Thị Thu
07/10/2025
Mặc định
Lớn hơn
Khi phát hiện u nhú lưỡi gà hay bất kỳ u nhú ở bộ phận nào khác đều khiến người bệnh rơi vào trạng thái lo âu, sợ hãi liệu không biết liệu mình đang mắc bệnh gì, có nguy hiểm đến tính mạng hay không?
U nhú lưỡi gà gây khó khăn trong việc ăn uống và sinh hoạt hằng ngày của bệnh nhân. Bài viết dưới đây Nhà thuốc Long Châu sẽ cung cấp cho quý độc giả những thông tin cần thiết nhất về tình trạng này.
U nhú là một dạng khối u mềm đặc trưng, và đặc điểm nổi bật của nó là bề mặt trơn láng và khả năng phát triển từ cuống hoặc nhú. Đây là một loại u có thể xuất hiện trên bất kỳ khu vực nào của da, nhưng thường thấy ở các vùng da thường xuyên tiếp xúc với ánh nắng mặt trời như mặt, cổ, hoặc những vùng da trải qua sự ma sát đặc biệt, như nách, dưới vú, hậu môn, và bẹn.

Mặc dù có thể xuất hiện ở mọi nơi, u nhú thường thấy với sự đa dạng về màu sắc, bao gồm các tông màu từ vàng, nâu đến màu da tự nhiên hoặc thậm chí là đen. Kích thước của chúng cũng có thể biến động từ 1 đến 10mm. Điều này tạo ra một hình thái đặc trưng, làm cho chúng dễ nhận diện và quan sát trong quá trình đánh giá y tế.
Một loại u nhú thường gặp và gây nhiều bệnh là u nhú sinh dục. U nhú sinh dục bao gồm các đợt u hoặc sần nổi trên bề mặt da ở vùng sinh dục. Đây là thuật ngữ tổng quát, kết hợp nhiều loại bệnh khác nhau, bao gồm các tình trạng như chuỗi hạt ngọc dương vật, u mềm treo, nốt Fordyce, và có thể là biểu hiện của việc nhiễm virus tại vùng sinh dục, gây ra sự phát triển bất thường về kích thước và số lượng tế bào vùng thượng bì, như sùi mào gà, u mềm lây.
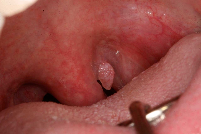
Theo các chuyên gia, việc thực hiện quan hệ tình dục không an toàn, đặc biệt là quan hệ bằng miệng, có thể dẫn đến lây lan virus HPV và gây nhiễm trùng lưỡi, tạo ra tình trạng u nhú ở lưỡi gà. Ngoài ra, u nhú ở lưỡi gà cũng có thể phát sinh từ các bệnh lý họng như viêm họng hạt, viêm amidan, viêm hầu họng. Các u nhú ở lưỡi gà thường xuất hiện ban đầu có màu trắng hoặc hồng nhạt, với kích thước nhỏ tí, dễ khiến người bệnh không chú ý. Chúng có hình dạng giống như chiếc đĩa bẹt nhỏ, và sau một thời gian phát triển, chúng có thể trở thành các khối mụn sần sùi.

Khi xuất hiện dấu hiệu u nhú ở lưỡi, quan trọng không bỏ qua và nên đến chuyên khoa bệnh lây truyền qua đường tình dục để kiểm tra sớm. Các triệu chứng này có thể gây viêm loét trong khu vực lưỡi và họng, đe dọa đến đường thở và có thể liên quan đến ung thư vòm họng, đòi hỏi sự chăm sóc y tế kịp thời để bảo vệ sức khỏe.
U nhú lưỡi gà không chỉ tạo ra sự bất tiện với cảm giác vướng và đau rát, mà còn gây ra nhiều hậu quả nghiêm trọng khác, ví dụ như:
U nhú ở lưỡi gà khi phát bệnh có khả năng lây lan nhanh chóng, có thể xuất hiện đơn lẻ hoặc hình thành thành cụm lớn. Từ vị trí trên lưỡi, những u nhú này có thể mở rộng xuống vòm họng, môi, và nướu của người bệnh. Điều này là nguyên nhân chính gây cảm giác đau rát và khó khăn khi ăn uống.
Quan hệ bằng miệng thường được coi là một phần quan trọng của trải nghiệm tình dục. Tuy nhiên, khi gặp vấn đề với u nhú ở lưỡi gà, người bệnh có thể trải qua đau rát, cảm giác khó chịu và tự ti khi giao tiếp với đối tác. Tình trạng này không chỉ gây khó khăn trong việc thực hiện quan hệ tình dục mà còn ảnh hưởng đến khả năng đạt được khoái cảm như thường lệ. Điều này thường tạo ra những thách thức tâm lý và tình cảm, yêu cầu sự đồng thuận và hỗ trợ của đối tác để xử lý hiệu quả vấn đề này trong mối quan hệ.

Khi đối mặt với vấn đề u nhú lưỡi gà, người bệnh thường trải qua sự tự ti khi tham gia giao tiếp và hoạt động hàng ngày. Nguyên nhân của sự tự ti này là do nốt u nhú phát triển lớn, gây ra lở loét, tiết dịch có mùi khó chịu và cảm giác đau rát. Những vấn đề này không chỉ tạo ra ngần ngại khi nói chuyện mà còn gây ra sự không thoải mái trong cuộc sống hàng ngày, đồng thời ảnh hưởng đến chất lượng cuộc sống của họ. Điều này thường đặt ra một thách thức đối với tâm lý và tinh thần, đòi hỏi sự hỗ trợ và thấu hiểu từ cộng đồng xã hội và gia đình để giúp họ vượt qua khó khăn và phục hồi tinh thần tích cực.
U nhú ở lưỡi có thể dẫn đến ung thư vòm họng, một nguy cơ đáng kể. Đặc biệt, bệnh này thường có khả năng lây lan nhanh chóng sang các bộ phận khác, ví dụ như trong quan hệ bằng miệng, có thể gây nhiễm bệnh cho bộ phận sinh dục của đối tác. Điều này có thể liên quan đến sùi mào gà ở vùng kín, ung thư cổ tử cung, ung thư dương vật, và thậm chí là vấn đề vô sinh.
Khi bạn phát hiện u nhú lưỡi gà hay bất kỳ triệu chứng lạ nào, hãy đến bệnh viện ngay để được bác sĩ chẩn đoán và điều trị kịp thời. Kiểm tra sức khỏe ít nhất mỗi 6 tháng là quan trọng để phát hiện u nhú trước khi trở nên nguy hiểm.
Xem thêm: