Tốt nghiệp Khoa Dược trường Đại học Nam Cần Thơ. Có nhiều năm kinh nghiệm công tác trong lĩnh vực Dược phẩm. Hiện đang giảng viên cho Dược sĩ tại Nhà thuốc Long Châu.
Thanh Hương
07/06/2024
Mặc định
Lớn hơn
Một số trường hợp được nha sĩ chỉ định chỉ cần niềng răng hàm dưới. Vậy chỉ niềng 1 hàm được áp dụng trong trường hợp nào? Niềng hàm dưới có gì khác so với niềng hàm trên hay niềng hai hàm? Để hiểu rõ hơn về chỉ định niềng hàm dưới, mời bạn cùng theo dõi bài viết dưới đây!
Niềng răng là một trong những phương pháp chỉnh nha phổ biến nhất hiện nay. Ngoài niềng răng 2 hàm, có nhiều trường hợp được nha sĩ chỉ định niềng răng hàm dưới. Vậy chỉ niềng răng ở hàm dưới có hiệu quả không? Khi nào nha sĩ chỉ định niềng răng một hàm? Niềng răng ở hàm dưới mất bao lâu và giá bao nhiêu? Tất cả những mối quan tâm liên quan đến niềng hàm dưới sẽ được giải đáp ngay trong bài viết này.
Niềng răng là phương pháp chỉnh nha thẩm mỹ được dùng trong các trường hợp cần khắc phục răng khấp khểnh, răng chen chúc, răng thưa, răng mọc lệch, hô, móm… Sau khi niềng răng, tính thẩm mỹ của toàn hàm cũng như cấu trúc khuôn mặt sẽ được cải thiện đáng kể. Nhờ đó, người thực hiện niềng răng cũng sẽ tự tin hơn trong cuộc sống.
Niềng răng thực chất là dùng các khí cụ chỉnh nha như dây cung, mắc cài, dây thun, khuôn máng… để nắn chỉnh cung hàm sao cho khớp lại với nhau, dịch chuyển các răng về vị trí lý tưởng. Hầu hết các trường hợp nha sĩ sẽ chỉ định niềng răng hai hàm. Để biết có thể niềng răng một hàm hay không, nha sĩ cần thăm khám, đánh giá tình trạng răng của khách hàng một cách cẩn thận. Tuy nhiên, chỉ niềng hàm dưới là trường hợp hoàn toàn có thể xảy ra.

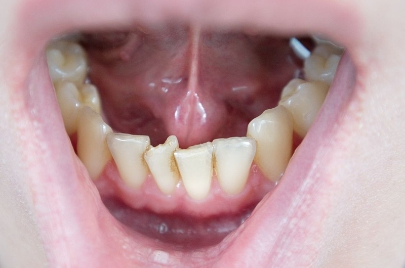
Trên thực tế, một số trường hợp có thể áp dụng niềng răng hàm dưới khi răng hàm dưới bị sai lệch nhưng răng hàm trên đều đặn, hàm trên không có vấn đề về khớp cắn, cấu trúc hàm. Bạn không thể tự ý đề xuất với nha sĩ về việc niềng 1 hàm. Vì sau khi tháo niềng, 2 hàm sẽ không khớp với nhau, dễ dẫn đến niềng răng bị lệch mặt rất mất thẩm mỹ.
Trường hợp không thể chỉ niềng hàm dưới là khi sai lệch ở răng và hàm xảy ra ở cả hàm trên và hàm dưới. Hai hàm có khớp cắn không khớp nhau. Khi đó, để mang lại hiệu quả tốt nhất, bạn buộc phải niềng cả hai hàm.
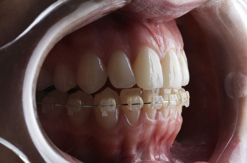
Theo các nha sĩ, niềng răng hàm dưới ít phức tạp hơn so với niềng răng hàm trên. Niềng hàm dưới giúp nha sĩ quan sát dễ dàng hơn, việc gắn mắc cài cũng được thao tác thuận lợi hơn. Định kỳ, nha sĩ sẽ phải điều chỉnh lực siết dây cung và việc này cũng tốn ít thời gian hơn khi thao tác ở hàm dưới. Ngoài ra, nếu cần nong rộng xương hàm, thực hiện kỹ thuật này ở hàm dưới cũng dễ hơn ở hàm trên.
Tuy nhiên, không phải niềng hàm dưới dễ hơn niềng hàm trên mà hiệu quả sẽ tốt hơn. Hiệu quả của quá trình niềng răng dù là hàm trên hay hàm dưới đều phụ thuộc vào các yếu tố như: Tay nghề của nha sĩ, tình trạng răng thực tế, sự tuân thủ lịch chỉnh nha của khách hàng…

Thời gian niềng cả hai hàm răng thường kéo dài từ 2 - 5 năm tùy tình trạng thực tế. Nếu chỉ niềng hàm dưới, thời gian niềng răng cũng có thể kéo dài 2 - 3 năm. Tuy nhiên, thời gian niềng chính xác cũng phụ thuộc vào nhiều yếu tố khác nhau. Có thể có những bệnh về răng miệng xuất hiện trong quá trình niềng răng như viêm nha chu, tam giác đen khi niềng răng, tụt lợi, răng lung lay khi niềng răng, mọc răng khôn khi niềng răng… Khi đó, sẽ cần thêm thời gian để khắc phục và điều trị bệnh nha khoa và thời gian niềng răng sẽ kéo dài hơn.
Ngoài ra, cũng nhiều người muốn biết chi phí niềng răng hàm dưới là bao nhiêu. Chi phí khi niềng 1 hàm có thể chỉ bằng khoảng 70% chi phí niềng 2 hàm răng. Ngoài ra, mức chi phí này cũng phụ thuộc vào báo giá của từng cơ sở nha khoa, loại niềng răng được lựa chọn và độ phức tạp của hàm răng. Hiện nay có 3 phương pháp niềng răng gồm: Niềng răng mắc cài kim loại, niềng răng mắc cài sứ và niềng răng trong suốt. Trong đó, niềng răng trong suốt có giá cao nhất, sau đó đến niềng răng mắc cài sứ và niềng răng mắc cài kim loại là rẻ nhất.

Quy trình niềng hàm dưới được thực hiện đúng chuẩn theo các bước sau:

Để niềng hàm dưới thành công, tránh việc phải niềng răng lần 2, trước hết bạn cần chọn cơ sở nha khoa uy tín. Sau khi niềng răng, bạn cần lưu ý việc giữ vệ sinh răng miệng, phòng ngừa các bệnh răng miệng để thời gian niềng răng không bị kéo dài. Trong quá trình niềng răng, nếu nhận thấy tình trạng bung mắc cài, lỏng dây cung… bạn cần tái khám sớm để nha sĩ kịp thời điều chỉnh.
Niềng răng hàm dưới vẫn tiềm ẩn những nguy cơ bật chân răng khi niềng răng, tam giác nướu, lợi trùm… Vì vậy, tái khám đúng lịch hẹn không chỉ giúp bác sĩ điều chỉnh khí cụ chỉnh nha định kỳ mà còn giúp phát hiện sớm các biến chứng niềng răng để xử lý kịp thời.
Xem thêm:
Dược sĩ Đại họcNguyễn Thị Thảo Nguyên
Tốt nghiệp Khoa Dược trường Đại học Nam Cần Thơ. Có nhiều năm kinh nghiệm công tác trong lĩnh vực Dược phẩm. Hiện đang giảng viên cho Dược sĩ tại Nhà thuốc Long Châu.