Tốt nghiệp Khoa Dược trường Đại học Võ Trường Toản. Có nhiều năm kinh nghiệm trong ngành Dược. Hiện đang là giảng viên cho Dược sĩ tại Nhà thuốc Long Châu.
Thị Hằng
17/04/2024
Mặc định
Lớn hơn
Chèn ép tim cấp làm ảnh hưởng đến sự đổ đầy thất, từ đó dẫn đến tình trạng giảm cung lượng tim và khiến các cơ quan trong cơ thể rơi vào tình trạng thiếu hụt oxy, dưỡng chất. Do đó nếu không can thiệp tức thì sẽ có nguy cơ suy đa tạng và dẫn đến tử vong.
Khi xảy ra chèn ép tim cấp, không chỉ người bệnh cảm thấy mệt mỏi, khó thở mà họ còn phải đối diện với nguy cơ tử vong cao vì hoạt động của tim bị cản trở khiến khả năng tưới máu đến các cơ quan bị hạn chế. Từ đó làm suy yếu hoạt động của tim, gan, phổi, ruột, não,... và có thể gây nguy hiểm đến tính mạng.
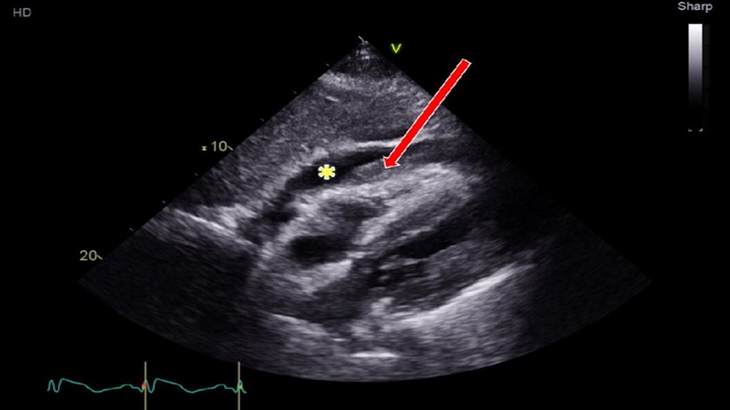
Chèn ép tim cấp là tình trạng một lượng lớn máu hoặc dịch cơ thể tràn vào màng ngoài tim, gây áp lực lên tim và khiến cơ quan này bị cản trở hoạt động hoặc mất dần chức năng. Vấn đề sức khỏe nói trên diễn tiến rất nhanh, chúng gây ra những hệ quả tức thời như:

Nhìn chung, chèn ép tim dạng cấp tính là một trạng thái đặc biệt nguy hiểm. Chúng có thể phát sinh do nhiều nguyên nhân nhưng những nguyên nhân gây tử vong cao nhất phải kể đến nhiễm trùng huyết do chấn thương ngực nghiêm trọng, ung thư di căn. Các nguyên nhân khác cũng tiềm ẩn nguy cơ tử vong nhưng xác suất thấp hơn hẳn.
Chèn ép tim dạng cấp tính phát sinh do dịch và máu ứ đọng một lượng lớn ở khoang ngoài tim, từ đó gây áp lực lên tim. Một số nguyên nhân chính gây nên tình trạng này bao gồm:

Chèn ép tim dạng cấp tính tuy không phải là bệnh lý thường gặp nhưng chúng có thể xảy ra ở bất kỳ đối tượng nào. Tuy nhiên với những trường hợp dưới đây thì nguy cơ mắc phải sẽ cao hơn hẳn người bình thường:
Việc nhận diện sớm các dấu hiệu điển hình của chèn ép tim dạng cấp tính sẽ giúp người bệnh phản ứng nhanh, thăm khám kịp thời và chặn đứng những nguy cơ. Và dưới đây là những triệu chứng điển hình của căn bệnh này mà bạn không thể xem nhẹ:

Việc chẩn đoán và điều trị bệnh lý này không phải là vấn đề khó đối với y học hiện đại. Điều quan trọng là chèn ép tim cấp cần phải được phát hiện sớm để can thiệp nhanh, phòng trừ mọi hệ lụy có thể xảy ra.
Khi chẩn đoán bệnh lý này, bác sĩ thường kết hợp đồng thời 3 phương pháp:

Điều trị chèn ép tim dạng cấp tính thường được thực hiện song song theo 2 cách:
Giảm áp lực lên tim bằng cách chọc dịch dẫn lưu dịch ở khoang ngoài tim ra bên ngoài hoặc tiến hành phẫu thuật mở lồng ngực để dẫn lưu máu và loại bỏ những cục máu đông nếu có tổn thương tim. Trong một số trường hợp, bác sĩ còn cắt một phần màng ngoài tim để giảm áp lực lên bộ phận này.
Nếu bệnh nhân khó thở, chuyên gia y tế sẽ chỉ định việc dùng bình dưỡng khí oxy. Nếu huyết áp tăng cao, người bệnh sẽ được hỗ trợ bằng cách truyền dịch, dùng thuốc vận mạch.
Trong trường hợp bị chèn ép tim do chấn thương đột ngột ở vùng ngực thì bệnh nhân sẽ được phẫu thuật để cải thiện tình hình. Nếu không phải do căn nguyên này thì sau khi điều trị triệu chứng, bệnh nhân sẽ được làm thêm các xét nghiệm chuyên sâu để làm rõ nguyên nhân, sau đó lên phác đồ điều trị tương thích với hiện trạng bệnh.

Trước tiên cần phải khẳng định rằng không phải trường hợp chèn ép tim dạng cấp tính nào cũng có cách phòng ngừa hiệu quả. Có những nguyên nhân không thể ngăn chặn từ gốc rễ và cũng có những nguyên nhân bạn có thể can thiệp để giảm thiểu rủi ro. Cụ thể dưới đây là một số giải pháp giúp ngăn ngừa từ sớm bệnh lý này mà bạn nên tham khảo:
Qua bài viết, bạn đã có đầy đủ các thông tin quan trọng xoay quanh chủ đề chèn ép tim cấp. Mong rằng khi “giắt túi” cẩm nang này, bạn sẽ hiểu rõ bản chất và có biện pháp phòng ngừa hiệu quả bệnh lý nguy hiểm nói trên! Trân trọng!
Xem thêm:
Dược sĩ Đại họcTừ Vĩnh Khánh Tường
Tốt nghiệp Khoa Dược trường Đại học Võ Trường Toản. Có nhiều năm kinh nghiệm trong ngành Dược. Hiện đang là giảng viên cho Dược sĩ tại Nhà thuốc Long Châu.