Tốt nghiệp Đại Học Dược Hà Nội - chuyên môn Dược lâm sàng. Hiện đang là giảng viên cho Dược sĩ tại Nhà thuốc Long Châu.
21/06/2023
Mặc định
Lớn hơn
Sau khi mất răng, nếu bạn không điều trị kịp thời sẽ gây ra nhiều biến chứng và hậu quả nghiêm trọng khác nhau, nguy hiểm nhất chính là hiện tượng tiêu xương hàm. Vậy mất răng bao lâu thì bị tiêu xương hàm? Nguyên nhân nào gây ra hiện tượng này và hậu quả để lại là gì? Mời bạn đọc cùng theo dõi thông tin trong bài viết này.
Hiện tượng tiêu xương hàm xuất hiện là khi bạn thấy gương mặt và tình trạng răng miệng của bạn có nhiều sự thay đổi như má hóp dần lại, xương hàm ở vị trí răng bắt đầu lõm xuống, các răng bên cạnh xô lệch vào nhau. Điều này xảy ra là do người bệnh đã bị mất răng trong một khoảng thời gian dài và không chịu đi điều trị bệnh.
Việc khoang miệng bị mất đi một hoặc nhiều chiếc răng ngày càng trở nên phổ biến. Đặc biệt là với những đối tượng ở lứa tuổi trung niên, khi sức khỏe của cơ thể ngày càng suy giảm thì tình trạng răng miệng cũng dần trở nên kém hơn.
Thông thường, việc mất răng xảy ra là do một vài nguyên nhân phổ biến như sau:

“Mất răng bao lâu thì bị tiêu xương hàm?” được khá nhiều người bệnh quan tâm đến. Theo trung bình, cứ 3 tháng sau khi mất răng thì mật độ xương sẽ có xu hướng giảm dần. Bắt đầu từ tháng thứ 6 trở đi thì xương sẽ bị tiêu đi khoảng 25%. Sau 1 năm, hiện tượng tiêu xương sẽ chiếm khoảng 45 - 60%.

Tuy nhiên, việc xác định chính xác vấn đề mất răng bao lâu thì bị tiêu xương hàm còn phải phụ thuộc vào cơ địa và tình trạng sức khỏe của mỗi người. Không chỉ vậy, quá trình tiêu xương còn diễn ra khá âm thầm, không hề gây ra cảm giác đau đớn hay có những dấu hiệu cụ thể trong khoảng thời gian đầu.
Do đó, xương hàm cứ thế ngày một tiêu biến đi mà người bệnh không hề hay biết. Nếu như bệnh không được chữa trị sớm sẽ dẫn đến nhiều biến chứng nguy hiểm ảnh hưởng đến sức khỏe như tụt nướu, lệch khớp cắn, viêm nha chu, khó nhai, hóp má, da nhăn nheo, chảy xệ, răng bị lung lay,...
Quá trình tiêu xương hàm thường diễn ra khá chậm và không có triệu chứng rõ ràng, nên cho đến khi người bệnh phát hiện ra tình trạng bệnh thì cũng đã muộn và răng đã yếu đi rất nhiều rồi.
Bên cạnh đó, tiêu xương hàm còn để lại một vài biến chứng nguy hiểm như:

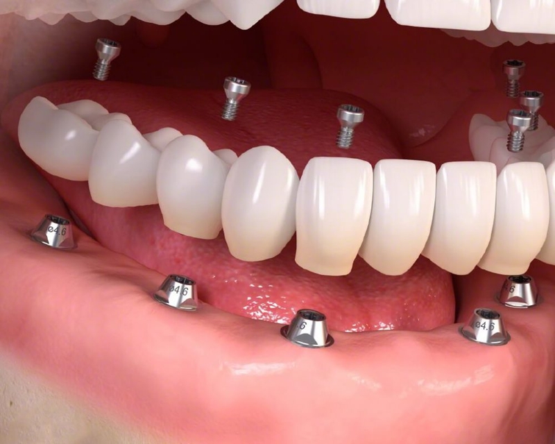
Theo như ý kiến của các bác sĩ nha khoa, phương pháp tối ưu và đem lại hiệu quả cao nhất chính là phương pháp trồng răng Implant.
Đối với phương pháp này, bác sĩ sẽ tiến hành cấy trụ Implant được cấu tạo từ thành phần Titanium vào bên trong xương hàm để thay thế cho vị trí răng thật đã bị mất đi. Thành phần Titanium này vô cùng an toàn và lành tính đối với cơ thể nên dễ dàng tích hợp cứng chắc với xương hàm, giúp cho trụ Implant được đứng vững và nâng đỡ mão răng sứ ở phía trên.
Phương pháp trồng răng Implant được đánh giá là tối ưu và đem lại hiệu quả caoKhông chỉ vậy, răng Implant còn giúp cho người bệnh có thể thực hiện hoạt động ăn nhai tốt hơn, thậm chí còn cứng chắc như răng thật. Từ đó, nhờ vào quá trình nhai thức ăn mà lực nhai sẽ tác động lên xương hàm để kích thích xương phát triển, đồng thời phòng ngừa được hiện tượng tiêu xương hàm sau khi bị mất răng.
Ngoài ra, phương pháp trồng răng Implant còn đem lại một số lợi ích khác như:
Bài viết trên nhà thuốc Long Châu đã giải đáp cho bạn đọc về vấn đề “Mất răng bao lâu thì bị tiêu xương hàm?” và cách khắc phục hiện tượng này. Tiêu xương hàm sẽ để lại nhiều ảnh hưởng gây khó khăn đến đời sống sinh hoạt hàng ngày của bạn nên bạn cần phải đi điều trị bệnh càng sớm càng tốt để đảm bảo sức khỏe cho bản thân nhé.
Tạ Quỳnh
Nguồn tham khảo: Tổng hợp
:format(webp)/KF_1b_LIQ_Tx_J_Pb27_Vsh90_QN_6b_Xz_OB_Jo_U_f0e2294e2e.png)
Dược sĩ Đại họcNguyễn Chí Chương
Tốt nghiệp Đại Học Dược Hà Nội - chuyên môn Dược lâm sàng. Hiện đang là giảng viên cho Dược sĩ tại Nhà thuốc Long Châu.