Thế Khải
05/12/2025
Mặc định
Lớn hơn
Một nam thanh niên 38 tuổi được phát hiện có khối u trung thất sau kích thước lớn, nằm sát cột sống từ D7 đến D11 và gây ra nhiều triệu chứng kéo dài trước khi được phẫu thuật nội soi cắt bỏ thành công. Từ trường hợp này, các chuyên gia đặt ra câu hỏi: Vì sao bệnh lý trung thất thường tiến triển âm thầm và khi nào người bệnh cần đi khám sớm để tránh biến chứng nguy hiểm?
U trung thất không phải là bệnh lý phổ biến nhưng một khi xuất hiện, chúng thường tiến triển chậm và âm thầm. Nhiều trường hợp chỉ được phát hiện khi khối u đã chèn ép thần kinh, mạch máu hoặc phổi, khiến việc điều trị gặp nhiều khó khăn. Trường hợp của nam bệnh nhân 38 tuổi dưới đây là ví dụ điển hình. Những triệu chứng tưởng chừng thoáng qua lại tiềm ẩn một khối u lớn nằm sát cột sống, có khả năng gây biến chứng nguy hiểm nếu không được xử trí kịp thời.
Bệnh nhân xuất hiện khó thở, mệt mỏi, hụt hơi, tê tay phải và nhiều lần giật mình khi ngủ trong nhiều tháng. Đây là những biểu hiện dễ bị nhầm với rối loạn lo âu hoặc bệnh lý thần kinh cơ, khiến việc đi khám bị trì hoãn.
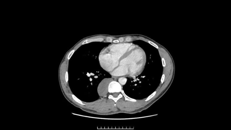
Khi thực hiện chụp CT và MRI lồng ngực, bác sĩ phát hiện một khối u kích thước khoảng 33 x 90 x 32 mm kéo dài từ D7 đến D11, mật độ chắc, nằm sát cột sống và có dấu hiệu xâm lấn màng phổi. Vị trí giải phẫu phức tạp này làm tăng nguy cơ tổn thương:

Theo các chuyên gia phẫu thuật lồng ngực, u trung thất sau nếu không điều trị sớm có thể gây yếu liệt do chèn ép thần kinh, gây tràn khí hoặc tràn máu màng phổi, thậm chí dẫn đến suy hô hấp.
Khối u vùng trung thất nằm sát các cơ quan quan trọng, vì vậy dù lành tính hay ác tính, chúng đều có thể gây biến chứng nếu phát triển lớn. Có ba yếu tố khiến bệnh lý này trở nên nguy hiểm.
Khối u thường phải phát triển đáng kể và chèn ép vào thần kinh, khí quản hoặc mạch máu thì người bệnh mới cảm nhận rõ triệu chứng.
Bác sĩ phải thực hiện thao tác phẫu thuật chính xác vì chỉ một va chạm nhỏ cũng có thể ảnh hưởng đến:
Nếu chậm điều trị, khối u có thể gây:

U trung thất dù thuộc nhóm lành tính hay ác tính đều có khả năng gây biến chứng thần kinh nghiêm trọng nếu đè ép vào tủy sống.
Phẫu thuật nội soi lồng ngực là phương pháp hiện đại giúp giảm đáng kể mức độ xâm lấn so với phẫu thuật mở. Phương pháp này mang lại các lợi ích:
Trong ca bệnh này, đội ngũ phẫu thuật đã mất khoảng 3 giờ để bóc tách khối u ra khỏi các cấu trúc lân cận như:

Sau phẫu thuật, phổi của bệnh nhân nở tốt, không rò khí và không có hiện tượng chảy dịch bạch huyết, cho thấy can thiệp diễn ra an toàn và hiệu quả.
Nhiều bệnh nhân có các triệu chứng tương tự nhưng thường chủ quan bỏ qua, đặc biệt là khi triệu chứng không dữ dội. Những dấu hiệu cần chú ý bao gồm:
Dù không phải là biểu hiện đặc hiệu của u trung thất, những triệu chứng này vẫn là cảnh báo quan trọng. Việc thăm khám sớm khi có triệu chứng kéo dài trên hai đến bốn tuần giúp tăng khả năng phát hiện bệnh lý lồng ngực và cải thiện tiên lượng điều trị.
Người bệnh nên chủ động đến cơ sở y tế khi xuất hiện:

Các phương pháp chẩn đoán như X quang, CT và MRI là công cụ quan trọng giúp phát hiện sớm khối u trung thất.
Trường hợp nam thanh niên 38 tuổi là lời nhắc nhở về sự âm thầm nhưng tiềm ẩn nhiều nguy hiểm của các bệnh lý trung thất. Việc chú ý đến các triệu chứng kéo dài và chủ động thăm khám sẽ giúp phát hiện sớm, ngăn ngừa biến chứng và bảo vệ sức khỏe lâu dài.