Tốt nghiệp loại giỏi trường Đại học Y Dược Huế. Từng tham gia nghiên cứu khoa học đề tài về Dược liệu. Nhiều năm kinh nghiệm làm việc trong lĩnh vực Dược phẩm. Hiện đang là giảng viên cho Dược sĩ tại Nhà thuốc Long Châu.
Phương Nhi
08/03/2024
Mặc định
Lớn hơn
Kỹ thuật DSA là một công cụ quan trọng hỗ trợ trong việc chẩn đoán và theo dõi các bệnh lý liên quan đến mạch máu, đặc biệt trong các ca phẫu thuật can thiệp đòi hỏi hiểu biết sâu sắc về cấu trúc và tình trạng của các mạch máu.
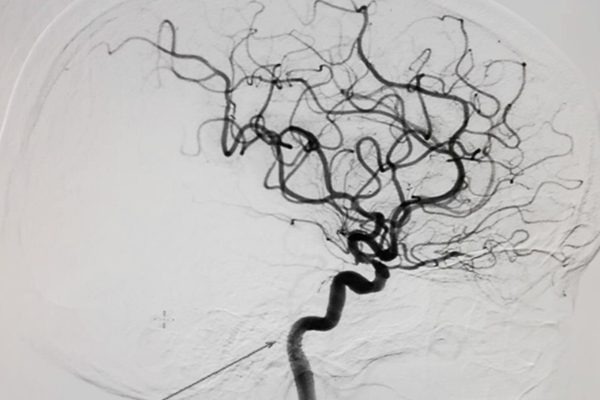
Chụp mạch số hóa xóa nền (DSA) là một phương pháp hình ảnh y khoa sử dụng kỹ thuật X-quang để quan sát mạch máu trong cơ thể. Kỹ thuật này tập trung vào việc tạo ra hình ảnh rõ nét của các mạch máu bằng cách loại bỏ các cấu trúc chắn bức xạ không cần thiết ra khỏi hình ảnh. Qua đó, bác sĩ có thể quan sát, đánh giá rõ ràng và chính xác tình trạng của các mạch máu, bao gồm cả các vấn đề như thuyên tắc, phình động mạch, hay các tắc nghẽn trong hệ thống mạch máu.
Chụp mạch số hóa xóa nền (DSA) là một kỹ thuật nội soi huỳnh quang, thường được sử dụng trong can thiệp X - quang để bác sĩ có thể quan sát chi tiết hình ảnh của các mạch máu trong cơ thể. Phương pháp này giúp loại bỏ các cấu trúc chắn bức xạ từ hình ảnh thông qua kỹ thuật số, từ đó tạo ra các hình ảnh rõ nét của mạch máu.

Hệ thống chụp mạch DSA thường bao gồm các bộ phận sau:
Kỹ thuật DSA cung cấp cái nhìn sâu hơn vào cấu trúc và tình trạng của mạch máu, giúp bác sĩ đưa ra các quyết định chính xác hơn trong quá trình chẩn đoán và can thiệp trong các tình huống y khoa phức tạp liên quan đến mạch máu.
Kỹ thuật chụp DSA là sự kết hợp giữa việc xử lý hình ảnh bằng máy vi tính và quy trình chụp mạch máu theo phương pháp Seldinger. Trong quá trình chụp mạch máu số hóa xóa nền, nguyên lý cơ bản là sử dụng tia X và ánh sáng huỳnh quang để chụp mạch máu trước và sau khi bơm thuốc cản quang vào các vị trí cần kiểm tra. Máy tính sau đó loại bỏ hình ảnh nền, tạo ra một hình ảnh rõ ràng, chi tiết của các cấu trúc tim, động mạch cảnh, bụng, ngực, đùi - làm sáng tỏ hệ thống mạch máu. Điều này hỗ trợ bác sĩ phát hiện kịp thời các dấu hiệu không bình thường trong dòng máu, từ đó giúp chẩn đoán và điều trị chính xác các bệnh lý liên quan đến tuần hoàn máu trong cơ thể.

Bên cạnh đó, kỹ thuật này còn giúp bác sĩ lập kế hoạch phẫu thuật, xác định chính xác vị trí tổn thương trong cơ thể. Điều này rất hữu ích trong việc chẩn đoán và can thiệp kịp thời đối với nhiều bệnh lý về tim mạch, đặc biệt là những trường hợp nhồi máu cơ tim.
Công nghệ chụp mạch DSA đồng thời hỗ trợ cho các phẫu thuật nội soi tim mạch - một phương pháp ít xâm lấn đối với lồng ngực. Điều này giúp bệnh nhân giảm đau, giảm chảy máu, hạn chế thời gian thở máy, giảm thời gian phục hồi sau phẫu thuật, rút ngắn thời gian nằm viện và đảm bảo tính thẩm mỹ so với phương pháp phẫu thuật truyền thống mở bụng. Các ưu điểm này tạo điều kiện thuận lợi hơn cho bệnh nhân trong quá trình điều trị, đồng thời cũng giúp hỗ trợ cho quá trình hồi phục sau phẫu thuật một cách hiệu quả và ít xâm lấn hơn.
Chụp mạch số hóa xóa nền (chụp DSA) được chỉ định trong một số trường hợp đặc biệt khi sử dụng kỹ thuật X-quang can thiệp để đảm bảo hiệu quả cao trong quá trình can thiệp các vấn đề liên quan đến mạch máu. Đây là một công cụ quan trọng trong việc chẩn đoán và điều trị một loạt các bệnh lý mạch máu.
Cụ thể, việc thực hiện chụp DSA được xác định cho những bệnh nhân trải qua các thủ thuật sau:

Ngoài ra, kỹ thuật chụp mạch số hóa xóa nền cũng được áp dụng trong quá trình chẩn đoán và đánh giá các bệnh lý mạch máu như:
Những chỉ định này đặc biệt quan trọng trong việc cung cấp thông tin chính xác và chi tiết, giúp bác sĩ chẩn đoán và lựa chọn các phương pháp can thiệp chính xác và hiệu quả cho từng trường hợp cụ thể về vấn đề mạch máu.
Dược sĩ Đại họcNgô Kim Thúy
Tốt nghiệp loại giỏi trường Đại học Y Dược Huế. Từng tham gia nghiên cứu khoa học đề tài về Dược liệu. Nhiều năm kinh nghiệm làm việc trong lĩnh vực Dược phẩm. Hiện đang là giảng viên cho Dược sĩ tại Nhà thuốc Long Châu.