Dược sĩ Đại học có nhiều năm kinh nghiệm trong việc tư vấn Dược phẩm và hỗ trợ giải đáp thắc mắc về Bệnh học. Hiện đang là giảng viên cho Dược sĩ tại Nhà thuốc Long Châu.
Quỳnh Loan
14/06/2024
Mặc định
Lớn hơn
Khi xuất hiện tình trạng răng bị trong suốt, bạn không được bỏ qua vì đây chính là dấu hiệu cảnh báo cho thấy men răng của bạn bị mất trầm trọng. Răng bị trong suốt có cách nào khắc phục không?. Bài viết dưới đây sẽ giúp bạn có được câu trả lời chi tiết nhất.
Màu sắc của răng là dấu hiệu cho chúng ta biết về vấn đề nào đó có liên quan mật thiết đến sức khỏe răng miệng nói chung và các bệnh lý về răng nói riêng. Nên khi răng bị trong suốt, bạn cần đi khám nha khoa ngay để được bác sĩ kiểm tra và đưa ra hướng dẫn khắc phục phù hợp với tình trạng cụ thể của bạn.
Theo bác sĩ chuyên khoa, răng bị trong suốt báo hiệu cho chúng ta biết về tình trạng mất men răng trầm trọng. Vậy men răng là gì, có vai trò ra sao?

Men răng là một lớp men đặc có màu trắng, bao phủ quanh phần thân răng. Men răng thông thường sẽ tập trung và dày hơn ở phần trên mặt nhai, càng xuống gốc chân răng thì lớp men sẽ càng mỏng đi.
Lớp men răng bao bọc ngà răng (phần có màu vàng và đặc ít hơn). Ngà răng là bộ phận chính góp phần hình thành nên cấu trúc răng, chứa bên trong là tủy răng cùng hệ thống dây thần kinh răng phân bố dày đặc.
Men răng được hình thành từ nhiều loại khoáng chất, trong đó có khoáng chất hydroxyapatite. Các loại khoáng chất có trong men răng giữ vai trò bảo vệ, giúp cho răng không bị tình trạng ê buốt, nhiễm khuẩn cũng như giúp nâng cao khả năng chịu đựng của răng đối với hoạt động ăn uống hàng ngày.
Nhờ có lớp men răng mà răng chúng ta có thể tránh khỏi những tác nhân gây ảnh hưởng xấu đến sức khỏe răng miệng, chẳng hạn như sâu răng, mòn răng,... Mặt khác, trong quá trình ăn nhai, những chiếc răng sẽ tiếp xúc với nhau bởi một lực tác động nhất định, nhờ có lớp men răng bảo vệ mà răng không bị những tác động này làm cho nhanh hư hỏng.
Đến đây bạn đã hiểu được men răng là gì cũng như vai trò của men răng đối với sức khỏe của răng ra sao rồi. Một khi men răng bị ăn mòn sẽ kéo theo rất nhiều hệ lụy, bao gồm cả việc răng bị trong suốt.

Nguyên nhân khiến những chiếc răng gặp phải tình trạng mòn men răng với biểu hiện mỏng màng men hay bị phân hủy dần chủ yếu là do môi trường khoang miệng chứa nhiều axit gây ra. Axit nhiều lên trong khi độ pH giảm dần sẽ gây ra tình trạng mất cân bằng, những axit dư thừa dần xâm chiếm khoang miệng, đồng thời bào mòn đi những lớp men răng cứng chắc vốn có.
Một nguyên nhân khác góp phần gây ra tình trạng mòn men răng đó là do chứng ợ nóng kéo dài, bệnh trào ngược dạ dày,... Những người mắc các bệnh lý này thường có lượng axit trong dạ dày tăng cao, bị trào ngược lên trên, gây tích tụ và dần dần làm mài mòn men răng.
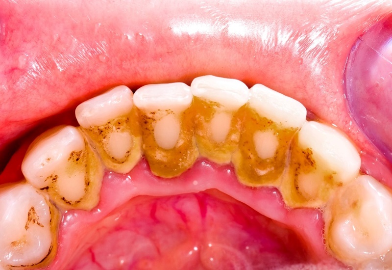
Ngoài ra, mảng bám cũng là một trong những nguyên nhân khiến men răng bị mài mòn. Răng chúng ta rất dễ bị những khối mảng bám chứa đầy vi khuẩn có tính axit cao bám vào. Nếu không được loại bỏ định kỳ, những mảng bám này sẽ bắt đầu phá hoại men răng theo thời gian tồn tại của mảng bám.
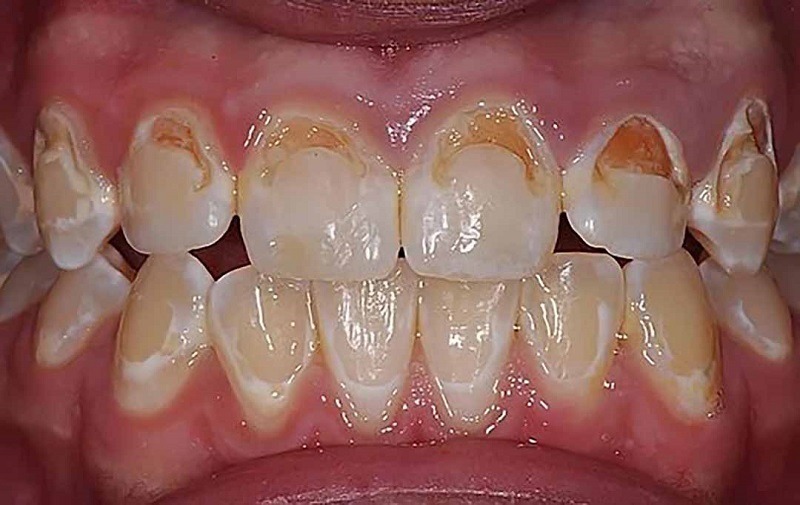
Răng bị trong suốt là dấu hiệu cho thấy men răng mòn. Cụ thể
Những lớp mảng bám tích tụ ăn mòn men răng do hình thành lâu được gọi là khử khoáng. Bạn có thể nhận thấy qua màu sắc, cụ thể màu răng trắng hơn hoặc mờ hơn so với những vị trí khác.

Những người có thói quen ăn các loại thực phẩm chua, đồ ăn có tính axit cao,... rất dễ làm cho men răng bị mài mòn dần. Dễ nhận thấy là bề mặt răng trông rất mịn và có độ trong suốt (độ bóng) cao hơn so với những chiếc răng bình thường khác.
Men răng bị mòn dẫn đến răng bị trong suốt cùng những hệ lụy sức khỏe răng miệng khác. Điều đáng nói là răng bị trong suốt là tình trạng khá phổ biến, do đó trên thị trường hiện nay rất nhiều sản phẩm (kem đánh răng, nước súc miệng lẫn các sản phẩm chăm sóc bảo vệ răng khác) được giới thiệu mang lại công dụng giúp hồi phục men răng. Điều này có đúng không?
Cơ thể con người chúng ta vô cùng kì diệu. Da khi bị tổn thương có thể được chữa lành sau đó, móng tay/chân lẫn tóc sau khi cắt một thời gian ngắn sẽ dài ra; thậm chí chẳng may bị gãy xương, sau một thời gian thì xương gãy sẽ đan vào nhau, hồi phục. Tuy nhiên, điều đáng nói là khả năng tự phục hồi của cơ thể lại không đúng trong trường hợp của men răng. Nghĩa là khi men răng đã bị tổn thương, bị mài mòn và hỏng thì nó sẽ biến mất, không có cách nào có thể hồi phục men răng lại.
Trong cơ thể con người, men răng là mô cứng nhất. Nhưng do men răng không phải là mô sống nên nó sẽ không thể được tái tạo lại một cách tự nhiên. Mặt khác, men răng cũng không thể mọc lại theo cách nhân tạo. Thậm chí bạn có dùng những loại kem đánh răng đặc biệt cũng không thể giúp hồi phục lại men răng.
Giữ răng luôn chắc khỏe, không mòn men răng là điều rất quan trọng. Trong cuộc sống hàng ngày, bạn cần chú ý những điều sau đây mới có thể giữ cho hàm răng luôn khỏe mạnh, phòng ngừa nguy cơ mòn men răng, răng bị trong suốt:
Giữ vệ sinh răng miệng luôn sạch sẽ mỗi ngày bằng cách đánh răng đều đặn 2 – 3 lần/ngày, sử dụng chỉ nha khoa để làm sạch thức ăn thừa có thể bám vào kẽ răng, chân răng. Bên cạnh đó, nếu có điều kiện bạn hãy kết hợp máy tăm nước để hỗ trợ làm sạch khoang miệng.
Chế độ dinh dưỡng cũng góp phần giúp răng chắc khỏe. Ăn uống đúng cách, khoa học, tránh ăn những thực phẩm chứa nhiều axit vì chúng sẽ khiến men răng bị ảnh hưởng, lâu dần sẽ làm mòn men răng.
Khám răng định kỳ mỗi 6 tháng/lần để kịp thời phát hiện những vấn đề bất thường có thể xảy ra và xử lý triệt để, ngăn ngừa biến chứng.

Trên đây là thông tin giúp bạn hiểu rõ hơn về tình trạng răng bị trong suốt là do đâu, từ đó bạn sẽ có biện pháp chủ động phòng ngừa hiệu quả. Khi phát hiện có vấn đề răng miệng bất thường, điều bạn cần làm ngay là đi khám nha khoa để kiểm tra tình trạng cụ thể và được tư vấn phương pháp khắc phục.
Dược sĩ Đại họcNguyễn Mỹ Huyền
Dược sĩ Đại học có nhiều năm kinh nghiệm trong việc tư vấn Dược phẩm và hỗ trợ giải đáp thắc mắc về Bệnh học. Hiện đang là giảng viên cho Dược sĩ tại Nhà thuốc Long Châu.