Tốt nghiệp Đại Học Dược Hà Nội - chuyên môn Dược lâm sàng. Hiện đang là giảng viên cho Dược sĩ tại Nhà thuốc Long Châu.
Ánh Vũ
04/01/2024
Mặc định
Lớn hơn
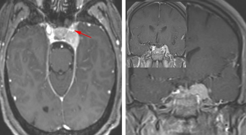
U màng não xoang hang là một thể của u màng não, một khối u phát sinh tại màng não. U màng não nói chung thường là lành tính, tuy nhiên đôi khi có thể là một tình trạng ác tính.
U màng não xoang hang hay u màng não nói chung là một khối u phát triển tại màng não, bao quanh nhu mô não và tủy sống. Bệnh thường tiến triển từ từ, âm thầm nên có thể rất khó phát hiện tại thời điểm đầu. Một số trường hợp u màng não hoặc sau điều trị bệnh sẽ để lại di chứng. Nguyên nhân gây ra u màng não vẫn chưa rõ ràng.
U màng não xoang hang là một loại của u màng não. Đây là những khối u hiếm gặp, gây ảnh hưởng đến vùng xoang hang của bạn. Khu vực này phụ trách kiểm soát các chuyển động của mắt và cảm giác của khuôn mặt.

Do u màng não xoang hang là một loại của u màng não nên các đặc tính cũng tương tự như u màng não nói chung. Về tiến triển, u màng não xoang hang cũng tiến triển âm thầm nên khi phát hiện, khối u thường có kích thước đủ lớn để gây chèn ép khu vực xung quanh, bao gồm não, dây thần kinh và mạch máu lân cận. Thể bệnh này có thể gây nên tình trạng nhìn đôi, chóng mặt và cảm giác đau tại vùng mặt tương ứng. Các triệu chứng của bệnh cũng có thể khó phát hiện và bị nhầm lẫn với các tình trạng sức khỏe khác thường được coi là do tình trạng lão hóa của ở người cao tuổi gây nên. Các phương pháp điều trị u màng não xoang hang cũng tương tự như với u màng não, đó là theo dõi tình trạng tiến triển của bệnh, phẫu thuật loại bỏ khối u, xạ trị, chăm sóc giảm nhẹ hoặc có thể là hóa trị.
U màng não là một khối u phát sinh từ màng não - màng bao quanh nhu mô não và tủy sống. Khối u có thể gây chèn ép lên nhu mô não, dây thần kinh và mạch máu xung quanh. U màng não là loại khối u phổ biến nhất trong các loại u hình thành vùng đầu của cơ thể.

Hầu hết các u màng não phát triển rất chậm, thường kéo dài nhiều năm mà không gây ra triệu chứng. Nhưng đôi khi, tác động của chúng lên nhu mô não, dây thần kinh hoặc mạch máu lân cận có thể gây ra một số triệu chứng nghiêm trọng. Bệnh thường xảy ra phổ biến hơn ở phụ nữ và thường được phát hiện ở những người cao tuổi, tuy nhiên cũng có thể xảy ra ở mọi lứa tuổi.
Hầu hết các u màng não phát triển chậm nên thường người bệnh không có bất kỳ dấu hiệu và triệu chứng nào đáng kể. Do đó người bệnh không phải lúc nào cũng cần điều trị ngay lập tức và có thể theo dõi theo thời gian. Các dấu hiệu và triệu chứng của u màng não thường tiến triển dần dần, thời điểm ban đầu có thể rất khó phát hiện. Tùy thuộc vào vị trí của khối u màng não, các dấu hiệu và triệu chứng có thể bao gồm:

Nguyên nhân gây ra u màng não chưa được biết rõ. Các nhà nghiên cứu cho rằng có điều gì đó đã làm thay đổi một số tế bào trong màng não của bạn và khiến chúng phát triển ngoài khả năng kiểm soát của cơ thể, từ đó dẫn đến hình thành khối u màng não. Một số nguyên nhân có thể liên quan đến di truyền gen hoặc do hormone (những nguyên nhân này dường như xuất hiện thường xuyên hơn ở phụ nữ). Những yếu tố như việc tiếp xúc với bức xạ trước đó hoặc các yếu tố khác vẫn chưa được hiểu biết rõ ràng. Tuy nhiên, các yếu tố nguy cơ gây u màng não có thể kể đến như:
Bệnh u màng não và các phương pháp điều trị bệnh, điển hình như phẫu thuật và xạ trị, có thể gây ra các biến chứng lâu dài, bao gồm:
U màng não có thể khó chẩn đoán vì thường phát triển chậm và ít khi gây ra triệu chứng cho đến khi đạt kích thước đủ lớn để ảnh hưởng đến các vùng lân cận trong não. Để chẩn đoán u màng não, bác sĩ sẽ thực hiện thăm khám các vấn đề sức khỏe của bạn, đồng thời có thể đề xuất một số xét nghiệm hình ảnh, chẳng hạn như:

Đôi khi, nếu bác sĩ còn nghi ngờ chẩn đoán, sinh thiết có thể được chỉ định để xác nhận chẩn đoán u màng não và loại trừ các chẩn đoán có thể khác. Bác sĩ sẽ thực hiện sinh thiết để lấy một mẫu mô nhỏ, sau đó sẽ gửi mẫu mô đó đi kiểm tra để đưa ra chẩn đoán, xác định xem khối u là lành tính hay ác tính và đưa ra quyết định loại bỏ khối u.
Trên đây là một số thông tin về u màng não xoang hang và u màng não nói chung. Nếu như bạn có những dấu hiệu nghi ngờ bệnh, hãy tới thăm khám chuyên khoa thần kinh để được chẩn đoán chính xác bởi các chuyên gia nhé.
Xem thêm:
:format(webp)/KF_1b_LIQ_Tx_J_Pb27_Vsh90_QN_6b_Xz_OB_Jo_U_f0e2294e2e.png)
Dược sĩ Đại họcNguyễn Chí Chương
Tốt nghiệp Đại Học Dược Hà Nội - chuyên môn Dược lâm sàng. Hiện đang là giảng viên cho Dược sĩ tại Nhà thuốc Long Châu.