• Thực phẩm chức năng

  • Dược mỹ phẩm

  • Thuốc

  • Chăm sóc cá nhân

  • Thiết bị y tế

  • Tiêm chủng

  • Bệnh & Góc sức khỏe

  • Hệ thống nhà thuốc

    1. /
    2. Góc sức khỏe/
    3. Phòng bệnh & Sống khoẻ/
    4. Kiến thức y khoa

    Làm gì khi chép miệng và chảy máu chân răng? Cách khắc phục hiệu quả

    Thu Hương

    03/12/2024

    Kích thước chữ

    Chép miệng, chảy máu chân răng là những dấu hiệu thường gặp khi có vấn đề về sức khỏe răng miệng. Nếu bạn gặp phải tình trạng này, đừng bỏ qua, vì đó có thể là cảnh báo về sự thiếu chăm sóc răng miệng hoặc sự tích tụ cao răng. Vậy nên làm gì khi bị chép miệng và chảy máu chân răng?

    Chép miệng, chảy máu chân răng là những triệu chứng không nên xem nhẹ, vì rất có thể đây là dấu hiệu của các vấn đề nghiêm trọng về sức khỏe răng miệng. Tình trạng này thường đi kèm với cảm giác đau nhức, khó chịu và có thể ảnh hưởng đến thẩm mỹ cũng như chất lượng cuộc sống. Nếu bạn đang gặp phải tình trạng chép miệng, chảy máu chân răng, thì đừng vội bỏ qua bài viết bên dưới của Nhà Thuốc Long Châu nhé.

    Chép miệng, chảy máu chân răng là tình trạng như thế nào?

    Chép miệng, chảy máu chân răng là tình trạng bệnh lý về răng miệng thường gặp, nguyên nhân chủ yếu do chăm sóc răng miệng chưa đúng cách. Tuy không phải là bệnh nguy hiểm, nhưng nếu chủ quan, tình trạng này có thể gây khó chịu trong sinh hoạt và ảnh hưởng đến quá trình ăn uống hàng ngày.

    Chép miệng, chảy máu chân răng phải làm sao? 1
    Chép miệng, chảy máu chân răng là tình trạng bệnh lý về răng miệng thường gặp

    Nếu không được điều trị kịp thời, bệnh có thể phát triển thành các vấn đề nghiêm trọng hơn, ảnh hưởng đến các răng kế cận và các bệnh lý liên quan đến răng miệng. Vì vậy, bạn nên tìm đến nha khoa để được điều trị sớm, tránh những hậu quả đáng tiếc có thể xảy ra.

    Nguyên nhân dẫn đến chép miệng, chảy máu chân răng

    Hiểu rõ nguyên nhân dẫn đến chép miệng, chảy máu chân răng sẽ giúp bạn nhận diện và khắc phục kịp thời các vấn đề răng miệng, từ đó bảo vệ sức khỏe và duy trì nụ cười tự tin.

    • Khô miệng: Khi miệng không đủ nước bọt, người ta thường có xu hướng chép miệng để làm ẩm môi và khoang miệng. Điều này có thể xảy ra do thiếu nước hoặc do một số bệnh lý gây giảm tiết nước bọt.
    • Thói quen vô thức: Một số người có thể bị chép miệng khi cảm thấy căng thẳng, lo lắng hoặc mất tập trung. Đây là một phản ứng cơ thể tự nhiên, nhưng nếu xảy ra thường xuyên sẽ trở thành thói quen.
    • Bệnh lý thần kinh: Trong một số trường hợp, chép miệng có thể là dấu hiệu của các vấn đề liên quan đến hệ thần kinh như hội chứng động kinh nhẹ hoặc các vấn đề thần kinh khác.
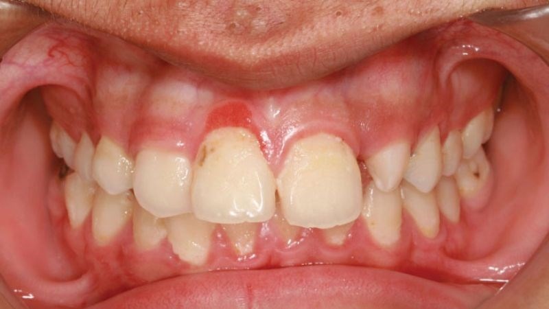
    • Vấn đề răng miệng: Viêm nướu hoặc các vấn đề khác trong khoang miệng có thể gây khó chịu, làm bạn vô thức chép miệng.
    Chép miệng, chảy máu chân răng phải làm sao? 2
    Viêm nướu hoặc các vấn đề khác trong khoang miệng có thể dẫn đến tình trạng này
    • Viêm nướu (viêm nha chu): Khi mảng bám và cao răng tích tụ lâu ngày, chúng có thể gây viêm nướu, làm cho nướu sưng và dễ chảy máu, đặc biệt khi đánh răng hoặc ăn uống.
    • Vệ sinh răng miệng không đúng cách: Đánh răng quá mạnh, sử dụng bàn chải cứng hoặc không sử dụng chỉ nha khoa có thể làm tổn thương nướu, gây chảy máu chân răng.
    • Tụt nướu: Việc tụt nướu làm lộ phần chân răng, khiến các mạch máu ở nướu dễ bị tổn thương và gây chảy máu khi có tác động nhẹ.
    • Thiếu vitamin C hoặc K: Vitamin C và K đóng vai trò quan trọng trong sức khỏe của nướu và hệ thống mạch máu. Khi thiếu hụt các vitamin này, nướu sẽ trở nên yếu, dễ bị chảy máu.
    • Bệnh lý nha chu nặng: Viêm nha chu không được điều trị kịp thời có thể tiến triển thành bệnh lý nha chu nặng, làm hư tổn mô nướu và xương, gây chảy máu chân răng nghiêm trọng.
    • Sử dụng thuốc: Một số thuốc, đặc biệt là thuốc làm loãng máu, có thể gây hiện tượng chảy máu bất thường, bao gồm cả chảy máu chân răng.
    • Bệnh lý: Các bệnh như tiểu đường, rối loạn đông máu, hay các vấn đề về tim mạch cũng có thể làm tăng nguy cơ chảy máu chân răng.

    Chép miệng, chảy máu chân răng thì phải làm sao?

    Khi gặp tình trạng chép miệng, chảy máu chân răng, bạn nên thực hiện các biện pháp sau để khắc phục và bảo vệ sức khỏe răng miệng:

    • Cung cấp đủ nước: Uống đủ nước để giúp giữ ẩm cho miệng, tránh tình trạng khô miệng gây chép miệng.
    • Kiểm tra tình trạng sức khỏe: Nếu chép miệng liên tục và không có lý do rõ ràng, bạn nên tham khảo ý kiến bác sĩ để loại trừ các vấn đề về thần kinh hoặc bệnh lý khác.
    • Chăm sóc răng miệng đúng cách: Đánh răng nhẹ nhàng bằng bàn chải lông mềm và sử dụng chỉ nha khoa để làm sạch kẽ răng mà không làm tổn thương nướu.
    • Khám nha sĩ định kỳ: Việc kiểm tra và lấy cao răng định kỳ sẽ giúp loại bỏ mảng bám, ngăn ngừa viêm nướu và chảy máu chân răng.
    Chép miệng, chảy máu chân răng phải làm sao? 3
    Việc lấy cao răng định kỳ sẽ giúp ngăn ngừa viêm nướu và chảy máu chân răng
    • Sử dụng nước súc miệng kháng khuẩn: Nước súc miệng có thể giúp giảm vi khuẩn và viêm nhiễm, đồng thời hỗ trợ trong việc làm lành nướu.
    • Cung cấp đủ vitamin: Bổ sung vitamin C và K từ thực phẩm hoặc thuốc bổ để giúp tăng cường sức khỏe nướu và mạch máu.
    • Điều trị kịp thời: Nếu tình trạng chảy máu kéo dài, bạn nên thăm khám nha sĩ để phát hiện sớm và điều trị viêm nướu, viêm nha chu hoặc các bệnh lý răng miệng khác.

    Chép miệng, chảy máu chân răng là những dấu hiệu không nên bỏ qua, vì đây là biểu hiện của các vấn đề răng miệng tiềm ẩn. Việc chăm sóc răng miệng đúng cách, cùng với thăm khám nha khoa định kỳ, sẽ giúp bạn phòng ngừa và điều trị kịp thời những vấn đề này. Đừng để chép miệng, chảy máu chân răng trở thành mối lo ngại lâu dài, hãy chủ động bảo vệ sức khỏe răng miệng để duy trì nụ cười tươi sáng và tự tin.

    Có thể bạn quan tâm

    Thông tin và sản phẩm gợi ý trong bài viết chỉ mang tính chất tham khảo, vui lòng liên hệ với Bác sĩ, Dược sĩ hoặc chuyên viên y tế để được tư vấn cụ thể. Xem thêm

    Dược sĩ Đại họcNguyễn Thanh Hải

    Đã kiểm duyệt nội dung

    Tốt nghiệp Đại học Dược Hà Nội, với hơn 10 năm kinh nghiệm trong lĩnh vực Dược phẩm. Hiện là giảng viên giảng dạy các môn Dược lý, Dược lâm sàng,...

    Xem thêm thông tin