• Thực phẩm chức năng

  • Dược mỹ phẩm

  • Thuốc

  • Chăm sóc cá nhân

  • Thiết bị y tế

  • Tiêm chủng

  • Bệnh & Góc sức khỏe

  • Hệ thống nhà thuốc

    1. /
    2. Góc sức khỏe/
    3. Phòng bệnh & Sống khoẻ

    Khớp cắn sâu là gì? Nguyên nhân gây khớp cắn sâu

    26/07/2025

    Kích thước chữ

    Khớp cắn sâu còn gọi là tình trạng khớp cắn ngập, là hiện tượng sai lệch khớp cắn tương đối nghiêm trọng, cần can thiệp điều trị sớm để tránh biến chứng lâu dài.

    Khớp cắn sâu có thể gây nhiều biến chứng cả về mặt thẩm mỹ và chức năng cắn, nhai của răng. Chính vì vậy khi phát hiện mình bị khớp cắn sâu, bạn cần đến nha sĩ uy tín để được thăm khám chuyên khoa và tư vấn điều trị càng sớm càng tốt.

    Khớp cắn khớp cắn sâu là gì?

    Trước khi tìm hiểu sâu hơn về nguyên nhân cũng như cách điều trị khớp cắn sâu, bạn cũng nên biết đây là tình trạng như thế nào, làm thế nào để nhận biết được khớp cắn sâu. Khớp cắn sâu là hiện tượng khớp cắn bị sai lệch khiến mất cân đối 2 hàm trên và dưới, từ đó tạo nên sự kém hài hòa giữa 2 hàm, làm hàm dưới lọt thỏm và khuất sâu đằng sau hàm trên.

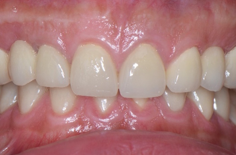
    Khớp cắn sâu là gì? Nguyên nhân gây khớp cắn sâu 1
    Khớp cắn sâu là tình trạng răng hàm trên bao phủ đa phần hoặc hoàn toàn răng hàm dưới

    Vậy làm thế nào để nhận biết mình có bị khớp cắn sâu hay không? Bạn có thể nhận biết tình trạng khớp cắn sâu một cách đơn giản thông qua những đặc điểm, đặc trưng dưới đây:

    • Răng hàm dưới có thể sẽ tiếp xúc hoặc không tiếp xúc với hàm trên. Điều này cho thấy tình trạng khớp cắn sâu đang bắt đầu hình thành. Khi chuyển nặng, khớp cắn sâu còn khiến những răng ở rìa hàm dưới không chạm đến răng hàm trên mà thay vào đó sẽ chạm vào phần nướu trong của hàm trên.
    • Mức độ tương quan của hàm trên và hàm dưới khá thấp, không đạt tiêu chuẩn theo tỷ lệ chuẩn. Khi này hàm trên sẽ che khuất gần như hoàn toàn răng hàm dưới, nhất là khi ngậm miệng, sẽ rất khó để nhìn thấy được răng mọc ở hàm dưới.
    • Tương quan giữa trán, mũi và cằm khá bình thường, không bị ảnh hưởng nhiều bởi tình trạng khớp cắn sâu.
    • Nhóm răng sau vẫn sẽ tiếp tục mọc nhưng tiết diện có thể giảm ít hoặc nhiều phụ thuộc vào việc độ cắn sâu của hàm trên ở mức độ nặng hay nhẹ.
    • Đường nối giữa trán, mũi và cằm có thể không được thẳng hàng, bị gấp khúc tùy vào mức độ nghiêm trọng của khớp cắn sâu ở mỗi người.

    Nguyên nhân dẫn đến khớp cắn sâu

    Biết được nguyên nhân gây khớp cắn sâu có thể giúp bạn giải quyết tận gốc vấn đề khớp cắn sâu, tránh tình trạng sau khi điều trị thì khớp cắn sâu tái lại làm ảnh hưởng đến cuộc sống, thẩm mỹ và độ tự tin của bạn. Chia sẻ từ các chuyên gia cho hay, nguyên nhân phổ biến khiến khớp cắn sâu gồm có:

    • Răng hàm dưới mọc cụp vào trong: Điều này có thể do trong quá trình mọc răng bé thường xuyên dùng lưỡi chạm vào vùng răng đang mọc, đẩy răng mọc vào trong hoặc do tác động của ngoại lực khi gặp tai nạn,... cũng có thể khiến hàm dưới bị cụp vào trong so với hàm trên.
    • Tỷ lệ giữa xương hàm trên và xương hàm dưới chênh lệch quá nhiều: Có thể do các yếu tố như di truyền, bẩm sinh, tai nạn hoặc vấn đề sức khỏe,... mà tỷ lệ giữa răng hàm trên và răng hàm dưới bị chênh lệch nhau quá nhiều. Khi này, răng hàm trên quá to và dài, răng hàm dưới quá nhỏ và ngắn nên gây nên tình trạng khớp cắn sâu.

    Ngoài 2 nguyên nhân thường gặp gây khớp cắn sâu nêu trên còn có một số tác nhân khác như bẩm sinh, di truyền từ người thân trong gia đình, tai nạn sinh hoạt,...

    Khớp cắn sâu là gì? Nguyên nhân gây khớp cắn sâu 2
    Có nhiều nguyên nhân dẫn đến tình trạng khớp cắn sâu

    Khớp cắn sâu có gây hại không?

    Nhiều người nghĩ rằng việc bị khớp cắn sâu ngoài gây một số bất tiện trong sinh hoạt, ăn uống thì không gây hại đến sức khỏe nhiều. Tuy nhiên, dưới góc nhìn của chuyên gia, điều này chưa hẳn đã đúng. Những tác hại khi bị khớp cắn sâu có thể kể đến như:

    • Gây mất thẩm mỹ cho gương mặt: Tình trạng khớp cắn sâu dù nặng hay nhẹ đều có thể khiến gương mặt mất đi sự cân đối nhất định, kém hài hòa các đường nét, hàm bị nhỏ, hàm hô, móp hàm dưới và cằm,... gây nên cảm giác thiếu tự tin cho người sở hữu.
    • Nướu dễ bị tổn thương: Một trong những tác hại phải kể đến khi bị khớp cắn sâu là đau nướu và tổn thương nướu do phần rìa của răng hàm dưới chạm vào nướu trong của hàm trên lâu ngày làm sưng nướu, đau nhức khó chịu, ảnh hưởng đến việc cắn, nhai thức ăn.
    • Mòn răng nặng: Khi bị khớp cắn sâu bạn có thể sẽ đối mặt với nguy cơ răng hàm trên sẽ bị mòn nặng gây nên hiện tượng lộ ngà răng, răng ê buốt kéo dài, nhất là khi cắn, nhai thực phẩm.
    • Khớp thái dương hàm cũng bị ảnh hưởng: Người bị khớp cắn sâu thường có phần khớp thái dương hàm cũng bị tác động tiêu cực, lâu dần không điều trị có thể dẫn đến rối loạn khớp thái dương hàm, mức độ nguy hiểm khá cao.
    • Chức năng nhai bị giảm: Khớp răng hàm của hàm dưới và hàm trên không cân đối, bị lệch nhiều sẽ khiến thức ăn khó bị nghiền nát khi nhai, duy trì trong thời gian dài có thể còn ảnh hưởng đến hệ tiêu hóa như chứng đầy hơi khó tiêu, rối loạn tiêu hóa,...

    Phương pháp điều trị khớp cắn sâu hiệu quả

    Lời khuyên của nha sĩ cho người bị khớp cắn sâu là cần đi thăm khám từ sớm, tốt nhất là ngay giai đoạn mới bị khớp cắn sâu để được tư vấn điều trị hiệu quả, tránh tối đa biến chứng nguy hiểm khác. Hiện nay, khớp cắn sâu được điều trị bằng nhiều phương pháp khác nhau, mỗi tình trạng sẽ thích hợp với cách chữa khác nhau. Chính vì vậy, để chữa trị khớp cắn sâu hiệu quả nhất, người bị cần đến cơ sở nha khoa thăm khám.

    • Khớp cắn sâu do răng: Với những trường hợp bệnh nhân bị khớp cắn sâu do răng, nha sĩ thường chọn cách chỉ định niềng răng khớp cắn sâu để điều chỉnh lại khớp cắn một cách từ từ, dịch chuyển với tốc độ thích hợp để bảo vệ răng, bảo vệ hàm, đồng thời tạo thế cho hàm trên và hàm dưới cân đối với nhau hơn.
    • Khớp cắn sâu do xương: Nếu trường hợp bệnh nhân có khớp cắn sâu do xương, phương án điều trị thường được sử dụng là phẫu thuật khắc phục xương hàm, cân chỉnh xương hàm cho cân đối hơn với hàm dưới. Cắt xương hàm là cách thường thấy để khắc phục khớp cắn sâu do xương.
    Khớp cắn sâu là gì? Nguyên nhân gây khớp cắn sâu 3
    Niềng răng là phương án thường dùng để khắc phục khớp cắn sâu do răng

    Tình trạng khớp cắn sâu không hiếm gặp nhưng lại để lại hậu quả tương đối nghiêm trọng với sức khỏe. Ngoài tuân thủ phương án điều trị được bác sĩ chỉ định, bạn còn cần xây dựng chế độ chăm sóc răng miệng lành mạnh, đánh răng đều đặn ít nhất 2 lần/ngày, dùng thêm chỉ nha khoa, nước súc miệng, máy tăm nước,... để nâng cao sức khỏe răng miệng.

    Có thể bạn quan tâm

    Thông tin và sản phẩm gợi ý trong bài viết chỉ mang tính chất tham khảo, vui lòng liên hệ với Bác sĩ, Dược sĩ hoặc chuyên viên y tế để được tư vấn cụ thể. Xem thêm

    Dược sĩ Đại họcTrần Huỳnh Minh Nhật

    Đã kiểm duyệt nội dung

    Dược sĩ chuyên khoa Dược lý - Dược lâm sàng. Tốt nghiệp 2 trường đại học Mở và Y Dược TP. Hồ Chí Minh. Có kinh nghiệm nghiên cứu về lĩnh vực sức khỏe, đạt được nhiều giải thưởng khoa học. Hiện là Dược sĩ chuyên môn phụ trách xây dựng nội dung và triển khai dự án đào tạo - Hội đồng chuyên môn tại Nhà thuốc Long Châu.

    Xem thêm thông tin