Dược sĩ Đại học có nhiều năm kinh nghiệm trong việc tư vấn Dược phẩm và hỗ trợ giải đáp thắc mắc về Bệnh học. Hiện đang là giảng viên cho Dược sĩ tại Nhà thuốc Long Châu.
Hồng Nhi
01/03/2026
Mặc định
Lớn hơn
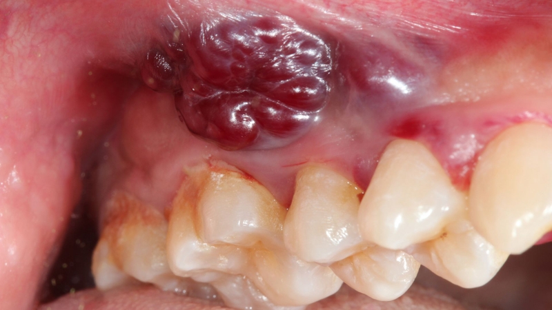
Ung thư miệng giai đoạn cuối là giai đoạn bệnh đã tiến triển nặng, khối u lan rộng và có thể di căn sang hạch cổ hoặc các cơ quan xa. Ở thời điểm này, mục tiêu điều trị không chỉ là kéo dài thời gian sống mà còn tập trung kiểm soát triệu chứng và nâng cao chất lượng cuộc sống cho người bệnh.
Khi nhận được chẩn đoán ung thư miệng ở giai đoạn muộn, nhiều gia đình rơi vào trạng thái hoang mang, lo lắng và không biết nên bắt đầu từ đâu. Hiểu rõ bản chất bệnh, tiên lượng sống và các phương pháp chăm sóc phù hợp sẽ giúp người thân đồng hành cùng người bệnh một cách bình tĩnh, nhân văn và hiệu quả hơn.
Ung thư miệng ở giai đoạn cuối (giai đoạn IV) là khi tế bào ung thư đã:
Ở giai đoạn này, khối u thường có kích thước lớn, gây đau nhiều, khó ăn uống và ảnh hưởng rõ rệt đến giao tiếp cũng như sinh hoạt hằng ngày. Người bệnh có thể gặp tình trạng suy kiệt thể lực, giảm sức đề kháng và dễ nhiễm trùng.

Ở giai đoạn cuối, triệu chứng thường rõ ràng và ảnh hưởng nặng nề đến chất lượng sống.
Cơn đau thường tăng dần theo thời gian, có thể không đáp ứng tốt với các thuốc giảm đau thông thường. Một số trường hợp cần dùng thuốc giảm đau mạnh theo chỉ định y tế.
Khối u lớn làm cản trở đường ăn uống, khiến người bệnh khó nuốt, dễ sặc. Nhiều trường hợp phải ăn thức ăn lỏng hoặc đặt ống nuôi ăn.
Tình trạng loét sâu, nhiễm trùng hoặc hoại tử mô có thể gây chảy máu và mùi hôi khó chịu, ảnh hưởng đến tâm lý người bệnh.
Do ăn uống kém, đau đớn, rối loạn chuyển hóa và tác động toàn thân của ung thư, người bệnh thường sụt cân nhanh và suy nhược.
Hạch vùng cổ có thể to, cứng, dính chặt và ít di động - dấu hiệu cho thấy bệnh đã lan rộng.

Những biểu hiện này không chỉ gây khó chịu về thể chất mà còn ảnh hưởng sâu sắc đến tinh thần. Sự cảm thông, động viên và hiện diện của gia đình đóng vai trò rất quan trọng trong giai đoạn này.
Ở giai đoạn muộn, việc điều trị thường được cá thể hóa theo tình trạng từng người bệnh và chia thành hai hướng chính.
Áp dụng khi người bệnh còn đủ thể lực và khối u vẫn có khả năng can thiệp, bao gồm:
Mục tiêu của hướng điều trị này là làm chậm tiến triển bệnh, giảm kích thước khối u và kéo dài thời gian sống.
Khi bệnh đã di căn rộng hoặc thể trạng quá yếu, trọng tâm sẽ chuyển sang chăm sóc giảm nhẹ, tập trung vào:
Kiểm soát triệu chứng và nâng cao chất lượng sống là quyền lợi cơ bản của người bệnh ung thư giai đoạn muộn. Gia đình nên trao đổi thẳng thắn với bác sĩ để hiểu rõ mục tiêu điều trị ở từng thời điểm, tránh đặt kỳ vọng không phù hợp hoặc bỏ lỡ cơ hội chăm sóc tốt nhất.
Chăm sóc đúng cách tại nhà giúp người bệnh cảm thấy được yêu thương, tôn trọng và giảm bớt đau đớn.
Dinh dưỡng phù hợp giúp người bệnh duy trì thể lực, giảm suy kiệt và hỗ trợ quá trình điều trị hiệu quả hơn:
Kiểm soát tốt cơn đau giúp người bệnh dễ chịu hơn, cải thiện chất lượng sống và tinh thần trong quá trình điều trị:

Giữ khoang miệng sạch sẽ giúp hạn chế nhiễm trùng, giảm mùi hôi và phòng ngừa biến chứng tại chỗ:
Sự quan tâm, đồng hành về mặt tinh thần giúp người bệnh cảm thấy an tâm, bớt lo lắng và có thêm nghị lực vượt qua giai đoạn khó khăn:

Dù bài viết tập trung vào giai đoạn muộn, việc phòng ngừa và phát hiện sớm vẫn đóng vai trò then chốt.
Những thói quen sinh hoạt và yếu tố môi trường dưới đây được ghi nhận là làm tăng nguy cơ mắc ung thư miệng nếu kéo dài trong thời gian dài:
Chủ động thay đổi lối sống và duy trì thói quen chăm sóc sức khỏe răng miệng đúng cách giúp giảm đáng kể nguy cơ mắc bệnh:
Ung thư miệng giai đoạn cuối là tình trạng bệnh đã tiến triển nặng và có thể ảnh hưởng toàn thân. Tiên lượng sống phụ thuộc vào nhiều yếu tố và cần được bác sĩ chuyên khoa đánh giá cụ thể. Ở giai đoạn này, mục tiêu điều trị không chỉ là kéo dài sự sống mà còn là giảm đau, nâng cao chất lượng cuộc sống và hỗ trợ tâm lý cho người bệnh.
Gia đình nên đồng hành chặt chẽ cùng đội ngũ y tế để lựa chọn hướng điều trị phù hợp, đồng thời tập trung vào chăm sóc giảm nhẹ và hỗ trợ tinh thần. Sự thấu hiểu, yêu thương và tôn trọng chính là “liều thuốc” quý giá nhất giúp người bệnh vững vàng hơn trong những chặng đường khó khăn cuối cùng.
Dược sĩ Đại họcNguyễn Mỹ Huyền
Dược sĩ Đại học có nhiều năm kinh nghiệm trong việc tư vấn Dược phẩm và hỗ trợ giải đáp thắc mắc về Bệnh học. Hiện đang là giảng viên cho Dược sĩ tại Nhà thuốc Long Châu.