Dược sĩ Đại học có nhiều năm kinh nghiệm trong việc tư vấn Dược phẩm và hỗ trợ giải đáp thắc mắc về Bệnh học. Hiện đang là giảng viên cho Dược sĩ tại Nhà thuốc Long Châu.
Chí Doanh
03/07/2024
Mặc định
Lớn hơn
Quá sản không điển hình tuyến vú đặc trưng bởi sự mở rộng của các tế bào khối u ở vú. Vậy đó có phải là ung thư vú hay không? Hãy cùng Nhà thuốc Long Châu tìm hiểu về định nghĩa, triệu chứng, nguyên nhân gây quá sản không điển hình tuyến vú và phương hướng điều trị qua bài viết này.
Ngày nay, với sự phổ biến của kỹ thuật chẩn đoán, một số người thường xuyên cảm thấy khó chịu ở vú sẽ được siêu âm, sinh thiết vú kịp thời và được phát hiện mắc chứng quá sản không điển hình. Họ bắt đầu lo sợ vì nghĩ nó sẽ phát triển thành ung thư vú. Vậy có phải quá sản không điển hình tuyến vú là ung thư hay không? Chúng ta sẽ cùng tìm hiểu bài viết dưới đây để biết được câu trả lời.
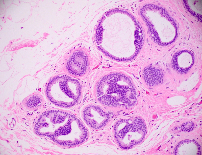
Quá sản không điển hình hay tăng sản không điển hình/loạn sản là tình trạng tăng sinh bất thường của các tế bào biểu mô, được đặc trưng bởi kích thước tế bào có kích thước khác nhau, hình dạng đa dạng, sự sắp xếp rối loạn và mất tính phân cực.
Quá sản không điển hình là biểu hiện hình thái của tổn thương tiền ung thư, thường gặp trong nghiên cứu bệnh lý lâm sàng bao gồm:
Việc phát hiện và điều trị kịp thời những chứng quá sản không điển hình này có thể ngăn ngừa sự xuất hiện của ung thư ở các bộ phận tương ứng. Tuy nhiên, cũng phải chỉ ra rằng không phải tổn thương tiền ung thư nào cũng chắc chắn sẽ chuyển thành ung thư và không phải ung thư nào cũng có giai đoạn tổn thương tiền ung thư rõ ràng.

Quá sản vú là bệnh vú phổ biến nhất ở phụ nữ và có thể xảy ra ở mọi lứa tuổi sau tuổi dậy thì. Tỷ lệ mắc bệnh này ngày càng tăng qua từng năm và có xu hướng trẻ hóa. Bệnh thường không gây ra bất kỳ triệu chứng nào. Hoặc các triệu chứng của bệnh chủ yếu được đặc trưng bởi đau vú theo chu kỳ. Lúc đầu, có hiện tượng sưng và đau lan tỏa, đau nhức rõ rệt ở vú. Cơn đau tăng lên trước kỳ kinh hàng tháng và cơn đau giảm dần hoặc biến mất sau kỳ kinh. Trường hợp nặng sẽ có cảm giác đau dai dẳng trước và sau kỳ kinh. Bệnh nhân thường cho biết có một khối u ở vú nhưng chỉ sờ thấy các tuyến vú dày lên khi khám lâm sàng.
Quá sản không điển hình tuyến vú là do sự thay đổi mang tính chu kỳ của hormone trong cơ thể phụ nữ. Khi mức độ estrogen do buồng trứng tiết ra quá cao và progesterone hoàng thể quá thấp hoặc sự tiết ra của cả hai không phối hợp, nó có thể gây ra sự tăng sinh của các tế bào biểu mô ống vú và mô sợi ở vú. Trong trường hợp bình thường, acini, ống tuyến và mô sợi ở vú của mỗi phụ nữ bước vào tuổi dậy thì đều trải qua một quá trình thay đổi mô như tăng sinh và phục hồi trong mỗi chu kỳ kinh nguyệt. Do sự thay đổi này, mọi phụ nữ có thể bị sưng và đau nhẹ hoặc nặng ở một hoặc cả hai vú trước mỗi kỳ kinh. Tình trạng sưng và đau sẽ biến mất một cách tự nhiên sau kỳ kinh nguyệt. Điều này hoàn toàn không cản trở cuộc sống, học tập và làm việc. Tuy nhiên, khi cơ thể chịu tác động của một số yếu tố căng thẳng nhất định (như stress, quá xúc động, chưa lập gia đình ở tuổi cao, không cho con bú sau khi sinh và mắc một số bệnh mãn tính,...), nó sẽ có thể gây ra tình trạng quá sản ở vú. Nếu không hồi phục hoặc hồi phục không hoàn toàn, theo thời gian, tình trạng quá sản vú sẽ hình thành, biểu hiện là khối u, hạt dạng nốt ở vú, vú sưng và đau, tiết sữa bất thường.

Sự phát triển từ tế bào bình thường đến tế bào khối u phải trải qua một quá trình, cụ thể là bình thường - tăng sản/quá sản - tăng sản/quá sản không điển hình - ung thư biểu mô tại chỗ - ung thư xâm lấn. Do đó, quá sản không điển hình được gọi là tổn thương tiền ung thư. Quá sản không điển hình tuyến vú là sự thay đổi hình thái của tổn thương tiền ung thư. Có một mức độ không điển hình nhất định về hình thái và cấu trúc của các tế bào biểu mô đang tăng sinh, nhưng nó không đủ để chẩn đoán ung thư. Quá sản không điển hình có thể chia thành mức độ nhẹ đến nặng. Trong đó, mức độ nhẹ đến trung bình có thể trở lại bình thường sau khi nguyên nhân được loại bỏ, mức độ nặng/nghiêm trọng rất khó hồi phục và thường biến thành ung thư.

Điều trị quá sản không điển hình phụ thuộc vào mức độ của bệnh. Đối với các tổn thương nhẹ, thường không cần điều trị nhưng cần phải theo dõi thường xuyên. Tuy nhiên, đối với các tổn thương ở mức độ vừa và nặng, việc điều trị bằng phương pháp tự thân khó có thể loại bỏ được nên cần phải có biện pháp điều trị tương ứng. Các phương pháp lâm sàng để điều trị tổn thương vừa và nặng thường là phẫu thuật cắt bỏ kết hợp dùng thuốc. Mô bất thường được loại bỏ thông qua phẫu thuật. Mô được loại bỏ cũng có thể được sử dụng để chẩn đoán bệnh lý (hay còn được gọi là sinh thiết tuyến vú).
Tóm lại, quá sản không điển hình tuyến vú là sự tăng sinh tế bào của các ống tiểu thùy vú và các tế bào biểu mô tuyến nang, trong đó những tế bào đi kèm với tăng sản nhú nội mô có nhiều khả năng phát triển ung thư hơn. Tuy nhiên, điều này không có nghĩa là quá sản không điển hình chắc chắn sẽ phát triển thành ung thư. Nếu quá sản không điển hình được điều trị và theo dõi tích cực, nhiều bệnh trong số đó sẽ ngừng tiến triển hoặc có thể đảo ngược và trở lại bình thường. Vì vậy, cần phải chú ý đầy đủ đến giai đoạn bệnh lý quan trọng này của chứng tăng sản vú không điển hình.
Xem thêm:
Dược sĩ Đại họcNguyễn Mỹ Huyền
Dược sĩ Đại học có nhiều năm kinh nghiệm trong việc tư vấn Dược phẩm và hỗ trợ giải đáp thắc mắc về Bệnh học. Hiện đang là giảng viên cho Dược sĩ tại Nhà thuốc Long Châu.