• Thực phẩm chức năng

  • Dược mỹ phẩm

  • Thuốc

  • Chăm sóc cá nhân

  • Thiết bị y tế

  • Tiêm chủng

  • Bệnh & Góc sức khỏe

  • Hệ thống nhà thuốc

    1. /
    2. Góc sức khỏe/
    3. Phòng bệnh & Sống khoẻ

    Làm thế nào để nhận biết và điều trị nấm lưỡi HIV?

    16/07/2025

    Kích thước chữ

    Việc nhận biết nấm lưỡi HIV sớm và kịp thời sẽ giúp cho quá trình điều trị đạt hiệu quả cao. Đồng thời, người bệnh khi đó cũng sẽ tránh được những biến cố hoặc di chứng của bệnh lý khác.

    Người mắc bệnh HIV/AIDS vẫn có nhiều cơ hội để có một cuộc sống khỏe mạnh. Tuy nhiên, có một số thách thức về sức khoẻ đối với những người này chính là tránh nhiễm trùng. Bệnh nhân HIV thường có hệ miễn dịch yếu, đây chính là điều kiện tăng nguy cơ nhiễm trùng nấm. Nấm lưỡi HIV là một trong những căn bệnh khá phổ biến, thường do loại nấm men có tên Candida Albicans gây nên. Tuy rằng, bệnh không ảnh hưởng nhiều đến người bình thường, nhưng lại có thể gây nguy hiểm cho người bị nhiễm HIV.

    Nấm lưỡi HIV là gì?

    Nấm lưỡi là hiện tượng tổn thương vùng niêm mạc bao phủ bên trên bề mặt lưỡi. Bệnh gây ra bởi sự ký sinh và phát triển quá mức của bào tử nấm Candida Albicans (một loại nấm luôn luôn thường trú trong khoang miệng).

    Trong cơ thể bình thường, nấm Candida Albicans sẽ sống cộng sinh và không gây hại cho cơ thể. Tuy nhiên, khi cơ thể bị mất đi sức đề kháng, sẽ tạo điều kiện cho các bào tử nấm nhân đôi và phát triển, gây nên bệnh nấm lưỡi. Tình trạng này thường gặp nhiều nhất trên những bệnh nhân bị nhiễm HIV/AIDS (số lượng CD4 dưới mức 200).

    Làm thế nào để nhận biết và điều trị nấm lưỡi HIV 1 Hình ảnh người nhiễm nấm lưỡi HIV

    Ngoài nấm Candida, người nhiễm HIV còn có thể nhiễm các loại nấm lưỡi khác như: Histoplasmosis, Cryptococcosis, ….

    Nấm lưỡi HIV thường có một số biểu hiện như:

    • Xuất hiện một số mảng màu trắng loang lổ trên bề mặt niêm mạc lưỡi. Sau đó, lan dần sang toàn bộ niêm mạc, và bắt đầu chuyển dần từ màu trắng thành những mảng màu xanh, màu đen (phần hoại tử khi bệnh chuyển biến nặng).
    • Lưỡi bị khô nứt, chảy máu, đặc biệt là khi có vật thể cứng chạm vào.
    • Đau nhức khi hoạt động lưỡi, đặc biệt là trong lúc ăn: Khi bị nấm lưỡi, các biểu mô bề mặt niêm mạc dễ bị tổn thương, gây cảm giác đau có bất kì vật thể nào chạm vào lưỡi. Cơn đau cùng hiện tượng rát xuất hiện khi bạn ăn những thức ăn có vị nóng hoặc chua.
    • Mất vị giác.
    • Ở trường hợp nặng, lưỡi sưng to và nhiễm trùng, khiến người bệnh không thể ăn uống, kể cả là uống nước.

    Một số loại nấm lưỡi HIV phổ biến gây bệnh cho người bệnh HIV

    Người nhiễm HIV có số lượng kháng thể ít hơn so với người bình thường. Chính vì thế, họ luôn là “con mồi” cho các loại vi khuẩn gây hại, trong đó có các vi khuẩn nấm lưỡi như: Candida, Cryptococcosis, Histoplasmosis…

    Candida

    Candida là loại nấm thường gặp nhất ở miệng và âm đạo, đặc biệt là người mắc bệnh HIV. Nấm lưỡi do Candida đặc trưng bởi các mảng loang lổ dày cộm, trắng đục trên lưỡi, niêm mạc miệng, đôi khi có thể lan ra cổ họng.

    Bệnh nấm lưỡi này sẽ khá lành tính, nếu chúng không tấn công lan xuống tới thực quản, khí quản, phế quản, hoặc phổi. Tuy nhiên, đối với những người nhiễm HIV, đặc biệt là giai đoạn cuối (AIDS), thì nguy cơ biến chứng đến phổi sẽ rất cao, gây nguy hiểm đến tính mạng người bệnh.

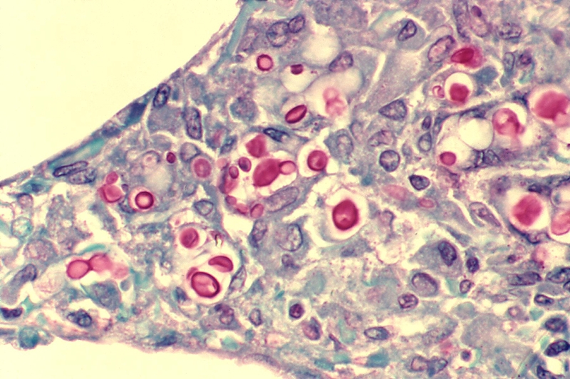
    Vi khuẩn nấm Cryptococcosis

    Cryptococcosis là một bệnh nấm miệng điển hình ở những người bị nhiễm HIV. Chúng có khả năng lây lan nhanh và có thể gây tử vong.

    Làm thế nào để nhận biết và điều trị nấm lưỡi HIV 2 Vi khuẩn nấm Cryptococcosis

    Ở những người nhiễm HIV, vi khuẩn nấm này sẽ phát triển và lây lan trên diện rộng. Có thể tiến triển thành tình trạng bệnh viêm màng não, tạo di chứng nặng đến hệ thần kinh trung ương, thậm chí là tử vong.

    Cryptococcosis gồm hai thành phần gây bệnh chính: Cryptococcus neoformans và Cryptococcus gattii. Đây là những vi khuẩn được tìm thấy trong phân chim, lây nhiễm cho người qua đường hô hấp khi không khí hoặc giọt bắn có chứa bào tử nấm.

    Vi khuẩn nấm lưỡi Histoplasmosis

    Đây là căn bệnh nấm lưỡi gây ra bởi một loại nấm phổ biến có tên gọi là H. capsulatum. Loài nấm này, thường xuyên được tìm thấy trong phân của một số động vật hoang dã như rắn, chim và dơi…

    Nấm lưỡi cho vi khuẩn H gây ra sẽ không gây ảnh hưởng nhiều đến sức khỏe của người bình thường, các triệu chứng nhẹ, giống như cúm mà không có tác động lâu dài. Tuy nhiên, đối với nhóm người nhiễm HIV, thì nấm Histoplasmosis có thể phát triển thành nhiễm trùng phổi mãn tính tương tự như bệnh lao, hoặc một số biến chứng như: Nhiễm trùng nhu mô phổi mãn tính, ung thư phổi,...

    Ngoài ra, nấm Histoplasmosis có thể lây lan nhanh ra khỏi miệng và phổi và đi đến nhiều cơ quan nội tạng khác gây phản ứng viêm, thường gặp nhất ở bệnh nhân nhiễm HIV có số lượng CD4 dưới 150 tế bào. Do đó, histoplasmosis đã được CDC phân loại là tình trạng xác định AIDS ở những người nhiễm HIV.

    Các triệu chứng của bệnh histoplasmosis bao gồm: Sốt, ho, khó thở, sưng hạch bạch huyết, giảm cân nặng.

    Các phương pháp phát hiện và chẩn đoán bệnh nấm lưỡi HIV

    Một số phương pháp thường dùng để chẩn đoán bệnh nấm như:

    Kiểm tra sinh thiết: Bác sĩ sẽ tiến hành lấy một mẫu nhỏ trên phần loang trắng của lưỡi, đặt lên kính hiển vi. Sau đó quan sát và phân tích các vi khuẩn. Cuối cùng, kết luận xen bạn bị nhiễm nấm thuộc loại nào.

    Kiểm tra nấm lưỡi bằng nội soi họng: Đây là phương pháp sử dụng cấy gạc họng hoặc nội soi, để chẩn đoán bạn có bị nấm lưỡi không, cũng như mức độ lây lan của bệnh như thế nào.

    Ngoài ra, bác sĩ cũng có thể yêu cầu xét nghiệm máu để xác định xem độ nguy hiểm cũng như nguyên nhân gây nên bệnh nấm.

    Việc chẩn đoán bệnh sẽ giúp bạn tìm ra được nguyên nhân, cũng như loại vi khuẩn gây nấm. Từ đó, bác sĩ sẽ có nhiều thông tin cho việc đưa ra phác đồ điều trị phù hợp nhất cho bạn.

    Điều trị nấm lưỡi HIV như thế nào?

    Bạn có thể sử dụng một số thuốc kê đơn theo bác sĩ như: Nystatin, Miconazol, Fluconazol, Clotrimazol… Hoặc loại thuốc Amphotericin B, trong những trường hợp nặng hơn.

    Làm thế nào để nhận biết và điều trị nấm lưỡi HIV 3 Bổ sung thực phẩm tốt cho sức khoẻ

    Ngoài ra, bạn cũng nên uống nhiều nước và bổ sung thêm một số chất dinh dưỡng và thực phẩm tốt cho sức khỏe như: Protein, chất xơ, vitamin nhóm B (gan, thịt, trứng, rau xanh, nấm…), vitamin C như hoa quả mọng, rau xanh.

    Cố gắng tránh đến các khu vực có nhiều bụi như các công trường xây dựng, khu vực nuôi gia súc, gia cầm...

    Trên đây bài viết cung cấp cho bạn thông tin về bệnh nấm lưỡi HIV. Hy vọng, qua bài viết này, bạn sẽ có thêm cho mình những kinh nghiệm cần thiết trong quá trình nhận biết và điều trị bệnh nấm lưỡi.

    Minh Nguyễn

    Nguồn tham khảo: Tổng hợp

    Có thể bạn quan tâm

    Thông tin và sản phẩm gợi ý trong bài viết chỉ mang tính chất tham khảo, vui lòng liên hệ với Bác sĩ, Dược sĩ hoặc chuyên viên y tế để được tư vấn cụ thể. Xem thêm

    Dược sĩ Đại họcNguyễn Thanh Hải

    Đã kiểm duyệt nội dung

    Tốt nghiệp Đại học Dược Hà Nội, với hơn 10 năm kinh nghiệm trong lĩnh vực Dược phẩm. Hiện là giảng viên giảng dạy các môn Dược lý, Dược lâm sàng,...

    Xem thêm thông tin