Tốt nghiệp đại học Khoa Dược. Có kinh nghiệm hơn 10 năm trong lĩnh vực Dược phẩm, tư vấn thuốc và thực phẩm chức năng. Hiện đang là giảng viên cho Dược sĩ tại Nhà thuốc Long Châu.
Minh Nhật
04/10/2024
Mặc định
Lớn hơn
Thận là cơ quan rất quan trọng đối với cơ thể, đảm nhận nhiều vai trò từ điều hòa sinh lý, tổng hợp các chất cần thiết và đào thải chất độc. Cùng tìm hiểu về cấu trúc và kích thước bình thường của thận qua bài viết dưới đây!
Thận là cơ quan thuộc hệ tiết niệu, đóng vai trò bài tiết chất độc, nội tiết và điều hòa thể tích máu. Thận tham gia trực tiếp vào quá trình lọc máu tại cầu thận, tái hấp thu và đào thải các chất cặn bã thông qua nước tiểu, loại bỏ độc tố cho cơ thể. Việc biết rõ cấu tạo và kích thước bình thường của thận trên siêu âm giúp bác sĩ đánh giá xem có bất thường tại thận hay không.
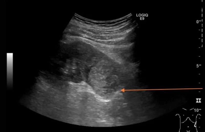
Siêu âm thận là kỹ thuật xét nghiệm không xâm lấn, sử dụng sóng âm để tạo ra hình ảnh về cấu trúc, kích thước bình thường của thận, cũng như đánh giá các dấu hiệu bệnh lý tại thận nếu có.
Xét nghiệm này giúp xác định vị trí, kích thước, cấu trúc, hình dạng và mối liên hệ giữa thận và các tạng khác. Đặc biệt hơn, siêu âm thận giúp chẩn đoán chính xác một số bệnh như sỏi thận, nang thận, áp xe thận và thận ứ nước.
Siêu âm thận cho kết quả mơ hồ và khó xác định khi bệnh lý chỉ mới ở giai đoạn đầu, ví dụ như bệnh viêm cầu thận cấp và mãn tính, hội chứng thận hư, nhiễm tinh bột thận. Kích thước bình thường của thận lúc này có thể vẫn nằm trong khoảng tham chiếu.
Tuy nhiên, khi các bệnh lý này đã tiến triển đến suy giảm chức năng thận, ảnh hưởng rõ đến kích thước thận, thì siêu âm cho kết quả rất rõ ràng. Khi ấy thì kích thước bình thường của thận đã thay đổi, có thể thấy được thận nhỏ hơn bình thường, mặc dù không có mối tương quan giữa kích thước và suy giảm chức năng thận.
Vì thế, trong lâm sàng phải kết hợp các xét nghiệm về thận-tiết niệu và nếu cần phải siêu âm nhiều lần để có chẩn đoán chính xác giúp đạt hiệu quả cao trong điều trị.

Siêu âm thận sẽ được bác sĩ chuyên khoa tiết niệu chỉ định trong các trường hợp:
Trên siêu âm thận, các bác sĩ sẽ quan sát và đánh giá được cấu trúc và kích thước bình thường của thận. Các đặc điểm của hai quả thận bình thường bao gồm:

Thông thường, mỗi người chúng ta đều có 2 quả thận, nằm đối xứng nhau qua cột sống.
Các chuyên gia y tế luôn khuyến khích mọi người nên có kiến thức chăm sóc và bảo vệ thận, theo dõi sức khỏe thận. Khi phát hiện các dấu hiệu bất thường tại thận, bạn cần nhanh chóng để viện thăm khám và điều trị để phòng ngừa biến chứng nguy hiểm.
Bệnh lý thận lan tỏa có thể quan sát ở hai bên thận qua hình ảnh từ siêu âm, bao gồm:

Bài viết đã cung cấp cho bạn đọc các thông tin về cấu trúc và kích thước bình thường của thận, cũng như vai trò của siêu âm trong việc chẩn đoán bệnh lý thận. Tỷ lệ dân số mắc phải các bệnh lý tại thận và đường tiết niệu đang có xu hướng gia tăng, phát ra hồi chuông cảnh báo cho mọi người, đặc biệt là người trẻ. Chính vì vậy, việc quan tâm tìm hiểu các thói quen tốt cho thận là rất cấp bách và cần thiết.
Xem thêm: Viêm bể thận: Triệu chứng, nguyên nhân và cách điều trị
Dược sĩ Đại họcNguyễn Thị Hồng Nhung
Tốt nghiệp đại học Khoa Dược. Có kinh nghiệm hơn 10 năm trong lĩnh vực Dược phẩm, tư vấn thuốc và thực phẩm chức năng. Hiện đang là giảng viên cho Dược sĩ tại Nhà thuốc Long Châu.