Tốt nghiệp Đại học Dược Hà Nội, với hơn 10 năm kinh nghiệm trong lĩnh vực Dược phẩm. Hiện là giảng viên giảng dạy các môn Dược lý, Dược lâm sàng,...
Tố Uyên
31/10/2025
Mặc định
Lớn hơn
Người có 36 cái răng thì sao và có cần nhổ bỏ răng hay không. Bài viết cung cấp kiến thức y khoa về sự phát triển, chăm sóc và xử lý khi số lượng răng vượt quá bình thường.
Hầu hết người trưởng thành có 28 - 32 răng, vậy người có 36 cái răng thì sao? Số răng vượt quá chuẩn này có gây ra các vấn đề về sức khỏe răng miệng hay khó khăn trong việc vệ sinh không? Bài viết sẽ thảo luận về nguyên nhân và hậu quả của việc có quá nhiều răng, cũng như những phương pháp xử lý và chăm sóc hợp lý đối với tình trạng này.
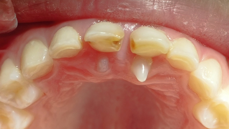
Nhiều người thắc mắc người có 36 cái răng thì sao, có ảnh hưởng đến sức khỏe răng miệng không? Thông thường, răng thừa không gây hại cho sức khỏe, nhưng trong một số tình huống, chúng có thể tạo ra những vấn đề nhất định.
Răng thừa có thể chèn ép, làm lệch lạc các răng khác, dẫn đến tình trạng khớp cắn không đúng, ảnh hưởng đến thẩm mỹ và chức năng nhai. Đặc biệt, nếu răng thừa mọc ở phía sau hàm, chúng có thể tạo áp lực lên những răng đã có, làm chúng bị lệch lạc hoặc phát triển không đúng cách.

Khi răng thừa tạo áp lực lên các răng xung quanh, người bệnh có thể cảm thấy đau đớn và khó chịu. Đặc biệt, nếu răng thừa chồng lên nhau hoặc chèn ép vào các dây thần kinh, cảm giác đau đớn có thể trở nên nghiêm trọng.
Trong một số trường hợp hiếm, các tế bào mầm răng không chuyển hóa thành răng hoàn chỉnh mà hình thành các khối u. Tình trạng này có thể gây đau đớn và sự khó chịu đáng kể. Nếu không được điều trị kịp thời, các khối u này có thể lan sang các khu vực lân cận, ảnh hưởng xấu đến sức khỏe tổng thể của người bệnh.
Số lượng răng vượt mức bình thường có thể gây ra khớp cắn sai lệch, cản trở quá trình ăn nhai dẫn đến đau mỏi hàm và thậm chí rối loạn khớp thái dương hàm. Bên cạnh đó, việc mọc thừa răng cũng gặp khó khăn trong việc vệ sinh, từ đó làm tăng nguy cơ sâu răng, viêm lợi và tiêu xương ổ răng, ảnh hưởng lâu dài đến sức khỏe răng miệng.
Một người trưởng thành có trung bình 28 - 32 cái răng, còn người có 36 răng thì sao? Đây là tình trạng mọc răng thừa khá hiếm gặp. Theo góc nhìn y học, nguyên nhân của hiện tượng này thường liên quan đến biến đổi di truyền.
Di truyền
Một trong những nguyên nhân chính dẫn đến việc một người sở hữu 36 chiếc răng là do yếu tố di truyền. Nếu ông bà hoặc cha mẹ có răng thừa, con cháu họ có khả năng cao sẽ thừa hưởng gen này. Di truyền được coi là một trong những nguyên nhân phổ biến nhất gây ra tình trạng răng thừa.
Biến đổi trong quá trình phát triển thai nhi
Trong giai đoạn thai nghén, các tế bào mầm răng có thể phân chia nhiều hơn mức bình thường, dẫn đến việc hình thành ra thêm các mầm răng, thường là ở khu vực phía sau hàm. Những mầm răng này không phát triển thành răng hoàn chỉnh, dẫn đến hiện tượng răng thừa.

Ảnh hưởng từ môi trường
Ô nhiễm không khí, nguồn nước không sạch hay ăn thực phẩm có chứa chất độc hại cũng có thể là nguyên nhân dẫn đến việc mọc thêm răng. Những yếu tố này có thể khiến một số người có tới 36 chiếc răng hoặc nhiều hơn.
Bệnh lý
Mặc dù hiếm gặp, nhưng một số trường hợp người bị hội chứng Gardner có thể gặp phải tình trạng mọc răng thừa, hoặc nghiêm trọng hơn là hở hàm ếch.
Người có 36 cái răng thì sao? Tình trạng này có thể gây ra nhiều vấn đề sức khỏe và cần được theo dõi và điều trị kịp thời để tránh những biến chứng không mong muốn.
Khi răng mọc không đều và chen chúc thì làm sạch trở nên khó khăn hơn, vì vậy bạn cần chăm sóc răng miệng thật chu đáo. Chải răng hàng ngày là phương pháp hiệu quả nhất để duy trì sức khỏe răng miệng, vì vậy hãy duy trì thói quen chải răng ít nhất hai lần mỗi ngày.
Bạn cũng có thể sử dụng các thiết bị chuyên dụng như máy tăm nước, chỉ nha khoa và bàn chải điện để cải thiện hiệu quả làm sạch. Khi chọn sản phẩm vệ sinh, ưu tiên các sản phẩm có chứa fluoride mà không gây bào mòn để bảo vệ răng hiệu quả. Để giảm thiểu nguy cơ sâu răng và mảng bám, hạn chế ăn đồ ngọt vào buổi tối và làm sạch răng ngay sau mỗi bữa ăn.

Các răng thừa, mọc muộn hay chen chúc thường không có chức năng thiết yếu, do đó nhiều người chọn nhổ bỏ. Trước khi tiến hành, bác sĩ sẽ thực hiện khám tổng quát để đánh giá xem có nên nhổ hay không, dựa trên tình hình sức khỏe và các răng xung quanh. Nếu các răng mọc chen chúc ảnh hưởng đến khớp cắn, chèn ép dây thần kinh và gây đau, bác sĩ sẽ chỉ định nhổ răng.
Với sự phát triển của y học hiện đại, có nhiều loại máy móc và phương pháp gây tê tiên tiến giúp bác sĩ thực hiện việc nhổ răng an toàn và nhanh chóng, hạn chế thời gian nghỉ dưỡng cho bệnh nhân. Tuy nhiên, để đảm bảo an toàn và hiệu quả, bạn nên lựa chọn phòng khám uy tín với bác sĩ có tay nghề cao.

Niềng răng là một phương pháp hiệu quả giúp giải quyết các vấn đề như răng khấp khểnh và chen chúc. Trong khi nhổ răng chỉ có thể loại bỏ răng thừa, niềng răng giúp điều chỉnh vị trí của các răng còn lại.
Ngoài việc xử lý tình trạng răng khấp khểnh, niềng răng cũng có thể khắc phục các vấn đề như răng hô và răng móm. Khi răng được sắp xếp đều đặn trên cung hàm, tình trạng khớp cắn sai cũng sẽ được cải thiện rõ rệt.
Trên đây là những giải đáp người có 36 cái răng thì sao. Về mặt nha khoa, người có 36 cái răng khá hiếm gặp, tình trạng này có thể gây chen chúc hoặc khó khăn trong vệ sinh. Việc có cần nhổ bỏ không hay can thiệp sẽ phụ thuộc vào đánh giá của bác sĩ về tình trạng khớp cắn và sức khỏe nướu của họ.
Dược sĩ Đại họcNguyễn Thanh Hải
Tốt nghiệp Đại học Dược Hà Nội, với hơn 10 năm kinh nghiệm trong lĩnh vực Dược phẩm. Hiện là giảng viên giảng dạy các môn Dược lý, Dược lâm sàng,...