Kiều Oanh
01/04/2024
Mặc định
Lớn hơn
Vỡ lá lách là một chấn thương bụng kín thường gặp, nhiều người sau chấn thương có các triệu chứng bất thường nghi ngờ rằng mình bị vỡ lá lách. Vậy vỡ lá lách có các dấu hiệu nhận biết nào và cách xử trí ra sao?
Vỡ lá lách là một trường hợp cấp cứu y tế xảy ra do bề mặt lá lách bị vỡ. Lá lách nằm ngay dưới khung xương sườn bên trái, giúp cơ thể chống lại nhiễm trùng và lọc các tế bào máu cũ khỏi máu. Chẳng hạn, một cú đánh mạnh vào bụng hay trong một tai nạn thể thao, một trận đánh nhau hoặc một vụ tai nạn ô tô, đây là nguyên nhân thông thường khiến lá lách bị vỡ. Nếu bạn có lá lách to, một chấn thương nhẹ hơn có thể gây vỡ lá lách.
Vỡ lá lách là một trường hợp cấp cứu khẩn cấp, vì vậy bạn nên khẩn trương đến các cơ sở y tế để được thăm khám và điều trị kịp thời ngay sau khi chấn thương nếu có các dấu hiệu và triệu chứng cho thấy bạn có thể bị vỡ lá lách. Các dấu hiệu và triệu chứng của vỡ lá lách bao gồm:

Lá lách có thể bị vỡ do:
Nếu bạn được chẩn đoán mắc bệnh lách to, hãy hỏi bác sĩ xem bạn có cần tránh các hoạt động nặng nào không ví dụ các môn thể thao khối kháng, nâng vật nặng và các hoạt động khác làm tăng nguy cơ chấn thương lá lách.
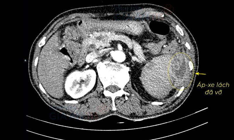
Để chẩn đoán bị vỡ lá lách, ngoài việc thăm khám các bác sĩ có thể yêu cầu bạn làm thêm một vài xét nghiệm như sau:

Vỡ lá lách có nguy hiểm không? Nếu không được điều trị khẩn cấp, chảy máu trong ổ bụng do lá lách bị vỡ có thể đe dọa tính mạng. Việc điều trị vỡ lá lách phụ thuộc vào mức độ nghiêm trọng của tình trạng chảy máu. Chấn thương nặng thường phải phẫu thuật ngay lập tức ngược lại nhiều vết thương nhỏ hoặc vừa ở lá lách có thể lành mà không cần phẫu thuật.
Bạn có thể cần ở lại bệnh viện để được theo dõi tình trạng nếu không phẫu thuật và thực hiện các can thiệp cần thiết chẳng hạn như truyền máu. Chụp CT theo dõi định kỳ được đề nghị trong trường hợp không phẫu thuật để kiểm tra xem lá lách đã lành hay chưa hoặc để xác định thực hiện phẫu thuật có cần thiết không. Phẫu thuật vỡ lá lách có nhiều thủ thuật và được phẫu thuật viên cân nhắc lựa chọn:
Phẫu thuật cắt lách ngoài các nguy cơ chung của mọi loại phẫu thuật như chảy máu, nhiễm trùng, viêm phổi bệnh viện thì được xem là an toàn.

Cỡ lá lách có thể gây chảy máu vào ổ bụng đe dọa tính mạng, vì vậy việc đảm bảo an toàn trong quá trình tham gia giao thông, tập luyện thể thao và trong hoạt động sống hằng ngày là cách tốt nhất để phòng ngừa tình trạng này. Nếu bạn không may gặp chấn thương và có các triệu chứng gợi ý vỡ lá lách như đã đề cập ở trên thì nên đến ngay các cơ sở y tế uy tín để được kịp thời chẩn đoán và phẫu thuật nếu cần thiết.
Xem thêm một số bài viết liên quan khác: