Dược sĩ chuyên ngành Dược lâm sàng, với nhiều năm kinh nghiệm làm việc trong lĩnh vực dược phẩm. Là Dược sĩ Long Châu đạt được chứng chỉ bệnh học cấp quốc tế. Hiện đang là giảng viên tại Trung tâm Đào tạo FPT Long Châu.
10/11/2023
Mặc định
Lớn hơn
Lấy cao răng là gì mà hiện nay nhiều người tin tưởng và sử dụng dịch vụ này tại các phòng khám nha khoa, theo đó nhiều chuyên gia còn khuyên người dùng nên lấy cao răng định kỳ để giữ răng chắc khỏe, phòng ngừa các vi khuẩn gây hại.
Thực tế cho thấy phương pháp đánh răng truyền thống không thể làm sạch sâu các vụn thức ăn còn thừa trong các kẽ răng, đây cũng là nguyên nhân chính dẫn đến quá trình hình thành mảng vôi bám cứng trên bề mặt răng, gây ảnh hưởng đến sức khỏe răng miệng về sau. Chính vì thế, hiện nay đã ra đời nhiều phương pháp làm sạch răng bằng dụng cụ chuyên biệt để nâng cao sự chắc khỏe cho răng, cùng tìm hiểu qua bài viết sau để hiểu hơn về quá trình hình thành cao răng và kỹ thuật lấy cao răng là gì nhé.
Để hiểu rõ về khái niệm lấy cao răng là gì, mọi người cần nắm được cao răng là gì và bắt đầu hình thành từ đâu.
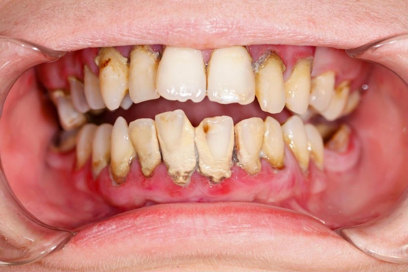
Hiện tượng vị trí cổ chân răng, kẽ răng và dưới nướu xuất hiện các mảng bám màu vàng nhạt, ngà ngà được gọi là cao răng, có thể thấy rõ nhất ở người có thói quen hút thuốc lá hoặc chăm sóc răng miệng không kỹ lưỡng. Hiện nay, ngày càng nhiều người áp dụng các phương pháp lấy cao răng tại nhà hoặc sử dụng dịch vụ tại các đơn vị nha khoa. Vậy lấy cao răng là gì?
Quy trình lấy cao răng là làm sạch các mảng bám trên nướu bằng cách sử dụng thiết bị chuyên dùng có độ rung sóng siêu âm hoặc dụng cụ cạo vôi làm chúng rớt ra, vậy có thể nhận biết sớm các giai đoạn hình thành của cao răng để phòng ngừa không?

Cao răng có đặc điểm là rất cứng, bám chặt tại vị trí đầu chân răng dễ khiến nhiều người nhầm tưởng là men răng nên chủ quan để chúng phát triển ngày càng dày lên nhưng không ngờ các tác hại tiềm ẩn mà cao răng gây ra.
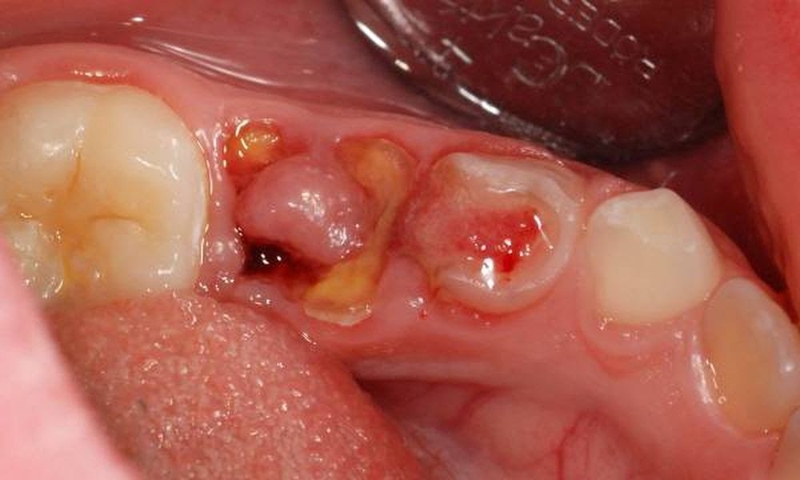
Cao răng thực tế có cấu trúc rỗng, xốp là môi trường lý tưởng để nhiều vi khuẩn phát triển, chúng được sinh ra từ các mảng bám thức ăn được tích tụ tại vị trí kẽ răng, ăn sâu xuống chân răng, lâu ngày sẽ tạo thành lớp cao răng dày đặc, trở thành nguyên nhân dẫn đến hàng loạt các bệnh về răng miệng.
Để sức khỏe răng miệng luôn ổn định, mọi người nên tiến hành lấy cao răng định kỳ tối thiểu 1 - 2 lần/năm theo khuyến khích của nhiều chuyên gia, khi thực hiện bạn sẽ có nhiều lợi ích như:

Cao răng có màu sắc đậm hơn răng thật, khiến toàn bộ khuôn hàm của bạn trở nên kém sắc, gây mất tự tin khi giao tiếp, việc lấy cao răng sẽ mang đến cho bạn một hàm răng trắng sáng, đẹp mắt hơn.
Như đã đề cập bên trên, cao răng hình thành do quá trình tích tụ các vụn thức ăn thừa dẫn đến nhiều vi khuẩn sinh sôi là nguyên nhân gây ra nhiều bệnh lý về nha khoa như viêm nha chu, sâu răng, bị mòn răng, tụt lợi,… Do đó cần lấy cao răng định kỳ để ngăn ngừa vi khuẩn gây bệnh sinh trưởng.
Bên cạnh các bệnh về răng miệng thì việc cao răng hình thành còn gây ra nhiều bệnh lý nguy hiểm khác cho cơ thể như bệnh tim mạch, bệnh viêm họng, viêm amidan,…
Việc tích tụ nhiều vi khuẩn xâm nhập vào sâu bên trong sẽ dẫn đến chân răng và nướu bị ảnh hưởng nghiêm trọng, dẫn đến hàm bị tiêu xương trở nên yếu ớt làm răng dễ bị lung lay, thậm chí mất răng nhiều cùng lúc.
Điều này cho thấy việc cạo vôi răng định kỳ là cách tốt nhất để duy trì sức khỏe răng hàm ổn định, ngăn ngừa sự tích tụ vi khuẩn ảnh hưởng đến khoang miệng.

Việc tích tụ nhiều vi khuẩn trong miệng sẽ tạo ra nhiều mùi hôi khó chịu, vì thế bên cạnh việc chăm sóc răng miệng thì loại bỏ cao răng cũng giúp khắc phục hiệu quả tình trạng miệng bị mùi khó chịu, giữ hơi thở luôn thơm tho.
Tuy lấy cao răng mang lại cho con người nhiều lợi ích nhưng vẫn có nhiều đối tượng được khuyến cáo không nên lấy cao răng như:
Để tăng hiệu quả chăm sóc răng miệng bên cạnh việc can thiệp từ phương pháp lấy cao răng của các bác sĩ có chuyên môn thì mọi người cũng cần thay đổi một số thói quen tốt cho răng bao gồm:

Bài viết trên đã giải đáp cho người đọc về những điều cần biết về khái niệm lấy cao răng là gì, bên cạnh đó còn gợi ý cho mọi người về cách phòng ngừa tối đa việc hình thành cao răng trong đời sống qua những thói quen mỗi ngày. Tốt hơn hết, chúng ta đều nên kiểm tra răng định kỳ để kịp thời phát hiện các bệnh về răng miệng và có hướng điều trị tốt nhất.
Xem thêm:
Kim Ngân
Nguồn tham khảo: Tổng hợp
Dược sĩ Đại họcPhạm Nguyễn Hoàng Kim
Dược sĩ chuyên ngành Dược lâm sàng, với nhiều năm kinh nghiệm làm việc trong lĩnh vực dược phẩm. Là Dược sĩ Long Châu đạt được chứng chỉ bệnh học cấp quốc tế. Hiện đang là giảng viên tại Trung tâm Đào tạo FPT Long Châu.