:format(webp)/phinh_dong_mach_chu_nguc3_64acc1b7e1.jpg)
Phình động mạch chủ ngực (Thoracic Aorta Aneurysm - TAA) là một vấn đề tim mạch nghiêm trọng, có khả năng đe dọa tính mạng nếu không được chẩn đoán và xử lý kịp thời. Thông thường, bệnh tiến triển âm thầm và chỉ biểu hiện khi khối phình bị vỡ. Do đó, phát hiện bệnh từ sớm và điều trị đúng lúc đóng vai trò then chốt trong việc ngăn ngừa các biến chứng nguy hiểm, nặng nề.
:format(webp)/che_do_an_cho_nguoi_bi_phinh_mach_mau_nao_giup_ho_tro_cai_thien_suc_khoe_14a6acc514.jpg)
Phình mạch máu não không chỉ ảnh hưởng đến sự cung cấp dưỡng chất cho não mà còn có thể dẫn đến các vấn đề sức khỏe nghiêm trọng, thậm chí gây tử vong. Một trong những vấn đề được quan tâm là chế độ ăn cho người bị phình mạch máu não để cải thiện tình trạng sức khoẻ.
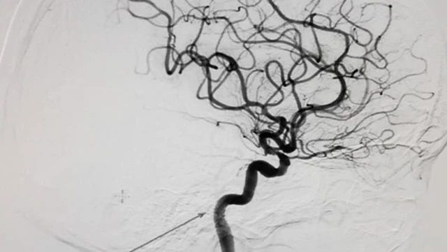
:format(webp)/nguyen_ly_chup_mach_so_hoa_xoa_nen_dsa_eb840d4009.jpg)
Kỹ thuật DSA là một công cụ quan trọng hỗ trợ trong việc chẩn đoán và theo dõi các bệnh lý liên quan đến mạch máu, đặc biệt trong các ca phẫu thuật can thiệp đòi hỏi hiểu biết sâu sắc về cấu trúc và tình trạng của các mạch máu.
:format(webp)/gia_phinh_mach_0df13ad8a2.png)
Giả phình mạch có thể xảy ra ở bất kì động mạch nào khi bị tổn thương. Vì có một số triệu chứng giống nhau nên giả phình mạch dễ bị nhầm lẫn với bệnh phình động mạch. Tùy theo nguyên nhân, vị trí và kích thước của giả phình mạch mà có các phương pháp điều trị khác nhau. Khi có các triệu chứng, nên đến cơ sở y tế kiểm tra để được điều trị sớm và ngăn ngừa các biến chứng có thể nguy hiểm đến tính mạng.
:format(webp)/phinh_dong_mach_tang_15e9c3bdf6.png)
Phình động mạch nội tạng là những vùng bị suy yếu trên thành động mạch ở bụng của bạn, những vùng bị suy yếu này phình lên do áp lực bên trong mạch máu. Chúng có thể gây nguy hiểm nếu bị vỡ và làm xuất huyết bên trong cơ thể. Hầu hết người bệnh không có triệu chứng. Bác sĩ thường tình cờ phát hiện chúng trong các xét nghiệm hình ảnh học mà bạn được đề nghị để chẩn đoán tình trạng bệnh khác.
:format(webp)/phinh_dong_mach_gan_1_c6c561f2bc.jpg)
Gan là một cơ quan quan trọng của cơ thể phụ trách nhiều chức năng quan trọng, bao gồm dự trữ chất dinh dưỡng, hỗ trợ hệ thống miễn dịch, chuyển hoá - thanh thải thuốc và đào thải độc tố. Nó cũng chịu trách nhiệm sản xuất dịch mật, một chất lỏng giúp nhũ tương hoá chất béo để cơ thể có thể hấp thu được.
:format(webp)/phinh_dong_mach_chu_bung_1_22002690b8.png)
Tỷ lệ mới mắc của tình trạng phình động mạch chủ bụng khoảng 0,4 đến 0,67% mỗi năm tại các nước phương Tây. Bệnh chủ yếu xảy ra trên nam giới và tăng mạnh ở những người trên 60 tuổi. Chẩn đoán sớm và có chiến lược điều trị kịp thời rất quan trọng, giúp ngăn ngừa nguy cơ biến chứng của bệnh.
:format(webp)/bung_co_nhip_dap_co_phai_hien_tuong_bat_thuong_01_Cropped_a03d7d92aa.jpg)
Bạn thấy bụng có nhịp đập giống như nhịp tim. Bạn lo lắng không biết đây có phải dấu hiệu cảnh báo của bệnh lý nào đó không? Hãy cùng Nhà thuốc Long Châu đi tìm lời giải đáp qua bài viết dưới đây.
:format(webp)/306_phinh_dong_mach_nao_1952_62e3_large_d76d50684a.jpg)
Phình động mạch não là một loại bệnh thường gặp nguy hiểm, có tỷ lệ tử vong cao khi bị vỡ. Phình động mạch não thường gây đau đầu, mất thị lực, cứng cổ, tê/ yếu một bên mặt, buồn nôn và nôn. Bệnh có thể phát hiện sớm ở nhóm người có yếu tố nguy cơ cao bằng chẩn đoán hình ảnh như CT 64 lát cắt, MRI và DSA. Điều trị bằng cách đặt stent, coil hay phẫu thuật mở để đặt kẹp mạch máu.
:format(webp)/305_phinh_tach_dong_mach_chu_7377_629b_large_be164d6ae3.jpg)
Phình tách động mạch chủ (Aortic Dissection) là hiện tượng máu chảy qua một vết rách ở nội mạc động mạch chủ làm tách rời lớp áo giữa và lớp áo trong, tạo ra một lòng mạch giả (kênh). Vết rách có thể là nguyên phát hoặc thứ phát do huyết khối động mạch và xảy ra ở bất kỳ vị trí nào trên động mạch chủ và một số động mạch lớn khác. Các triệu chứng bao gồm đau ngực đột ngột hoặc đau lưng. Chẩn đoán bằng các xét nghiệm hình ảnh (siêu âm tim qua thực quản, chụp CT mạch, MRI, chụp động mạch chủ cản quang). Điều trị bằng thuốc kiểm soát huyết áp, theo dõi tiến triển, phẫu thuật sửa chữa động mạch chủ và đặt stent nội mạch.