Tốt nghiệp loại giỏi trường Đại học Y Dược Huế. Từng tham gia nghiên cứu khoa học đề tài về Dược liệu. Nhiều năm kinh nghiệm làm việc trong lĩnh vực Dược phẩm. Hiện đang là giảng viên cho Dược sĩ tại Nhà thuốc Long Châu.
Văn Khang
24/04/2025
Mặc định
Lớn hơn
Thông thường, từ tuần thứ 5 đến thứ 6 của thai kỳ, siêu âm thường cho thấy yolksac và phôi thai. Tuy nhiên, thai 5 tuần chưa có yolksac chưa có phôi có sao không?
Nhiều phụ nữ thường cảm thấy bất an khi siêu âm chỉ ra thai 5 tuần chưa có yolksac chưa có phôi. Điều này đặt ra câu hỏi liệu tình trạng này có gì đặc biệt và có đáng lo ngại không. Bài viết dưới đây sẽ trả lời những thắc mắc này, giúp bạn hiểu rõ hơn về tình trạng siêu âm với Yolksac. Hãy cùng theo dõi bài viết dưới đây của Nhà Thuốc Long Châu để có cái nhìn tổng quan hơn về vấn đề trên.
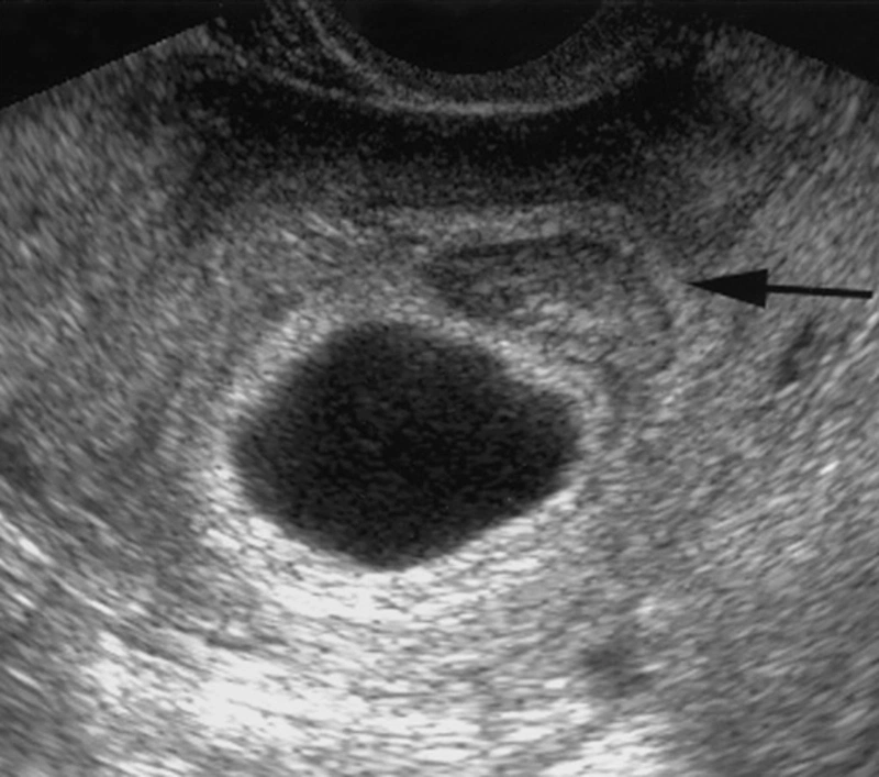
Để kiểm tra xem thai 5 6 tuần có yolksac chưa có phôi, mẹ cần hiểu yolksac là gì.
Yolksac còn được gọi là túi noãn hoàng là cấu trúc đầy đủ đầu tiên của thai nhi. Nó xuất hiện khi trứng được thụ tinh thành công và phôi di chuyển vào tử cung để bắt đầu quá trình phát triển. Túi noãn hoàng đóng vai trò quan trọng trong giai đoạn này.
Trong những tuần đầu thai kỳ, yolksac xuất hiện để chuẩn bị cho sự phát triển của nhau thai. Từ tuần thứ 3 đến 4, nó cung cấp dinh dưỡng để hỗ trợ sự phát triển của phôi thai.
Khi phôi phát triển, túi noãn hoàng sẽ tự thoái hóa dần. Nó trở thành cuống noãn hoàng, đảm nhận vai trò quan trọng trong việc tạo máu, sau đó dần biến mất để nhường chỗ cho sự phát triển của nhau thai.
Tóm lại, túi noãn hoàng là một phần quan trọng xuất hiện sớm và ảnh hưởng lớn đến sự phát triển của phôi thai trong giai đoạn đầu. Thiếu nó có thể dẫn đến sự ngừng phát triển của bào thai.

Vậy thai 5 tuần chưa có yolksac chưa có phôi có sao không? Theo chuyên gia y tế, trường hợp mẹ bầu ở tuần thứ 5 với yolksac mà chưa có phôi là khá phổ biến. Sự hình thành của phôi thai phụ thuộc vào điều kiện sức khỏe và sự phát triển riêng biệt của từng bào thai.
Mỗi người là một cá thể độc nhất, vì vậy, trường hợp thai 5 tuần có yolksac mà chưa có phôi là điều hoàn toàn bình thường. Không phải tất cả mọi thai nhi đều phát triển theo cùng một cách, do đó, mẹ bầu không cần phải lo lắng quá mức về vấn đề này.
Theo các nghiên cứu, quá trình yolksac phát triển thành phôi thai thường mất từ 1 đến 2 tuần, và thời gian này có thể khác nhau đối với mỗi người. Thông thường, phôi thai bắt đầu hình thành từ tuần thứ 6 - 7 của thai kỳ. Đồng thời, nếu phôi thai quá nhỏ, máy siêu âm có thể không nhìn thấy nó. Chỉ khi phôi thai đạt kích thước 2mm trở lên, nó mới có thể được phát hiện qua siêu âm.
Vì vậy, đối với các mẹ bầu ở tuần thứ 5 mà yolksac chưa có phôi, có thể là do phôi chưa hình thành hoặc quá nhỏ. Trong trường hợp này, các bác sĩ thường đề xuất siêu âm lại ở tuần thứ 7 để kiểm tra phôi thai và lắng nghe nhịp tim.
Vì vậy, nếu bạn đang trải qua tình trạng này, hãy yên tâm và tuân theo lịch tái khám của bác sĩ để theo dõi sát sao sự phát triển của thai nhi.

Kết quả siêu âm dù có Yolksac vẫn cần sự quan tâm đặc biệt từ phía các bà bầu, vì không phải lúc nào đó cũng là dấu hiệu bình thường trong thai kỳ. Khi siêu âm phát hiện Yolksac, bác sĩ thường xem xét kích thước của túi noãn hoàng để đưa ra đánh giá chính xác về sức khỏe của mẹ và thai nhi.
Thông thường, độ dày của túi noãn hoàng không nên vượt quá 5mm. Nếu túi quá dày, tỷ lệ thành công của quá trình hình thành phôi thai giảm đi. Đối với túi dày hơn 5mm, mức độ rủi ro của các vấn đề thai kỳ nguy hiểm tăng cao, đặc biệt là rủi ro sảy thai trong ba tháng đầu.
Nếu bạn là một bà bầu có túi noãn hoàng dày hơn mức bình thường, bác sĩ chuyên khoa sẽ hỗ trợ bạn trong việc quản lý sức khỏe thai nhi. Có thể bạn sẽ được khuyến cáo thực hiện các biện pháp can thiệp bên ngoài để đảm bảo sự an toàn cho thai kỳ.
Dưới đây là những điều mà mẹ cần làm:


Trên đây là một số thông tin về tình trạng thai 5 tuần chưa có yolksac chưa có phôi. Trường hợp thai này cần phải được kiểm tra và làm thêm một số xét nghiệm càng sớm càng tốt đã biết chắc chắn nguyên nhân, từ đó có hướng xử trí tốt nhất.
Xem thêm: Thai 4 tuần có phôi chưa? Quá trình hình thành phôi thai
Dược sĩ Đại họcNgô Kim Thúy
Tốt nghiệp loại giỏi trường Đại học Y Dược Huế. Từng tham gia nghiên cứu khoa học đề tài về Dược liệu. Nhiều năm kinh nghiệm làm việc trong lĩnh vực Dược phẩm. Hiện đang là giảng viên cho Dược sĩ tại Nhà thuốc Long Châu.