• Thực phẩm chức năng

  • Dược mỹ phẩm

  • Thuốc

  • Chăm sóc cá nhân

  • Thiết bị y tế

  • Tiêm chủng

  • Bệnh & Góc sức khỏe

  • Hệ thống nhà thuốc

    1. /
    2. Góc sức khỏe/
    3. Phòng bệnh & Sống khoẻ

    Liệu nang naboth cổ tử cung có phải bệnh lý nguy hiểm? Nguyên nhân và cách điều trị

    28/07/2025

    Kích thước chữ

    Nang naboth cổ tử cung là tình trạng bệnh lý phụ khoa thường gặp ở nữ giới. Nang có hình thái u nhỏ, xuất hiện trên bề mặt cổ tử cung. Hãy cùng tìm hiểu nguyên nhân gây nang naboth cùng một số cách điều trị bệnh hiệu quả nhé!

    Nang naboth cổ tử cung có kích thước nhỏ sẽ bị đào thải theo cơ chế tự nhiên nếu người bệnh có sức đề kháng tốt. Đối với trường hợp u nang naboth khó xử lý, thường là nang có kích thước lớn hoặc các triệu chứng biểu hiện bệnh đã nặng, bác sĩ có thể cho bệnh nhân uống thuốc, chọc hút dịch hay thực hiện đốt nang naboth nhằm xử lý bệnh triệt để.

    Nang naboth là gì? Nang naboth cổ tử cung là gì?

    Nang Naboth cổ tử cung là u lành tính, hình thành do tuyến tiết nhầy bị bít tắc, khiến dịch ứ đọng tạo thành nang. Thường không nguy hiểm và không cần điều trị, nhưng đôi khi gây rối loạn kinh nguyệt, đau bụng, ra máu âm đạo bất thường hoặc ảnh hưởng sinh sản.

    Nang naboth (tên gọi khác là u biểu mô) là hiện tượng một số cục u cỡ nhỏ hình thành trên bề mặt, phía trong ống cổ tử cung. Đường kính của nang naboth nhỏ chỉ vài milimet, trường hợp nang to bất thường có thể đạt tới 4 cm, thậm chí hơn nữa.

    Tình trạng nang naboth cổ tử cung xuất hiện nhiều ở phụ nữ đã sinh con hoặc đang trong độ tuổi mãn kinh. Phụ nữ càng lớn tuổi, độ dày của niêm mạc cổ tử cung của họ cũng giảm dần, tạo điều kiện thuận lợi để một số bệnh lý phụ khoa phát triển.

    Hầu hết nang naboth lành tính, không gây biến chứng nghiêm trọng. Điều này khiến nhiều bệnh nhân chủ quan, dễ bỏ qua giai đoạn điều trị dứt điểm khi bệnh còn nhẹ. Vì vậy, người có u nang naboth cổ tử cung nên thận trọng với tình trạng sức khỏe của mình, nên đến cơ sở y tế để kiểm tra, điều trị bệnh sớm để hạn chế các nguy cơ tiềm ẩn không đáng có.

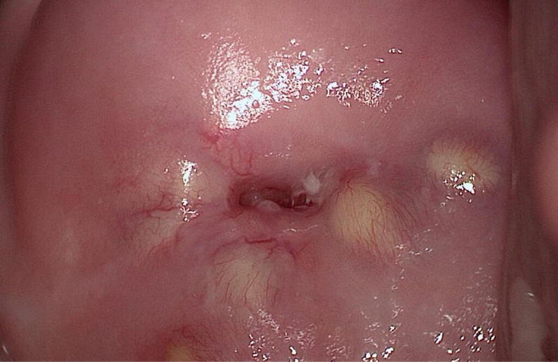
    Liệu nang naboth cổ tử cung có phải bệnh lý nguy hiểm? Nguyên nhân và cách điều trị 1Cận cảnh nang naboth cổ tử cung

    Dấu hiệu nhận biết nang naboth

    Phần lớn triệu chứng bệnh của u nang naboth cổ tử cung có điểm giống với biểu hiện của các bệnh phụ khoa thường thấy. Chính vì vậy, các chị em phụ nữ sẽ rất khó để nhận biết chính xác rằng mình có mắc u nang naboth hay không. Các chị em nên có kế hoạch khám phụ khoa định kỳ để được chẩn đoán bệnh chuẩn nhất. Sau đây là một số dấu hiệu các chị em có thể tham khảo để sớm phát hiện u nang naboth:

    • Âm đạo tiết ra khí hư nhiều hơn bình thường, màu trắng đục, vàng, đặc biệt là có mùi hôi tanh rất khó chịu.
    • Rối loạn kinh nguyệt, âm đạo có xuất huyết bất thường dù kỳ kinh nguyệt chưa đến.
    • Đau bụng kinh dai dẳng trong suốt quá trình kinh nguyệt.
    • Tình trạng đau bụng dưới xuất hiện thường xuyên, gây ảnh hưởng đến cuộc sống sinh hoạt hằng ngày.
    • Khi quan hệ tình dục cảm thấy đau rát, đôi khi ra máu.
    • Âm đạo có cảm giác bị đầy nặng, bức bối khó chịu, nhu cầu ham muốn tình dục giảm sút.
    Liệu nang naboth cổ tử cung có phải bệnh lý nguy hiểm? Nguyên nhân và cách điều trị 2Người bệnh thường bị đau bụng dai dẳng trong suốt chu kỳ kinh nguyệt

    Mắc nang naboth cổ tử cung do đâu?

    Các nang naboth được hình thành khi lớp tế bào biểu mô vảy của cổ tử cung tăng sinh, che phủ các tuyến nhờn ở niêm mạc cổ tử cung, gây bít tắc nghiêm trọng. Lâu dần tạo nên các u nang trên cổ tử cung.

    Nguyên hình hình thành u naboth cũng bắt nguồn từ nhiều tác nhân khác nữa. Mời các chị em cùng điểm qua các yếu tố góp phần hình thành các khối u nang naboth:

    • Năng lượng tế bào suy giảm: Năng lượng tại tế bào giảm sút sẽ ngắt kết nối khả năng liên lạc giữa các tế bào. Các tế bào không còn phân chia theo chiều hướng tốt nữa. Tình trạng này kéo dài dẫn đến thực tế tăng sinh bất thường, lâu ngày tạo nên các khối nang, đặc biệt là nang naboth ở cổ tử cung.
    • Viêm lộ tuyến cổ tử cung: Các biểu mô ở cổ tử cung của người bệnh bị phơi bày ra bên ngoài, rất dễ bị bít tắc. Cùng lúc đó, chất nhầy ở cổ tử cung vẫn tiếp tục được tiết ra nhưng không thể tống khứ ra ngoài, tích tụ lâu dài rồi hình thành nên các nang naboth.
    • Viêm loét cổ tử cung: Việc cổ tử cung bị viêm nhiễm cũng là một trong những nguồn cơn chính làm cho tế bào mô tăng sinh, bao trùm lấy các tuyến nhờn. Hiện tượng ứ đọng dịch xuất hiện, dần già tạo nên một hay nhiều các u nang naboth cổ tử cung.
    • Do các bệnh phụ khoa khác: Một số bệnh phụ khoa phổ biến khác như viêm nhiễm cổ tử cung, viêm âm đạo, u xơ cổ tử cung… cũng có nguy cơ làm ứ đọng dịch âm đạo tại cổ tử cung. Trường hợp phụ nữ mắc bệnh phụ khoa không được điều trị đúng cách thì cổ tử cung rất dễ có nang naboth.
    Liệu nang naboth cổ tử cung có phải bệnh lý nguy hiểm? Nguyên nhân và cách điều trị 3Bị u xơ cổ tử cung rất dễ mắc nang naboth

    U nang naboth ở cổ tử cung có nguy hiểm không?

    U nang naboth thuần túy chỉ là một tổn thương lành tính ở cổ tử cung. Vì vậy, đa phần nang naboth không phải mối lo ngại quá lớn đối với các chị em phụ nữ. Tuy nhiên, nang naboth sẽ thực sự trở thành vấn đề nhức đầu khi khối nang phát triển bất thường với kích thước to. Đặc biệt, khi khối nang phát triển đến cực đại rồi tự vỡ ra, gây viêm nhiễm bộ phận cổ tử cung và ảnh hưởng đến quá trình thụ thai.

    Các nang naboth nhỏ sẽ có thể tự tiêu mà không cần can thiệp các biện pháp y học. Tuy nhiên, nếu nang có kích thước lớn sẽ tự vỡ, chất dịch bên trong nang được giải phóng khiến bộ phận cổ tử cung bị viêm và nhiễm khuẩn. Tình trạng bệnh nghiêm trọng thậm chí còn ảnh hưởng đến sức khỏe sinh sản của người mắc nang naboth ở cổ tử cung. Sau đây là các phương pháp cơ bản nhằm điều trị nang naboth hiệu quả:

    Dùng thuốc

    Người bệnh sẽ được bác sĩ chỉ định dùng thuốc để điều trị nang naboth khi số lượng nang ít và kích thước các nang nhỏ, tình trạng không quá nghiêm trọng. Dưới tác dụng của thuốc, nang naboth sẽ bị đào thải, cổ tử cung sẽ ổn định trở lại.

    Liệu nang naboth cổ tử cung có phải bệnh lý nguy hiểm? Nguyên nhân và cách điều trị 4Bệnh nhân dùng thuốc để điều trị u nang naboth

    Người bệnh cần tuyệt đối tuân thủ liệu trình đơn thuốc của bác sĩ, không tự ý sử dụng những loại thuốc không theo khuyến cáo của bác sĩ hoặc dùng thuốc không có nguồn gốc rõ ràng. Điều này không chỉ khiến người bệnh mất tiền oan mà còn khiến bệnh nghiêm trọng hơn. Nang naboth khi không được điều trị chuẩn thuốc sẽ trở nặng, hậu quả vô cùng khó lường.

    Chọc hút dịch

    Nang naboth cổ tử cung cần can thiệp chọc hút dịch khi nang phát triển với kích thước quá to, bám vào nhau thành các cụm. Phương pháp này tối ưu việc chọc để chất dịch thoát ra ngoài và khiến nang xẹp đi.

    Thủ thuật này tiêu tốn ít thời gian thực hiện, có thể giảm thiểu khả năng tổn thương diện rộng. Tuy nhiên, việc chọc hút dịch để xử lý các nang naboth lại không giúp lưu thông khí huyết cùng các dịch nhầy tại cổ tử cung. Vì vậy, người bệnh dễ dàng rơi vào trường hợp các nang naboth tái phát nhanh chóng và nhiều lần sau đó.

    Đốt nang naboth

    Đốt nang naboth là thủ thuật phổ biến trong nhiều trường hợp điều trị nang naboth. Hai phương pháp đốt nang naboth hàng đầu phải kể đến đó là đốt điện và đốt lạnh.

    • Đốt điện: Người bệnh được gây tê tại chỗ, bác sĩ dùng dòng điện để đốt lớp ngoài của cổ tử cung, theo đó các nang naboth ở bề mặt cổ tử cung sẽ bị đốt đi. Phương pháp này cần cẩn thận trong khâu chăm sóc phụ khoa sau đó để hạn chế tối đa nguy cơ nhiễm trùng vết thương khi đốt điện.
    • Đốt lạnh: Đốt lạnh hay còn được gọi là áp lạnh (Cryotherapy) là sử dụng khí nito lỏng làm đóng băng tế bào nang naboth, sau đó thực hiện phá vỡ khối u mà không cần nhiều thủ thuật xâm lấn như đốt điện. Thủ thuật đốt lạnh để đối phó với nang naboth cổ tử cung khá tốn kém nhưng mang lại hiệu quả điều trị cao.

    Trên đây là toàn bộ các thông tin liên quan đến bệnh lý u nang naboth cổ tử cung, mong rằng bài viết đã cung cấp cho bạn nhiều kiến thức hữu ích. Nếu bạn đang nghi vấn rằng liệu bản thân có mắc chứng nang naboth này hay không, hãy nhanh chóng đặt lịch và đến khám tại bệnh viện sớm nhất có thể để nắm bắt tình hình một cách rõ ràng nhé!

    Ánh Vũ

    Nguồn tham khảo: Tổng hợp

    Thông tin và sản phẩm gợi ý trong bài viết chỉ mang tính chất tham khảo, vui lòng liên hệ với Bác sĩ, Dược sĩ hoặc chuyên viên y tế để được tư vấn cụ thể. Xem thêm

    Dược sĩ Đại họcPhạm Nguyễn Hoàng Kim

    Đã kiểm duyệt nội dung

    Dược sĩ chuyên ngành Dược lâm sàng, với nhiều năm kinh nghiệm làm việc trong lĩnh vực dược phẩm. Là Dược sĩ Long Châu đạt được chứng chỉ bệnh học cấp quốc tế. Hiện đang là giảng viên tại Trung tâm Đào tạo FPT Long Châu.

    Xem thêm thông tin