• Thực phẩm chức năng

  • Dược mỹ phẩm

  • Thuốc

  • Chăm sóc cá nhân

  • Thiết bị y tế

  • Tiêm chủng

  • Bệnh & Góc sức khỏe

  • Hệ thống nhà thuốc

    1. /
    2. Góc sức khỏe/
    3. Phòng bệnh & Sống khoẻ/
    4. Kiến thức y khoa

    Viêm quanh thân răng cấp: Tìm hiểu nguyên nhân, triệu chứng và cách điều trị

    Thị Ánh

    24/06/2025

    Kích thước chữ

    Viêm quanh thân răng cấp là một tình trạng nhiễm trùng nghiêm trọng ảnh hưởng đến mô mềm xung quanh thân răng, gây ra đau đớn và khó chịu cho người bệnh. Việc hiểu rõ về nguyên nhân, triệu chứng và phương pháp điều trị viêm quanh thân răng cấp không chỉ giúp giảm bớt sự khó chịu mà còn ngăn ngừa các biến chứng nghiêm trọng hơn có thể xảy ra.

    Cảm giác đau nhức khó chịu ở răng luôn khiến chúng ta lo lắng. Một trong những nguyên nhân gây ra tình trạng này có thể là viêm quanh thân răng cấp. Vậy viêm quanh thân răng cấp là gì và tại sao nó lại gây ra nhiều phiền toái đến vậy?

    Nguyên nhân gây viêm quanh thân răng cấp

    Viêm quanh thân răng cấp là tình trạng viêm nghiêm trọng, nguyên nhân chính gây nên bao gồm:

    • Vệ sinh răng miệng kém: Không thực hiện việc chải răng và dùng chỉ nha khoa đúng cách dẫn đến mảng bám tích tụ, gây kích thích và viêm nhiễm quanh thân răng.
    • Tổn thương và nhiễm trùng răng: Các răng sâu hoặc nứt vỡ là cửa ngõ để vi khuẩn xâm nhập, gây nhiễm trùng và làm xuất hiện tình trạng viêm quanh thân răng.
    • Rối loạn chức năng nhai: Những vấn đề như lệch khớp cắn hoặc mất răng làm gia tăng áp lực lên một số răng nhất định, gây tổn thương vùng mô mềm quanh răng.
    • Tác hại của thuốc lá: Các hóa chất độc hại trong thuốc lá gây mất cân bằng hệ vi khuẩn miệng, làm gia tăng nguy cơ viêm quanh thân răng.
    • Bệnh lý toàn thân: Những bệnh mạn tính như tiểu đường, ung thư, bệnh gan hoặc tim mạch có thể làm suy giảm sức khỏe răng miệng, tạo điều kiện cho viêm quanh thân răng phát triển.
    • Răng khôn mọc lệch: Răng khôn, đặc biệt là răng khôn hàm dưới, nếu mọc không đủ chỗ hoặc bị kẹt dưới lợi, dễ tạo ra môi trường tích tụ thức ăn và vi khuẩn, gây viêm nhiễm.
    Viêm quanh thân răng cấp: Nguyên nhân, triệu chứng và cách điều trị 1
    Viêm quanh thân răng cấp xảy ra do vệ sinh răng kém, tổn thương và nhiễm trùng

    Triệu chứng viêm quanh thân răng cấp

    Viêm quanh thân răng cấp hay còn gọi là viêm quanh thân răng khôn, thường xảy ra khi răng khôn mọc lên không hoàn toàn, tạo điều kiện cho vi khuẩn và mảng bám tích tụ. Các triệu chứng phổ biến của viêm quanh thân răng cấp bao gồm:

    • Đau nhức: Đau tại chỗ có thể lan lên tai, sàn miệng, và thành họng.
    • Sưng tấy: Sưng nề khó cắn chặt răng, lợi đỏ có thể chảy dịch và mủ.
    • Sốt và mệt mỏi: Có thể kèm theo sốt, mệt mỏi và tăng bạch cầu.
    • Sưng hạch bạch huyết: Sưng hạch bạch huyết ở cổ.

    Nếu bạn gặp phải những triệu chứng này, nên đi khám nha khoa để được chẩn đoán và điều trị kịp thời.

    Viêm quanh thân răng cấp: Nguyên nhân, triệu chứng và cách điều trị 2
    Viêm quanh thân răng cấp gây đau nhức và sưng nướu quanh răng

    Biến chứng viêm quanh thân răng cấp

    Viêm quanh thân răng cấp nếu không được điều trị kịp thời có thể dẫn đến một số biến chứng như:

    • Áp xe quanh thân răng khôn: Đây là tình trạng viêm nhiễm xảy ra xung quanh răng khôn, gây đau đớn, sưng tấy, và khó khăn khi há miệng hoặc nuốt thức ăn. Nếu không được điều trị, nhiễm trùng có thể lan rộng đến các cơ quan khác trong cơ thể, dẫn đến các biến chứng nặng như viêm phổi, viêm màng não, hoặc nhiễm trùng máu. Ngoài ra, áp xe còn có thể gây chảy máu nướu và nhiều vấn đề khác về răng miệng.
    • Viêm mô tế bào vùng mặt và hàm: Đây là biến chứng thường gặp của áp xe quanh thân răng khôn. Tình trạng này dẫn đến sưng đau và nhiễm trùng tại khu vực quanh răng khôn. Nếu không được xử lý kịp thời, viêm mô tế bào có thể lan rộng đến vùng mặt ngoài xương hàm và hầu họng, gây khó khăn khi ăn uống và những triệu chứng khác. Những trường hợp nặng có nguy cơ tiến triển thành các bệnh nghiêm trọng như viêm phổi, viêm màng não hoặc nhiễm trùng máu.
    • Viêm tấy lan tỏa: Tình trạng này thường biểu hiện bằng sưng đau, viêm nhiễm xung quanh răng. Khi không được điều trị, viêm tấy có thể lan rộng ra các khu vực khác trong khoang miệng, gây ra những triệu chứng nghiêm trọng hơn và ảnh hưởng đến sức khỏe toàn thân.

    Điều trị viêm quanh thân răng cấp

    Điều trị viêm quanh thân răng cấp thường bao gồm các biện pháp sau:

    • Vệ sinh răng miệng: Đánh răng kỹ lưỡng và sử dụng chỉ nha khoa để loại bỏ mảng bám và thức ăn mắc kẹt dưới vạt lợi.
    • Súc miệng bằng nước muối ấm: Giúp giảm viêm và làm sạch khu vực bị ảnh hưởng.
    • Thuốc giảm đau và kháng sinh: Bác sĩ có thể kê đơn thuốc giảm đau và kháng sinh để kiểm soát nhiễm trùng và giảm đau.
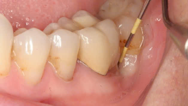
    • Lấy cao răng: Loại bỏ mảng bám và cao răng để giảm viêm.
    • Nhổ răng: Trường hợp răng số 8 mọc lệch, mọc ngầm là nguyên nhân gây viêm, bác sĩ sẽ quyết định nhổ hoặc phẫu thuật loại bỏ phần lợi bị viêm để giảm tình trạng viêm.
    • Điều trị toàn thân: Trong trường hợp nghiêm trọng, bệnh nhân bị sốt cao và phản ứng hạch, cho bệnh nhân dùng Metronidazole 500mg kết hợp cùng một loại kháng sinh phổ rộng khác.
    Viêm quanh thân răng cấp: Nguyên nhân, triệu chứng và cách điều trị 3
    Vệ sinh răng miệng, lấy cao răng để làm giảm tình trạng viêm quanh thân răng cấp

    Cách phòng ngừa viêm răng quanh thân cấp

    Để phòng ngừa viêm quanh thân răng cấp, bạn có thể thực hiện các biện pháp sau:

    • Duy trì vệ sinh răng miệng đúng cách: Đánh răng ít nhất hai lần mỗi ngày và sử dụng chỉ tơ nha khoa để loại bỏ mảng bám và thức ăn thừa.
    • Khám răng định kỳ: Thăm khám nha khoa ít nhất hai lần mỗi năm để phát hiện sớm và điều trị kịp thời các vấn đề về răng miệng.
    • Tránh hút thuốc lá: Thuốc lá chứa nhiều hóa chất độc hại gây mất cân bằng vi khuẩn trong miệng, dẫn đến viêm nhiễm.
    • Chế độ ăn uống lành mạnh: Hạn chế đồ ăn chứa nhiều đường và tinh bột, vì chúng dễ tạo mảng bám trên răng.
    • Kiểm soát stress: Stress có thể ảnh hưởng đến sức khỏe răng miệng, do đó, hãy tìm cách thư giãn và giảm căng thẳng.
    Viêm quanh thân răng cấp: Nguyên nhân, triệu chứng và cách điều trị 4
    Khám răng định kỳ để phòng ngừa viêm răng quanh thân cấp

    Viêm quanh thân răng cấp là một tình trạng nghiêm trọng có thể gây ra nhiều biến chứng nếu không được điều trị kịp thời. Để phòng ngừa, việc duy trì vệ sinh răng miệng đúng cách, khám răng định kỳ và có chế độ ăn uống lành mạnh là rất quan trọng. Ngoài ra, tránh hút thuốc lá và kiểm soát stress cũng góp phần bảo vệ sức khỏe răng miệng. Nhận thức và hành động đúng đắn sẽ giúp bạn duy trì nụ cười khỏe mạnh và tránh xa các bệnh lý răng miệng. Hãy luôn chăm sóc răng miệng của mình để có một cuộc sống khỏe mạnh và tự tin hơn.

    Xem thêm: Mách bạn cách chữa chảy máu chân răng đơn giản an toàn và hiệu quả

    Có thể bạn quan tâm

    Thông tin và sản phẩm gợi ý trong bài viết chỉ mang tính chất tham khảo, vui lòng liên hệ với Bác sĩ, Dược sĩ hoặc chuyên viên y tế để được tư vấn cụ thể. Xem thêm

    Dược sĩ Đại họcNguyễn Thanh Hải

    Đã kiểm duyệt nội dung

    Tốt nghiệp Đại học Dược Hà Nội, với hơn 10 năm kinh nghiệm trong lĩnh vực Dược phẩm. Hiện là giảng viên giảng dạy các môn Dược lý, Dược lâm sàng,...

    Xem thêm thông tin