn mặt. Vậy có cách khắc phục tình trạng này không? Cùng tìm hiểu nhé!
Răng hô hàm trên là một khuyết điểm răng miệng gây mất mất thẩm mỹ và khiến cho khuôn mặt mất cân đối, hài hòa. Vậy hô hàm trên là gì? Nguyên nhân, biểu hiện và biện pháp khắc phục ra sao? Hãy cùng Long Châu khám phá trong bài viết dưới đây nhé!
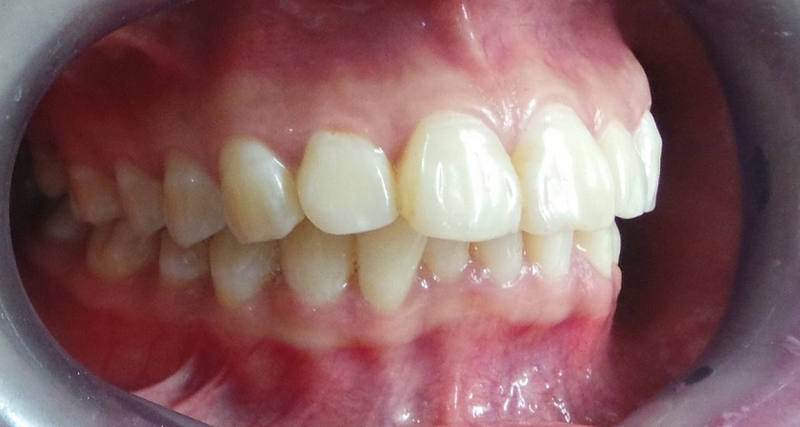
Hô hàm trên hay còn gọi là răng vẩu hàm trên, đây là tình trạng răng hoặc xương hàm hoặc toàn bộ răng và xương hàm trên đều nhô ra trước quá mức, câu nói “ăn đu đủ không cần thìa” của ông bà xưa chính là để miêu tả tình trạng răng này.

Hô hàm trên là một vấn đề thường gặp trong lĩnh vực thẩm mỹ, làm khó chịu và gây mất tự tin cho người trải qua. Tình trạng này gây ra sự mất cân đối giữa các chi tiết khuôn mặt. Càng về già hoặc khi gầy sút cân, nhìn sẽ càng bị “hô” hơn. Thông thường hô hàm trên có thể được chia thành 3 dạng chính, tùy theo nguyên nhân gây ra:
Có nhiều nguyên nhân có thể dẫn đến hô hàm trên, trong đó có thể kể đến như:

Các biểu hiện của hô hàm trên có thể dễ dàng nhận thấy từ diện mạo của bạn. Một người bị hô thường có hàm trên rất nhỏ so với hàm dưới, trong khi đó, khuôn mặt có thể trông to và không cân đối. Dưới đây là một vài biểu hiện khác:
Hô hàm trên hoàn toàn có thể khắc phục được thông qua các quy trình thẩm mỹ. Để xác định giải pháp tốt nhất cho bạn, hãy tìm một chuyên gia thẩm mỹ nha khoa để được tư vấn và đánh giá về tình trạng của bạn. Dựa vào tình trạng cụ thể, các phương pháp điều trị sau có thể được áp dụng:
Chuyên gia nha khoa thẩm mỹ có thể sử dụng các kỹ thuật để điều chỉnh hàm trên của bạn. Chẳng hạn như thông qua việc sử dụng miệng giả, nha sĩ có thể tạo ra hàm trên hoàn hảo và tương đồng với hàm dưới của bạn.
Niềng răng là một phương pháp điều trị hô hàm trên hiệu quả và phổ biến nhất hiện nay. Niềng răng sử dụng các loại mắc cài có chất liệu là kim loại hoặc trong suốt để tạo lực kéo đẩy các răng hàm trên về phía sau, dựng thẳng trục răng, cân đối khớp cắn, cải thiện thẩm mỹ và chức năng ăn nhai. Niềng răng có nhiều loại khác nhau, tùy theo nhu cầu và điều kiện tài chính của bạn.

Phẫu thuật hàm trên là phương pháp điều trị đối với trường hợp hàm trên có mức độ hô nghiêm trọng, khi phương thức niềng răng không đạt hiệu quả hoặc bạn muốn có kết quả nhanh chóng và triệt để. Phẫu thuật sẽ can thiệp vào xương hàm trên, cắt bỏ phần xương thừa và đẩy lùi cả khối xương hàm và răng về phía sau, giúp khuôn mặt trở nên phẳng và hài hòa hơn. Tuy nhiên, phẫu thuật cũng có những rủi ro và biến chứng, vì vậy bạn nên cân nhắc kỹ trước khi quyết định nhé.

Hy vọng thông tin chúng tôi cung cấp đã giúp bạn hiểu và biết thêm về trình trạng hô hàm trên. Trên tất cả, bạn vẫn nên tìm đến các chuyên gia để được tư vấn phương pháp điều trị phù hợp, khắc phục vấn đề này và sớm có lại nụ cười tự tin trên khuôn mặt của mình nhé!
Xem thêm:
Dược sĩ Đại họcNguyễn Mỹ Huyền
Dược sĩ Đại học có nhiều năm kinh nghiệm trong việc tư vấn Dược phẩm và hỗ trợ giải đáp thắc mắc về Bệnh học. Hiện đang là giảng viên cho Dược sĩ tại Nhà thuốc Long Châu.