Tốt nghiệp Đại Học Dược Hà Nội - chuyên môn Dược lâm sàng. Hiện đang là giảng viên cho Dược sĩ tại Nhà thuốc Long Châu.
21/06/2023
Mặc định
Lớn hơn
Cùng tìm hiểu thế nào là viêm lợi phì đại và nguyên nhân gây bệnh thông qua bài viết sau. Nhận biết sớm những dấu hiệu bệnh cùng giúp cho việc điều trị được tiến hành kịp thời, tránh các biến chứng ảnh hưởng đến nướu răng cũng như sức khỏe răng miệng nói chung.
Viêm lợi phì đại là tình trạng các mô nướu xung quanh răng phát triển quá mức dẫn đến viêm nhiễm, gây đau đớn xung quanh chân răng. Cùng tìm hiểu những nguyên nhân gây bệnh và cách xử lý để tránh biến chứng nguy hiểm.
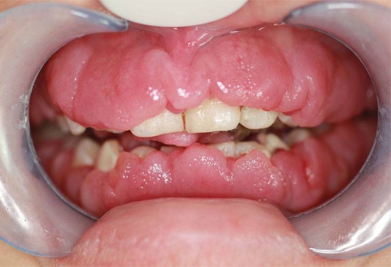
Viêm lợi phì đại là một biến chứng của bệnh viêm lợiViêm lợi phì đại là một biến chứng của bệnh viêm lợi, với biểu hiện đặc trưng là các mô nướu răng phát triển lớn bất thường bao phủ thân răng. Khởi phát bệnh là do chứng viêm lợi thường gặp, nhưng không phải ai bị viêm lợi cũng sẽ bị phì đại. Đây có thể là hệ quả do giai người bệnh chủ quan không điều trị viêm lợi dứt điểm và đúng cách. Từ đó dẫn đến hậu quả bệnh tái phát liên tục với những biểu hiện nặng, lâu dần chuyển sang phì đại lúc nào không hay.
Những biểu hiện của bệnh viêm lợi phì đại:
Viêm lợi phì đại là do vệ sinh răng miệng không đúng cáchPhần lớn những trường hợp viêm lợi phì đại là do vệ sinh răng miệng không đúng cách, dẫn đến răng miệng bị nhiễm khuẩn. Sự xâm nhập của vi khuẩn sau thời gian khu trú tại chỗ sẽ nhanh chóng lây lan qua các khu vực xung quanh, hình thành những mảng bám trên bề mặt răng. Đặc biệt là khu vực nướu bao quanh chân răng sẽ bị ảnh hưởng nhiều, từ đó gây viêm lợi.
Tác dụng phụ của thuốc điều trị hoặc hệ quả của sau khi điều trị một số bệnh lý nha khoa có thể gây viêm nướu phì đại. Điều này vẫn đang được nghiên cứu về tính di truyền. Một số loại thuốc làm tăng nguy cơ viêm nướu có thể kể đến như: thuốc điều trị huyết áp, thuốc chống co giật, thuốc ức chế hệ thống miễn dịch,...
Vì thế nếu bạn đang dùng những loại thuốc này mà xuất hiện biểu hiện viêm lợi thì nên báo với bác sĩ để được thay đổi loại thuốc phù hợp.
U xơ nướu hay còn gọi là tăng sản nướu di truyền là một loại viêm nướu hiếm gặp. Chúng bắt đầu phát sinh khi răng sữa bắt đầu mọc, vì khi các răng vĩnh viễn mọc lên, chúng cũng phát triển theo và và gây viêm lợi phì đại. Chúng sẽ dần dần bao phủ toàn bộ thân răng, chỉ gây đau khó chịu cho đến khi mô phì đại bao phủ một phần của bề mặt răng.
Ăn uống không khoa học là nguyên nhân chính gây viêm lợi phì đạiĐây cũng là một trong những nguyên nhân chính gây viêm lợi phì đại, khi người bệnh có chế độ ăn uống thất thường đồng thời không chải răng không đúng cách.
Phụ nữ đang trong thời kỳ kinh nguyệt hoặc bệnh nhân tiểu đường cũng có nguy cơ cao mắc chứng viêm lợi phì đại do nội tiết thay đổi hoặc sức đề kháng bị suy yếu.
Khi xuất hiện những dấu hiệu của viêm lợi phì đại, bạn nên chú ý kỹ trong việc vệ sinh răng miệng và chế độ ăn uống hằng ngày như:
Nhanh chóng đến bệnh viện để được bác sĩ thăm khám khi bị viêm lợiNhanh chóng đến bệnh viện để được bác sĩ thăm khám. Trong những trường hợp nhẹ, bác sĩ có để giảm nhanh cơn đau bằng cách loại thuốc giảm đau, kháng viêm và kháng sinh. Tại viêm lợi phì đại nặng, bác sĩ sẽ tiến hành loại bỏ các mô nướu nhiễm trùng thông qua các cuộc tiểu phẫu.
Cao răng và mảng bám răng cùng với vi khuẩn trong ổ răng là yếu tố khởi phát bệnh viêm lợi. Sau đó nếu người bệnh không chữa trị dứt điểm chúng ta phát tán độc tố, hình thành mảng bám vào cao răng. Vì thế để ngăn biến chứng, bác sĩ sẽ tiến hành lấy cao răng, dùng oxy già 6% rửa sạch miệng, sát trùng súc miệng oxy già 0,5%.
Việc này giúp sát khuẩn và tiêu diệt các vi khuẩn gây bệnh trong khoang miệng. Sau đó chấm thuốc giảm đau, làm se lợi. Trong quá trình này người bệnh sẽ được dùng thêm vitamin C để tăng cường đề kháng và uống kháng sinh để tránh nhiễm trùng.
Xuân Trúc
Nguồn: Tổng hợp
:format(webp)/KF_1b_LIQ_Tx_J_Pb27_Vsh90_QN_6b_Xz_OB_Jo_U_f0e2294e2e.png)
Dược sĩ Đại họcNguyễn Chí Chương
Tốt nghiệp Đại Học Dược Hà Nội - chuyên môn Dược lâm sàng. Hiện đang là giảng viên cho Dược sĩ tại Nhà thuốc Long Châu.