Tốt nghiệp Đại học Dược Hà Nội, với hơn 10 năm kinh nghiệm trong lĩnh vực Dược phẩm. Hiện là giảng viên giảng dạy các môn Dược lý, Dược lâm sàng,...
Thị Ánh
26/07/2024
Mặc định
Lớn hơn
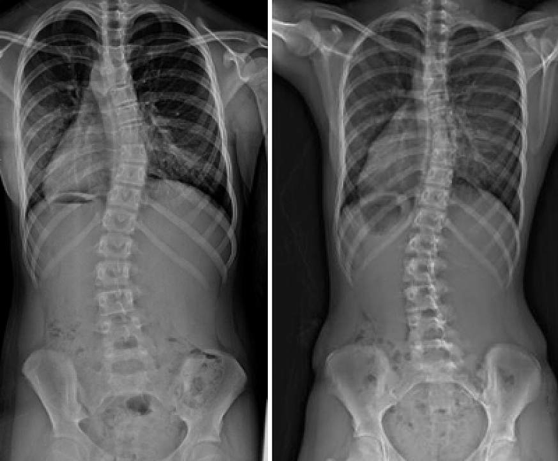
Cột sống được tạo thành từ rất nhiều xương (gọi là đốt sống) được nối với nhau bằng một loại mô đàn hồi gọi là sụn. Điều này mang lại sự linh hoạt trong việc uốn cong, duỗi người, giữ thăng bằng và thậm chí là đi lại. Vẹo cột sống là khi các đốt sống tạo thành một đường cong thay vì thẳng. Trẻ em ở mọi lứa tuổi kể cả trẻ sơ sinh đều có thể bị vẹo cột sống. Loại vẹo cột sống phổ biến nhất được gọi là vẹo cột sống vô căn, cũng là thể vẹo cột sống ở thanh thiếu niên thường gặp.
Vẹo cột sống vô căn ở thanh thiếu niên (AIS) là dạng vẹo cột sống ở trẻ em phổ biến nhất xảy ra vào thời điểm trẻ đang phát triển nhanh chóng. Trong nhiều trường hợp, đường cong cột sống bất thường vẫn ổn định, mặc dù ở một số trẻ, nó trở nên nghiêm trọng hơn theo thời gian. Vẹo cột sống ở thanh thiếu niên và cách điều trị được chúng tôi trình bày trong bài viết dưới đây.
Vẹo cột sống vô căn ở thanh thiếu niên là tình trạng cột sống bị cong bất thường, xuất hiện ở tuổi thơ ấu hoặc thanh thiếu niên. Thay vì phát triển thẳng, cột sống phát triển cong sang hai bên, thường có hình chữ “S” hoặc “C” thon dài; xương cột sống cũng hơi xoắn hoặc xoay. Vẹo cột sống ở thanh thiếu niên xuất hiện trong giai đoạn tăng trưởng nhanh chóng của thanh thiếu niên. Trong nhiều trường hợp, đường cong cột sống bất thường vẫn ổn định, mặc dù ở một số trẻ tình trạng này trở nên nghiêm trọng hơn theo thời gian. Không rõ lý do, những đường cong trầm trọng và tiến triển xảy ra thường xuyên hơn ở bé gái so với bé trai. Tuy nhiên, vẹo cột sống nhẹ cũng phổ biến như nhau ở bé gái và bé trai.

Chứng vẹo cột sống nhẹ thường không gây đau, khó cử động hoặc khó thở. Nó chỉ có thể được chẩn đoán nếu được phát hiện khi khám sức khỏe định kỳ hoặc khám sàng lọc chứng vẹo cột sống ở trường. Các dấu hiệu phổ biến nhất của tình trạng này bao gồm độ nghiêng hoặc không đồng đều (không đối xứng) ở vai, hông hoặc eo hoặc có một chân có vẻ dài hơn chân kia. Một tỷ lệ nhỏ trẻ em bị ảnh hưởng sẽ bị cong vẹo cột sống nghiêm trọng hơn.
Vẹo cột sống có thể xảy ra như một đặc điểm của các tình trạng khác, bao gồm nhiều hội chứng di truyền. Tuy nhiên, chứng vẹo cột sống vô căn ở thanh thiếu niên thường tự xảy ra mà không có dấu hiệu, triệu chứng nào ảnh hưởng đến các bộ phận khác của cơ thể như tim bẩm sinh, tinh hoàn ẩn hay lỗ tiểu thấp.
Vẹo cột sống vô căn là một điều bí ẩn về mặt y học. Không ai biết chắc chắn tại sao mọi người lại mắc bệnh này, nhưng nghiên cứu cho thấy rằng bệnh này có tính di truyền trong gia đình. Chứng vẹo cột sống vô căn không phải do những việc như mang ba lô nặng, tư thế xấu, chơi thể thao hay bất cứ điều gì khác mà bạn có thể làm. Bạn không có quyền kiểm soát liệu mình có bị vẹo cột sống hay không, điều này là do gen của bạn.
Đôi khi chứng vẹo cột sống rất dễ nhận thấy. Đường cong ở cột sống có thể khiến cơ thể nghiêng sang trái hoặc phải. Nếu bạn bị vẹo cột sống, bạn có thể trông như đang nghiêng sang một bên. Một số người có một bên vai cao hơn bên kia hoặc một bên bả vai nhô ra nhiều hơn bên kia. Nếu cột sống của bạn bị xoắn, một bên lồng ngực có thể nhô ra nhiều hơn khi cúi người xuống. Thông thường, chứng vẹo cột sống không rõ ràng.

Phân độ vẹo cột sống:
Đường cong nghiêm trọng có thể ảnh hưởng đến phổi. Các chuyên gia chỉnh hình thường có thể làm việc với bệnh nhân để ngăn chặn đường cong đạt đến điểm này.
Hầu hết các trường hợp cong vẹo cột sống nhẹ đều không cần điều trị. Nếu bạn bị cong vẹo nhẹ, bạn cần phải đi kiểm tra thường xuyên để chắc chắn rằng nó không to hơn. Chứng vẹo cột sống có nhiều khả năng trở nên tồi tệ hơn khi xương của bạn vẫn đang phát triển. Vì vậy, bác sĩ sẽ lên lịch để bạn tái khám theo dõi tình trạng này.
Khi tình trạng cong vẹo cột sống trở nên tồi tệ hơn hoặc gây ra vấn đề, bác sĩ có thể sẽ cho c cho đến khi giai đoạn phát triển hoàn tất. Nẹp không làm biến mất đường cong hiện có nhưng có thể ngăn đường cong trở nên tồi tệ hơn.
Những người bị vẹo cột sống nặng có thể cần phải phẫu thuật. Không có cách khắc phục nhanh chóng chứng vẹo cột sống. Việc đeo nẹp hoặc hồi phục sau phẫu thuật sẽ mất một thời gian. Đối với một số người, điều này có thể khó khăn.

Có một số loại đai cố định lưng khác nhau. Nếu bạn cần phải nẹp, chuyên gia chỉnh hình sẽ quyết định số giờ bạn sẽ đeo nó mỗi ngày và đêm. Nẹp hoạt động như một thiết bị giữ giúp đường cong không bị xấu đi, nẹp sẽ không làm cho cột sống của bạn thẳng. Nhưng nếu nó làm tốt công việc của mình, đường cong của bạn sẽ không tệ hơn. Đeo nẹp đúng cách có thể giảm tỉ lệ phẫu thuật.
Một số thanh thiếu niên bị vẹo cột sống nặng cần một loại phẫu thuật gọi là hợp nhất cột sống. Trong quá trình phẫu thuật, bác sĩ phẫu thuật chỉnh hình sẽ làm thẳng cột sống càng nhiều càng tốt và giữ nó cố định bằng thanh và ốc vít. Bằng cách đó, đường cong sẽ được cải thiện. Sau khoảng một năm, xương sẽ được hợp nhất hoàn toàn. Những thanh kim loại không còn cần thiết nữa, nhưng nó được để lại trong cơ thể vì nó không gây hại gì và việc đưa chúng ra ngoài cần phải thực hiện một cuộc phẫu thuật khác.

Khi điều trị kết thúc, những người bị chứng vẹo cột sống có thể sống một cuộc sống bình thường và năng động. Nếu được điều trị đúng cách khi còn nhỏ hoặc thiếu niên, cột sống thường sẽ không cong thêm nữa sau khi đã lớn lên.
Chứng vẹo cột sống ở thanh thiếu niên thường là vô căn và xảy ra trong thời kỳ tăng trưởng cao nhất của trẻ từ 13 đến 15 tuổi. Độ cong phát triển vào thời điểm đó có thể ảnh hưởng không chỉ đến chức năng cột sống của cá nhân mà còn cả sự tự tin của họ. Việc nắn thẳng những chiếc đốt sống bị lệch nặng sẽ loại bỏ nỗi lo lắng đó để những người trẻ tuổi có thể tập trung vào mọi thứ khác đang diễn ra trong cuộc sống.
Xem thêm:
Dược sĩ Đại họcNguyễn Thanh Hải
Tốt nghiệp Đại học Dược Hà Nội, với hơn 10 năm kinh nghiệm trong lĩnh vực Dược phẩm. Hiện là giảng viên giảng dạy các môn Dược lý, Dược lâm sàng,...